记者 胡勇 通讯员 简杰 阮喆
5旬男子年轻的时候因意外右侧小腿骨折,石膏固定后20天,他就自行拆除石膏,正常行走还骑自行车,导致小腿骨折后畸形愈合,改变了下肢力线,对膝盖造成巨大压力。近日,男子在武汉市中心医院骨外科接受力线重建手术,小腿畸形被矫正,膝盖也减少了不必要磨损。

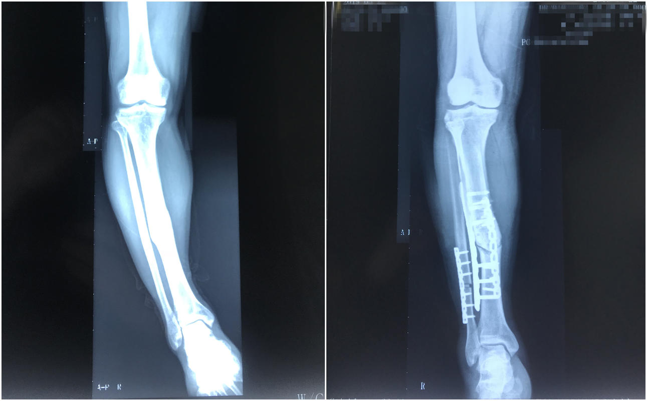
56岁的苏先生(化名)是黄陂人,生性好动,总是充满活力闲不住。30年前,他因为偶然一次运动意外,造成了右侧小腿骨折。当时,医生为他重新接骨并用夹板固定后,叮嘱他一定要好好在家休养至少3个月,不能到处走动让伤腿受力。但是20天后,苏先生自觉恢复不错,一看石膏和夹板碍事,不顾家人劝阻,自行拆除石膏就开始下床活动。第二天还骑着单车去上班。往后也没有明显感觉到不适。只是后来,当骨头长好了之后,他发现自己右侧小腿是向内侧歪的,外人看来就有点像“O形腿”,但是也没有明显影响到他的生活,也就没有过多在意。半年前,他突然开始感觉到自己的右侧膝盖疼痛、乏力,日常活动都会受到一些限制。近一个月来,他觉得这种情况越来越严重,膝盖甚至出现了肿胀,一动就疼,已严重影响到日常生活。为此,他特意来到了武汉市中心医院骨外科求诊。
接诊的副主任医师简小飞了解完苏先生的情况,为其进行了细致检查,诊断其为右侧胫骨骨折后畸形,推断其畸形原因可能与其术后过早拆除保护及受力有关,导致恢复不好,骨头“长弯了”。其膝盖的酸痛,是由于下肢力线偏移,长期下来造成了对膝盖的过度受力。3月22日,骨外科专家为苏先生行了下肢力线的重建手术,通过精密测量计算,截骨后将胫骨矫正到正确的力线上,并用钢板进行固定。术后,苏先生的右侧小腿终于不再是“O形”,而是一条直线。目前,苏先生正在平稳恢复中。
武汉市中心医院骨外科主任张卫国介绍,下肢力线指的是通过髋关节中心、膝关节中心和踝关节中心的轴线。这个轴线应是一条直线,与垂直轴有大概3°左右的夹角。轴线在一条直线上,才能保证各个关节承受的压力相对更小,减轻关节受力负担。下肢力线的重建手术能够很好的解决下肢畸形问题对下肢各关节造成的过度劳损。张卫国主任提醒,骨折病人一定要遵循医嘱好好休养恢复,不可逞强,以免造成不良后果。如出现关节受力不适,应尽早就医查明原因再作治疗。