近日,广东省东莞市人民医院急诊室来了一个特殊的胸痛患者。
之所以说这名患者“特殊”,是因为,晚上他喝酒喝大了,竟然吞下了一把钥匙,自己却还不知道。
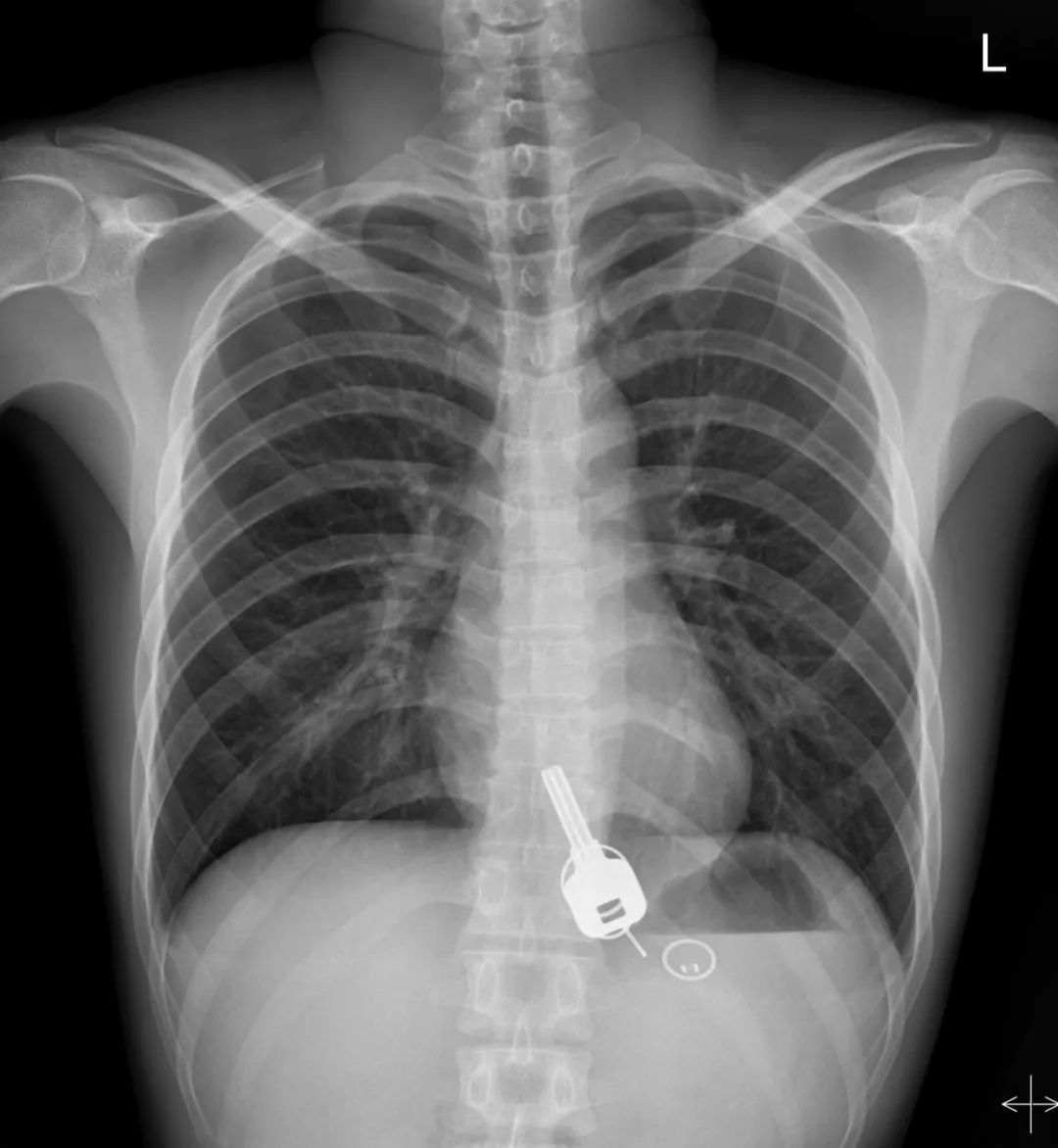
直到早上酒醒了,胸口很痛,忍不住来医院检查。结果,一拍X光,一把铁钥匙、2个钥匙扣、1个门禁牌清楚显示在肚子胃区的位置上。

患者常先生,今年26岁,他已经完全记不得钥匙是如何跑到自己胃里的了。常先生告诉医生,当晚回家的时候,他找不到钥匙,还以为是喝酒时弄丢了,也没有在意。他根本没有想到,钥匙竟然在自己肚子里。
怎么把钥匙取出来?医院会诊后,决定由消化内科医生在胃镜下取。
一开始,医生们考虑取钥匙的难度应该不算大,而且钥匙没有尖利的角,对胃肠道的损伤也不会特别大。

不过,真正在胃镜下取钥匙时碰到难题了,钥匙太大,胃镜下夹住钥匙退到食管最狭窄的地方,喉咙附近食管入口处卡住了,取不出来,如果强行拖拉出来,担心引起该处食管撕裂,后果不堪设想。
如果实在无法在胃镜下取出,那只剩下两个办法,一是通过排泄让患者自己把它拉出来,可钥匙太大,从胃腔下到肠子的可能性太小,就算下到肠子,也很容易引起肠梗阻,时间长了也容易引起肠穿孔,到时也不可避免的需要外科手术;另一个就只能是马上开腹手术取了。
到了晚上8时30分,鉴于患者病情的特殊性,疼痛科麻醉医生赶回来给患者做无痛胃镜,在麻醉情况下,患者食管入口处肌肉松弛,钥匙终于顺利取出来了,不用开刀了!

喝酒就喝酒,怎么还吞钥匙?要不是医生们想方设法,到时开腹手术去,那麻烦就大了。看来,最好的办法还是得少喝酒啊!
大人是喝酒了误吞钥匙,小孩子误吞异物的情况就更多了,家长们可得看好孩子。看看,这些吞异物的孩子,家长们可得长点心了!↓↓↓

热点文章
速看!油价将迎来年内最大变动
婆婆领养了一个男孩,比亲孙女大7个月,真实身份儿媳无法接受
开着开着,两个车轮没了!副驾跳车高速上狂追轮胎,2公里后…
来源:广州日报
摘选内容及图片版权归原作者所有
尊重原创,如有侵权请联系删除
微信商务合作:15972678001
新闻报料: 2385865

点击“阅读原文”,发现更精彩的荆门