Exactech公司是一家骨科种植设备制造商,该公司希望通过从电子束金属增强材料的生产转向使用高精度激光打印直接金属材料,扩大其无肩种植体的生产规模。
在2020年7月21日发表的一份官方声明中,这家总部位于佛罗里达州的公司宣布计划在今年余下的时间内实现无肩关节手术过渡到其激光打印设备。
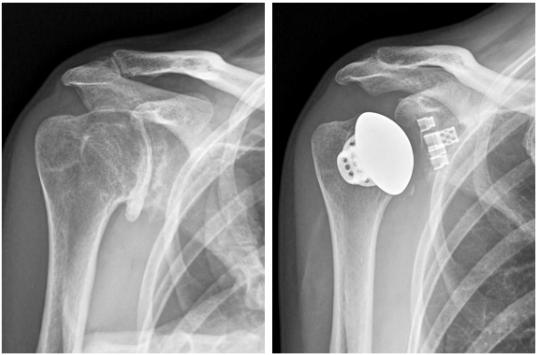
作为该公司四肢产品线的最新成员,2018年无茎肩关节是一种用于解剖全肩关节置换的保骨假体。该公司表示,该装置由一个无茎笼、一个肱骨头和一个笼和骨盆组成,在手术中是灵活保持骨骼的理想方法。此外,为了提高生物固定的可能性,它被纳入一个3d激光打印多孔骨笼结构,使骨头通过骨骼生长,不需要一个茎,从而使植入更容易,减少手术时间和减少失血。精确技术指出,三维多孔材料与骨笼技术的结合使其在市场上脱颖而出。

目前,微创骨科手术是外科手术的主要趋势,如无茎肩部植入,主要由德国和法国专家领导。美国外科医生也注意到使用无茎植入物进行关节置换的好处,这种植入物的骨丢失和并发症比传统的解剖肩关节假体少。
全球肩关节置换市场预计到2023年将达到24亿美元,这是由于人口老龄化、预期寿命和关节炎的增加,包括对无茎肩关节植入物的需求增加,正如去年koncept分析所预测的那样。
根据美国卫生研究和质量部的数据,仅在美国,每年就有53000多人接受肩膀置换。自2015年以来,美国食品药品管理局(fda)只批准了少量无茎肩膀植入物,包括秋分法,医疗设备制造商也可以进入广阔的市场。科技公司希望成为无茎植入市场的领导者,为患者和外科医生提供快速的解决方案。

为了设计无茎植入体,精密科技工程研究人员与整形外科医生合作,结合他们的知识、专业知识和背景,提出了最终的设计结构,可以制造出最佳的孔径、孔隙度和数量。设计团队包括诺埃尔;德兰大学肩膀和肘关节外科专家菲利克斯亨利萨瓦和纽约州龙戈尼骨科医院的约瑟夫朱克曼;法国波尔多体育诊所的皮埃尔亨利弗鲁林;佛罗里达州西棕榈滩特殊外科医院的肩部主任瑞安西莫维奇(hs);佛罗里达大学跨国骨骼肌肉训练中心主任托马斯赖特。
作为创新的植入物、仪器和计算机辅助节肢动物手术技术的开发者和生产者,techech的目标是在释放后立即评估无茎肩关节,并积极扩大和升级其产品。和其他无茎植入物制造商一样,这里的目标是尝试重建原来的肩部解剖和尽量减少肱骨移植。
据白令三维了解,最近的研究总结了无茎肩关节节肢动物置换术的优缺点,虽然在欧洲以外仍在使用,但这种植入物受到外科医生和患者的青睐,预计将超过2025年的禁令。
