周一上午,“无事不登三宝殿”的老王又来找杨大夫了,这次又是为什么呢?原来呀,老王家的一个远房亲戚前几天因为老是拉肚子,而且大便的颜色还与正常的不一样,便中带血,在家里的医院做了一个CT怀疑多发息肉,进一步做了肠镜,发现肠子上密密麻麻的长了好多息肉,大小不等,病理报告为腺瘤,管床的大夫非要他的孩子也去做肠镜,这个亲戚就想不明白了,这医生怎么回事,管得也忒宽了吧,给我看病就看病,为什么还非要我的孩子也去做肠镜呢?于是,一言不合就到北京来了,想找个大医院给好好看看。老王听了,肠镜他也不懂呀,不知道杨大夫知道不,这就带着亲戚的肠镜报告来找杨大夫了。
杨大夫听了老王的话说:“这您还真错怪医生了,您这亲戚的病应该是属于一种家族性的遗传病,医学上管它叫“家族性结肠息肉病”,具有一定的癌变倾向,医生建议孩子做肠镜是非常有必要的”。今天我们就来来说说这个病吧。

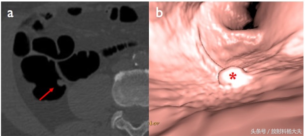
CT上的息肉表现,左图为轴位图像,右图为虚拟内镜技术。可见息肉为突起的小结节。
家族性结肠息肉病,英文简称FPC,是一种与遗传有关的大肠息肉病,表现为大肠内多发腺瘤性息肉,临床表现以便血、腹痛、腹泻为主,这种病癌变率极高。有研究表明,FPC患者在息肉发生的头5年内癌变率为12%,在15~20年内癌变率大于50%,癌变的平均年龄为40 岁。也有文献报道此病45岁前的癌变率几乎达到100%,约占大肠癌发生率的1%。因此,早期普查、早期诊断、早期治疗对防治FPC癌变具有重要意义。FPC在遗传上无性别差异,也就是说这种疾病在传男和传女的几率上是一样的。FPC从发现到癌变间隔时间约10年,患者常于青少年期出现症状,临床表现以腹泻、腹痛为主; 而FPC癌变患者亦以腹泻、便血或持续粪便隐血试验阳性为主,提示便血或持续粪便隐血试验阳性为癌变的早期预警信号。FPC的主要病理变化是肠道内广泛出现数十到数百个大小不一的息肉,严重者息肉数量可达数千个。FPC早期无特殊临床症状,详细询问家族史对于发现该病有重要临床意义,开展患者家系调查是早期发现FPC患者的主要途径。因此近期反复发作的腹泻、便血患者应详细询问病史和家族史。对于患者有阳性家族史的应尽早行肠镜检查,同时取全瘤作活检。

一旦发现结肠息肉病患者应重视家族成员的检查,动员患者成年以上的*亲近**包括子女、兄弟姐妹、双亲到医院作系统检查。FPC患者一旦出现息肉,40 岁左右会先后出现癌变,应尽早( 25 岁前) 手术治疗。FPC患者无论是内镜下治疗还是手术治疗均可复发,因此应作追踪随访。对于FPC 患者有患病危险性的家族成员,从13~15 岁起至30岁,应每3年进行一次结肠镜检查; 30~60 岁之间应每隔3~5年一次。对于确诊家族性息肉病患者临床必须终身随诊。术后随访:前3 年内每3~6个月1 次,以后每6~12 个月至少1次,目的是可及时去除复发的息肉,对可疑患者进行病理检查,以便及时发现癌变。在随访中,运用息肉电切、药物治疗及手术治疗等方法能更好地改善预后。
听了杨大夫的话,老王他们知道冤枉那位医生了,现在医患关系那么紧张,患者对医生缺乏基本的信任,其实“遵医嘱”是很有重要的。
参考文献:
张剑峰等.家族性结肠息肉28例的临床分析. 东南国防医药,2015,17:652-653.