脑外伤开颅术后脑积水、颅内感染,多次腰大池引流后仍反复脑膨出、头部手术切口流脓、昏迷、大小便*禁失**,在李小勇脑脊液科治后变完全正常
患者男,39岁,河北省邯郸市人。
一、李小勇脑脊液科入院前病史
患者于2012年12月7日,骑电动车意外摔伤致脑外伤昏迷,急送往当地的河北省邯郸市的某三甲医院,查头颅CT示脑挫裂伤,有出血( 图-1 ),急诊给予了左额颞顶及右枕开颅颅内血肿清除并去骨瓣减压术,留置脑室外引流。患者既往病史:19岁时曾患肺结核已治好。

图-1: 2012年12月7日头颅CT
术后次日查头颅CT示开颅去骨瓣减压术后状态,有水肿( 图-2 )。

图-2: 2012年12月8日头颅CT
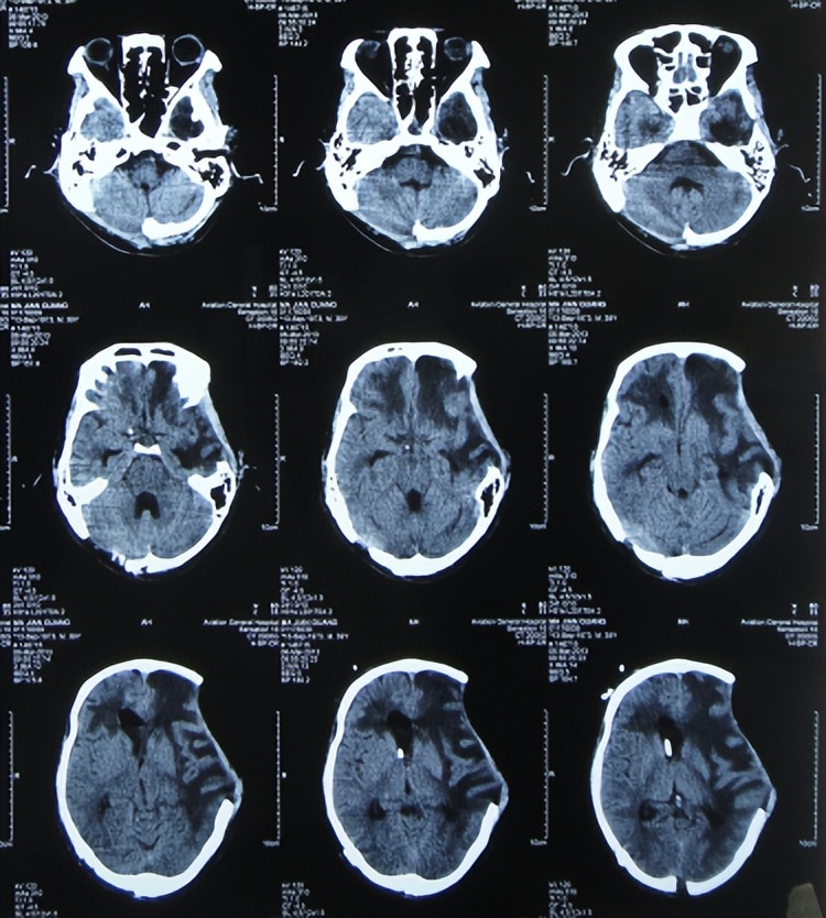
开颅术后5天即2012年12月12日,查头颅CT示仍有水肿,但拔除了脑室外引流管( 图-3 )。

图-3: 2012年12月12日头颅CT
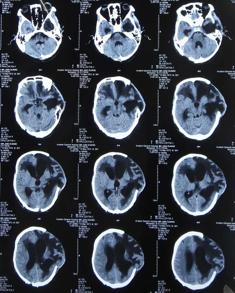
开颅术后7天即2012年12月14日,查头颅CT示水肿有加重( 图-4 )。

图-4: 2012年12月14日头颅CT
开颅术后11天,神志变醒,能简单言语;但开颅术后19天即2012年12月26日,发热最高体温38.5度,大小便*禁失**,查头颅CT是骨窗膨隆,脑室稍扩张( 图-5 );给予腰大池外引流术。

