读创/深圳商报记者 蒋荣耀
深圳研发石墨烯柔性器件帮助中国学者完成的一项课题研究——“基于石墨烯柔性器件的非侵入式特殊远红外肿瘤治疗新方法”发表在2020年第3期《Advanced Therapeutics》(“先进医疗”) 上,在肿瘤治疗领域引起较多关注。

Δ杂志封面
论文作者为南京医大俞婷婷博士和胡克博士,实验使用的石墨烯柔性器件为深圳烯旺科技的产品。研究成果作为这家国际生物医学领域期刊的封面论文刊发。

Δ实验用的石墨烯器件为深圳烯旺集团科研成果
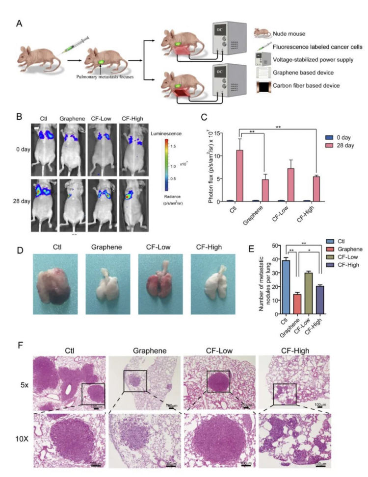
论文作者在其无创肿瘤治疗的应用研究中,首次将基于石墨烯器件的远红外源与基于碳纤维器件的远红外源进行了对比实验,研究发现:对比碳纤维器件,石墨烯器件辐射的远红外具有更强的诱导肿瘤细胞凋亡的能力,可以显著抑制MDA-MB-231 乳腺癌细胞在裸鼠体内的恶性增殖及转移。这意味着这种技术有望帮助人类的癌症治疗。
研究者在实验过程中发现:碳纤维器件产生的远红外会引起裸鼠明显的体重下降、食欲不振,但石墨烯器件产生的远红外却没有发生类似现象。基于相关理论研究,科研人员推测石墨烯器件产生的远红外更容易被机体吸收,表明基于石墨烯器件的远红外光热疗可能会比传统热疗具有更好的疗效与更小的副作用。

Δ对比碳纤维器件,石墨烯器件辐射的远红外具有更强的诱导肿瘤细胞凋亡的能力。
作为一种新的治疗手段,远红外的医疗效果已得到学界公认,红外辐射有止痛、消肿和改善局部血液循环的作用。目前市场已有可直接接触皮肤的热疗贴、热疗垫以及针对身体各个部位的专用热疗仪等医疗产品。
石墨烯远红外光热效应的研究为慢性疾病防治等领域的医学创新打开了切口。2019年4月28日,深圳烯旺科技合作医院的科研团队发现:石墨烯热疗可以明显缩小良性甲状腺结节的最大直径和最大横截面面积,且对甲状腺功能无明显影响,相关成果已发表在2019年第4期《中国医学物理学杂志》。这一研究的核心管段是:恶性肿瘤细胞对高热敏感,热疗后肿瘤细胞被杀死或逐渐凋亡,而正常组织不受损失。
烯旺科技此前也曾进行多项实验论证,除了在上面提到的甲状腺结节治疗领域,在美国东方康复中心开展的“石墨烯发热护腰(护膝)贴敷配合针刺治疗”的临床实验,显示对慢性腰腿痛的愈显率高达87.8%。