不少人从来没洗过牙,所以不知道洗牙是什么样的感觉,想知道初次洗牙会不会疼,尤其是发现自己牙结石比较多的朋友更担心。今天,我们就来具体说说这个问题。

一般正常情况下,洗牙是不会疼痛的,洗牙采用超声器械去除牙结石和牙菌斑,就像是在给牙齿洗澡一样,过程是轻柔舒适的,有不少定期洗牙的朋友觉得洗牙就像是在给牙齿做按摩一样,很舒服。
但是.......重点来了!
牙结石严重,洗牙可能会有酸痛的感觉!
这是为什么呢?我们先不说洗牙,我们先说洗澡吧,试想一下,如果一个人十几年、二十几年、几十年都没洗过澡,不敢想,身上得覆盖多厚的一层脏东西,而这些脏东西由于时间原因,附在皮肤上很牢固了,所以洗澡想要去除的时候可能会弄有轻微疼痛。
洗牙也是一样,不过依附在牙齿上的脏东西刚开始是牙菌斑,慢慢的才变成了坚硬的牙结石,牙结石和牙齿结合比较牢固,所以使用超声波工作头震动去除的时候会出血,牙结石去除后牙龈组织、牙齿根部“重见天日”,会有牙齿很敏感的酸酸的,轻微疼痛的感觉。
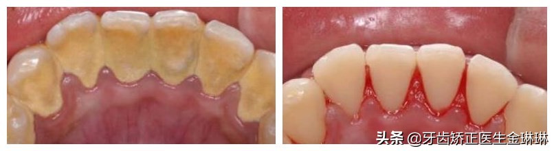
洗牙前后
洗牙前后变化,洗牙把牙结石和牙菌斑去除后,看看这被封印了多年的牙龈,出点血,酸痛敏感一下是正常的。
牙结石洗牙多洗牙有多痛?
不会很痛,主要是牙齿敏感的那种酸酸的情况,如果有冷热酸甜等刺激就会有轻微疼痛。当然也有一些患者牙结石很多的,但是牙齿本身不敏感,洗牙后也不会有这种感觉。

洗牙后出现牙齿酸痛是正常的,一般一周左右都能消失,所以不用担心。不过洗牙后如果有牙龈萎缩、牙根暴露的情况还是注意一下,尽量不要吃冷热等刺激性的食物,使用温水刷牙,而且每年做到1-2次到医院洗牙。诺尔漫齿科在看诊定价收费上一直按照物价标准定价以及坚持透明化收费,所有费用一目了然,不存在隐形消费,患者只花该花的钱,看牙就诊更明细清楚。
关注我了解牙齿各方面知识,有什么疑问欢迎评论和私信!祝大家有一口健康整齐、靓白美观的好牙。