一元复始,万象更新,2020年已然过去,2021年迈着希望的步伐轻盈而至。回首2020年这个略显“魔幻”的年份,“疫情”这场大考让所有人都再次意识到生命的可贵以及健康的重要性。
美亚作为打破国际垄断的民族品牌,在这场全民“战疫”的斗争中,始终以“服务广大医师、引领行业发展、履行社会责任”为理念,竭力为行业发展做出贡献。这一年,以全新一代美亚口腔CBCT为核心的数字化口腔系统解决方案2.0如期而至。这一年,美亚光电体察医师所需,举办多场团购节活动,深受客户好评,已成为7000+口腔诊疗机构的信赖之选!



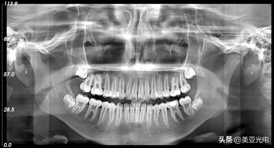
持续热销的背后,是全新一代美亚口腔CBCT优异品质的加持。2020年,标配智能全景、智能降噪、智能去伪影等硬核功能,配合自主研发超脑AI正畸分析系统和智能3D诊断软件,为口腔种植、正畸、根管治疗、颌面外科等临床诊疗提供有力支持,操作更高效,影像更精准。

▲美亚口腔CBCT—全景

▲美亚口腔CBCT—智能全景

▲美亚口腔CBCT—种植

▲美亚口腔CBCT—气道分析

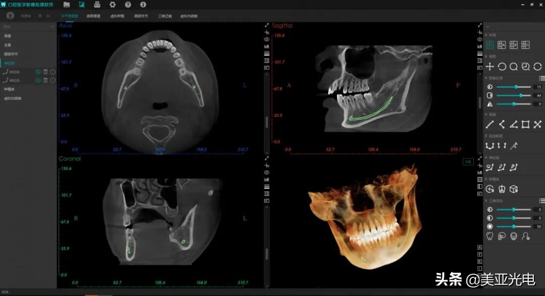
▲美亚口腔CBCT—自动TMJ

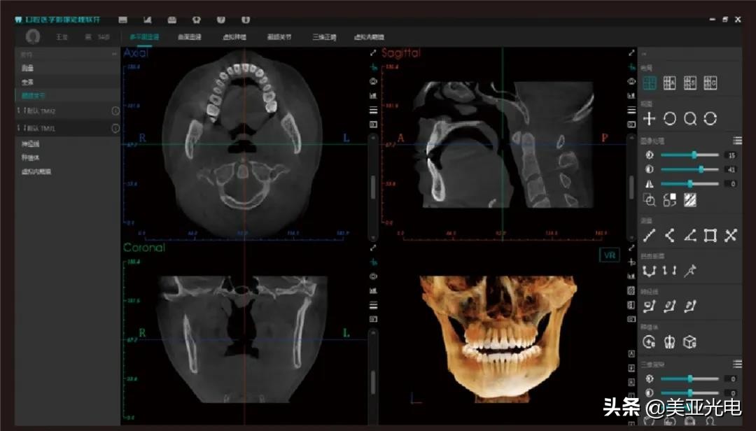
▲美亚口腔CBCT—自动标记双侧神经管
美亚超脑AI正畸分析系统已实现自动描迹、智能测量分析(平均准确率可达98.3%)、一键生成测量分析报告、自动融合侧位照片(人脸*位器定**定位准确度可达98%)、可视化矫正模拟、电子病历管理等功能。

▲VTO可视化矫正模拟功能,直观地模拟术后效果

▲支持多种头影测量分析方法
美亚智能3D诊断软件应用人工智能技术进行模块化设计,具备多平面重建、曲面断层重建、种植模式、TMJ模式、三维正畸模式等功能,可实现模拟种植、自动神经管标注、自动骨密度分析、自动定位TMJ、自动合成侧位片、三维气道分析等。

▲化繁为简,针对不同的临床应用提供了丰富便捷的工具
超脑AI系统在今年还实现了进化,AI自动根骨剥离技术强势登场。一键生成患者根骨数据,能够有效降低时间成本,同时可结合口扫数据与隐形正畸厂家对接,协助其提供更合理、更精准的隐形正畸方案。
除了产品“更聪明、更专业、更可靠”,多年来备受客户赞誉的美亚售后服务,在2020年这个不凡年份,依旧顶住了压力,用热情践行着“追求品质、服务客户”的企业价值观。他们遍布近乎全国所有省份,极速响应客户需求,无论面对多么复杂的状况,始终不惧艰险,使命必达。


时光荏苒,岁月如梭,自2012年美亚口腔CBCT打破国际垄断至今,已然走过8个年头。在这期间,美亚医疗创新发展,用心服务,为智慧诊疗持续赋能!未来,美亚医疗将以更全面的布局、更先进的技术、更优质的产品、服务全球更广泛的人群,让世界更加美好。