主研人员:王亮、赵江、董兴有
参研单位:间质之家ICH,重庆聚医汇医疗科技有限公司。

左至右赵江、王亮、董兴有
间质性膀胱炎/膀胱疼痛综合征(interstitial cystitis/bladder pain syndmme,IC/BPS)是一类病因未明的,以尿频、尿急及膀胱或盆腔疼痛为主要症状的综合征。IC/BPS的疼痛和尿频会导致其他严重后果,如压力、抑郁、性功能低下和焦虑,从而对患者的职业和社会生活质量产生负面影响。

IC/BPS现有的治疗方法主要包括行为饮食治疗、口服药物治疗、膀胱灌注治疗及手术治疗等,干细胞作为新兴领域,也是我们研究的方向。

近年来,干细胞疗法为IC/BPS的治疗带来了新的曙光。干细胞是能够长期存活,具有不断的自我繁殖能力和多向化潜能,几乎存在于所有组织中的原始细胞。正是有了“干细胞”,才可以维持我们的身体从受精卵开始,成长到成人。

干细胞治疗是从患者自身的脂肪细胞中抽取干细胞,再通过特殊移植技术移植到患者体内,修复失去正常功能的细胞和组织,使之再生从而改善病状。干细胞治疗疾病无疑是21世纪最热门的话题,干细胞技术在临床医学上的应用领域大致有五个:细胞替代治疗、系统重建、组织工程、基因治疗以及美容抗衰老。

截至目前为止,中国医药生物技术协会已评估通过了74项干细胞备案项目,政策文件明确指出,支持与鼓励干细胞疗法的发展。

人尿源干细胞(human Urine-derived Stem Cells,hUSCs)是一类从人尿液中分离培养并鉴定具有干细胞特性的成体干细胞,具有取材方便、无创、低免疫原性等优势。因其与泌尿系统组织相容性最高,用于自体移植不涉及伦理问题且可减轻排斥反应的优,hUSCs在泌尿系统损伤修复和组织工程重建中表现出较好的效果,是再生医学领域极具潜力的种子细胞,具有较高的研究价值和运用前景。间质之家研究团队前期率先并成功鉴定和分离了hUSCs,为hUSCs在泌尿系疾病的诊治中奠定了坚实的基础。
(研究发表在国外重要期刊上,文献连接Wang Q, Zhao J, Wu C, Yang Z, Dong X, Liu Q, Sun B, Wei C, Li L. Large conductance voltage and Ca2+-activated K+ channels affect the physiological characteristics of human urine-derived stem cells. Am J Transl Res. 2017; 9(4): 1876-1885. 2. Dong X, Zhang T, Liu Q, Zhu J, Zhao J, Li J, Sun B, Ding G, Hu X, Yang Z, Zhang Y, Li L. Beneficial effects of urine-derived stem cells on fibrosis and apoptosis of myocardial, glomerular and bladder cells. Mol Cell Endocrinol. 2016; 427:21-32.)

