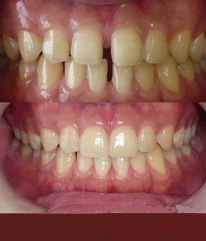
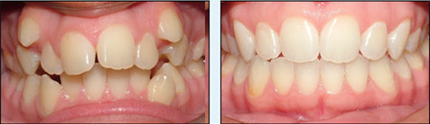
牙齿畸形的人都有一个矫正的梦,希望通过矫正能拥有一口漂亮的牙齿,因为牙齿畸形不仅影响社交,也会影响到自己的健康。一些人想矫正但是却怕拔牙,所以一直在犹豫。事实上,不是所有的人进行牙齿矫正都需要拔牙,而是根据患者的自身牙体情况而定。那么,哪些人不需要拔牙,哪些人需要呢?

不需要拔牙的情况:
1.如果牙齿轻微内倾,利用矫正器将牙齿稍向前拉,到正常位置即可,不必拔牙
2.如果牙齿之间有间隙,将间隙收紧也可以达到矫正牙齿目的的,就不需要拔牙
3.轻微的前牙扭转也不需要拔牙。

需要拔牙的情况:
1.面部前突,需要通过拔牙将前牙内收,后牙前移,从而使患者侧面更美观。
2.牙齿过于拥挤,牙量与骨量不匹配,想要排齐牙齿,就需要拔牙,如果不拔牙勉强矫正,效果会不太好且容易反弹。
3.想要矫正咬合关系的患者,如果上下牙咬合不对称,需要用过拔牙调整咬合关系。

需要注意的是,以下情况不宜拔牙:
1.女性经期和妊娠期。
2.有牙周病。
3.有急性炎症。
4.有严重的全身疾病,如心衰、脑梗等。

即使你的矫正需要拔牙,疼痛和不适一两天就会过去,并不会到不能忍受的地步。为了美,这又算的了什么呢?

美加透明矫正器是一款定制式正畸矫正器,轻微的机械力通过每一个牙套作用于牙齿上,进而逐渐改变牙齿的方向,向所期望的位置移动。主要适用于纠正牙齿拥挤、中线不正、牙列不齐、牙齿扭转、有间隙等问题。