图-5: 2012年12月26日头颅CT
开颅术后28天即2013年1月4日(腰大池引流术后9天),认知能力好转,可自动进食,大小便可自控,但仍间断发热,查头颅CT示脑膨出变基本正常( 图-6 ),给予拔除腰大池引流管。

图-6: 2013年1月4日头颅CT
术后30天即2013年1月6日,仍间断高热,最高体温39.6度,伴寒颤,头痛头胀,为进一步治疗,在第1家医院治疗30天后转至第2家上级的河北省石家庄某省级三甲医院。
转院后继续行腰大池引流术,给予万古霉素、头孢哌酮钠及头孢曲松等抗炎治疗,开颅术后32天即2013年1月8日,查头颅CT认为脑室基本正常,但仍有水肿( 图-7 )。

图-7: 2013年1月8日头颅CT
腰大池引流术后半月余,体温变基本正常,头痛头胀也基本消失,于2013年1月24日(腰大池引流术后18天),给予拔除腰大池引流管。
但拔除3天后即2013年1月27日(开颅术后51天),患者意识再次变差昏迷不醒,查头颅CT示,脑积水加重,骨窗组织膨出( 图-8 );右侧肢体肌张力增高、力量减弱,大小便再次*禁失**,继续给予腰大池引流。

图-8: 2013年1月27日头颅CT
腰大池引流术后21天即2013年2月17日(开颅术后72天),查头颅CT示脑室缩小,骨窗变塌陷( 图-9 ),再次拔除腰大池引流管。

图-9: 2013年2月17日头颅CT
但腰大池拔除术后10天即2013年2月27日(开颅术后82天),患者再次意识不清,大小便*禁失**,查头颅CT示脑积水,脑膨出( 图-10 )。

图-10: 2013年2月27日头颅CT
因脑积水和脑膨出反复,该院没有更好的办法,在一位医生好心地介绍下到北京的李小勇脑脊液科治疗。
二、在李小勇脑脊液科治疗过程和结果
2013年3月5日(开颅术后88天,反复脑积水脑膨出35天)转住入李小勇脑脊液科;入院时:卧床昏迷;刺痛可睁眼、无发音;刺痛左侧肢体可屈曲、右侧肢体肌张力增高;局部颅骨缺损;左额颞顶区骨窗组织膨出、张力较高,左额颞顶区手术切口多处破溃、伴有脓性渗出物;双侧瞳孔对光反射弱,留置鼻饲管;大小便*禁失**( 图-11 )。

图-11: 2013年3月5日入院时
入院时查头颅CT示脑积水,左额颞顶及右枕开颅术后、伴局部颅骨缺损,左额颞顶区骨窗脑组织膨出明显、伴片状低密度灶( 图-12 )。

图-12: 2013年3月5日头颅CT
入院当天进行了脑室外引流术。术后次日查头颅CT示脑室缩小,脑膨隆变基本正常( 图-13 )。

图-13: 2013年3月6日头颅CT
脑脊液各项指标化验正常后于2013年3月26日(治疗21天),进行了左侧脑室-腹腔分流术( 图-14 )。

图-14: 2013年3月26日头颅CT
2013年4月7日(治疗33天)出院,出院时:脑积水颅内感染已治好,意识由入院时昏迷变意识模糊,自动睁眼,遵嘱活动差;左额颞顶区原去骨瓣手术切口破溃已经愈合,大小便变正常( 图-15 );头颅CT示仍遗留颅骨缺损( 图-16 )。

图-15: 2013年4月7日出院时

图-16: 2013年4月7日出院时头颅CT
三、出院后随访
出院后6个月,病情进一步好转为:意识变清楚,肢体能自主活动,还进行了颅骨修补手术。
出院后近4年即2017年2月28日,来院复查。复查时:肢体活动和智力、言语表达均已是健康的正常状态,已投入正常的工作,头颅CT示无异常( 图-17 );特意送来锦旗以表对李小勇脑脊液科的感谢( 图-18 )。

图-17: 2017年2月28日复查

图-18: 2017年2月28日
出院后9年即2022年5月,家属发来视频:身体一切正常( 图-19 )。

图-19: 2022年5月