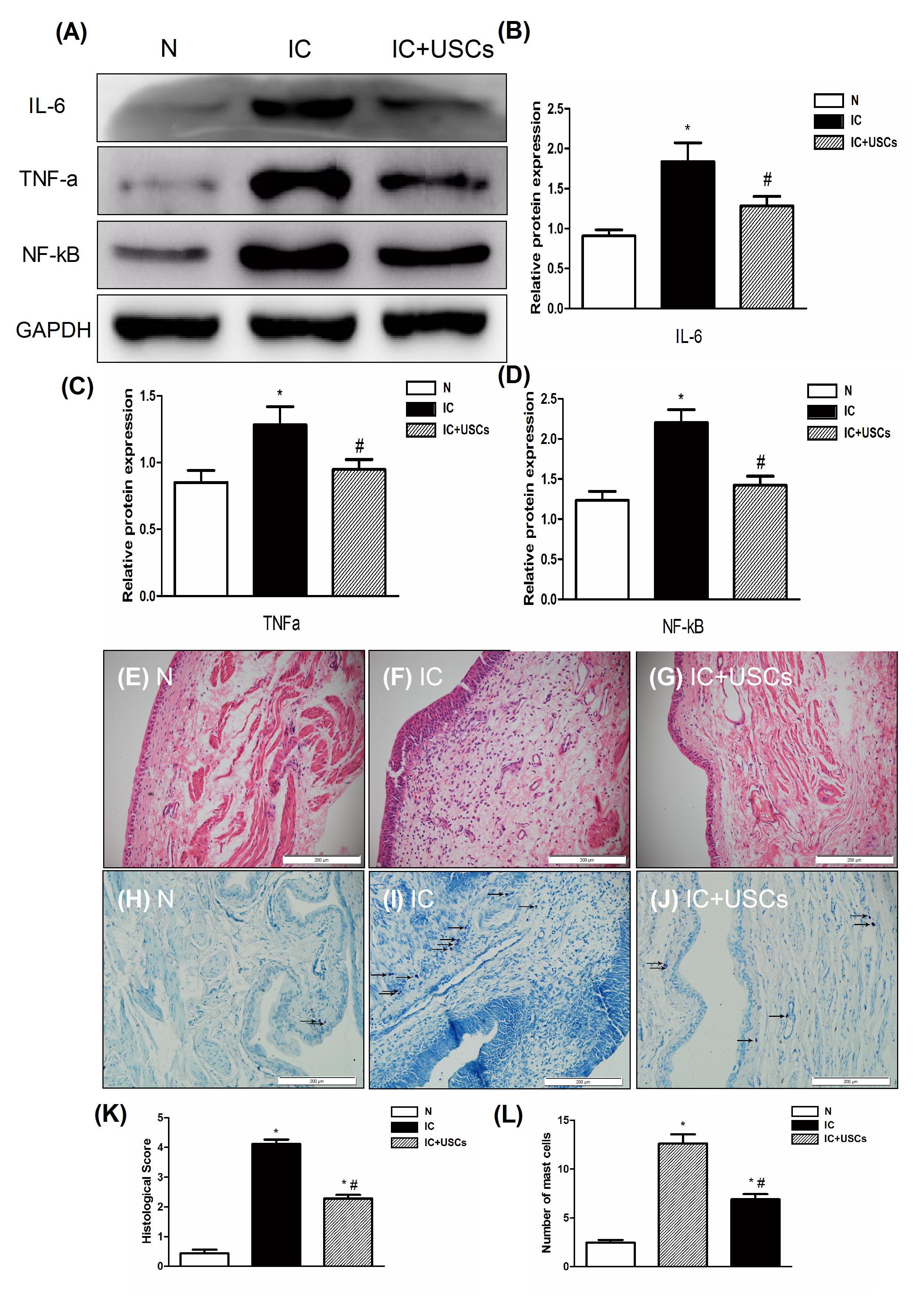
前期间质之家团队使用hUSCs对IC/BPS动物模型研究中发现,hUSCs能减轻IC/BPS模型大鼠膀胱的氧化应激,炎症及凋亡,明显改善模型动物膀胱功能,团队前期的研究提示hUSCs用于IC/BPS患者自体移植治疗具有较大的治疗潜能。
(研究发表在国外干细胞治疗期刊上,文献连接Therapeutic effect of urine-derived stem cells for protamine/lipopolysaccharide-induced interstitial cystitis in a rat model. Stem Cell Res Ther. 2017; 8;8(1):107. )

在随后的研究中,间质之家团队采用多次离心和贴壁培养的方法,从IC/BPS患者尿液中成功得到了具有快速增殖和多向分化能力的hUSCs,成功建立了女性IC/BPS患者hUSCs的提取和扩增的方法。同时,我们成功诱导hUSCs分化为平滑肌细胞和上皮细胞,说明IC/BPS患者hUSCs多向分化能力未受影响,完全具有修复损伤的膀胱的功能。该研究的成功为我们未来使用hUSCs治疗IC/BPS奠定了可行的基础。
(研究发表在国内泌尿外科顶级期刊中华泌尿外科杂志上,文献连接:孙碧韶,赵江,董兴有,等。女性间质性膀胱炎/膀胱疼痛综合征患者尿源干细胞的提取与鉴定。中华泌尿外科杂志,2019,8(40),567-573.)

展望:我们计划将来先从hUSCs膀胱灌注人手,开展hUSCs应用于IC/BPS自体治疗的临床研究。 当然,hUSCs本就存在于膀胱尿液中,只是数量极少,若能将体外扩增的足够数量的hUSCs作为膀胱灌注的新型药物,将是IC/BPS干细胞治疗领域重要创新性尝试,为探索hUSCs应用于IC/BPS患者自体治疗的临床研究提供了前期技术方法。
目前临床上IC/BPS患者的药物治疗主要以膀胱灌注为主,其中Tri-DMSO的灌注效果最好,未来我们将探索使用干细胞联合Tri-DMSO组合的方式对IC/BPS进行治疗。
