今天口腔门诊时,遇到家长带着9岁的儿子过来看牙。家长说无意之间发现儿子口腔内出现双排牙齿,影响美观,询问要不要把外面多的牙齿拔掉?
作为口腔医生,我给出的答案是:9岁孩子正好在乳牙和恒牙更替的时期,双排牙正是乳牙未掉,恒牙已经异位萌出的现象。需要及时拔除乳牙,给恒牙一个空间,让恒牙正常萌出。

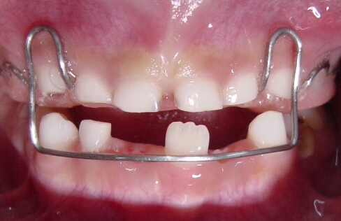
双排牙
最近头条也有朋友在咨询类似的问题,下面我们就来聊一聊换牙期间双排牙的相关问题吧!
为什么会有双排牙现象
来源于中新网的报道:宝宝咬不动青菜,大部分家长选择切碎来喂。由于宝宝进食过于精细,“双排牙”已经成为儿童口腔常见疾病,某儿童医院每10个换牙期就诊的宝宝,就有2个是双排牙。
双排牙现象,医学上称为乳牙滞留。具体表现为口腔里面乳牙和相应的恒牙同时存在。通俗来讲,就是乳牙到了该掉的时间而没有掉,相应的恒牙从其他方向已经萌出。

乳牙滞留,恒牙已萌
大多数情况下都是恒牙在乳牙偏外侧萌出,导致双排牙的原因比较多,比较常见的原因为:宝宝们吃东西比较精细和松软,乳牙没有受到足够的咀嚼压力,牙根没有发生足够的生理性吸收,因此不能够按时脱落,而恒牙只能从其他位置萌出来。

换牙期间,食物不宜过于精细
宝宝口里有双排牙,怎么办
发生双排牙怎么办?作为一名具有多年临床工作经验的口腔医生,我认为需要及时就诊,完善相关辅助检查后,尽快拔除滞留的乳牙。确保恒牙能够有一个足够的空间,进行很好的萌出。如果后期咬合关系较差的话,我们可以通过正畸方式来矫正牙齿。

拔除滞留的乳牙
作为家长,特别是换牙期间,需要密切关注小朋友的口腔情况,如:a.乳牙有没有正常的脱落;b.恒牙有没有在一个很好的位置进行萌出;c.牙齿的咬合关系情况如何等。
特别提示:当小朋友口内有“地包天”、“小下颌”等现象,分别表现为下前牙包住上前牙和下巴发育不足。那么需要早期行矫治干预,纠正咬合关系,促进颌骨发育。若是拖延,后期需要行正畸+正颌手术,并且创伤较大,手术难度系数高。

早期干预
知识拓展:小朋友换牙期间有妙招
换牙期间,尽量减少换牙问题,拥有健康而整洁的恒牙,我觉得需要做好以下几个方面。
1.饮食上不能吃得过于精细,要适当的吃一些粗粮,勤用牙齿适当啃咬一些东西,比如说苹果、梨子等,可以很好的传导咀嚼压力,促进乳牙牙根的吸收,确保乳牙正常脱落,恒牙能够在正常时间萌出。

促进乳牙牙根吸收
2.乳牙的维护很重要,需要提高口腔保健意识。乳牙发生病变将会累及牙周组织及恒牙胚,导致疼痛、恒牙萌出障碍等,因此当我们口腔内有牙齿之后,就需要做好每日的刷牙清洁,按时做好涂氟及窝沟封闭,定期至口腔科检查,尽量减少乳牙病变的发生。

定期检查牙齿
3. 当乳牙由于龋坏或者外伤等发生缺失时,我们需要至正畸科制作间隙维持器,确保后期恒牙萌出有足够的空间。同时由于乳牙的早失,我们通过牙龈进行咀嚼食物,可能会导致牙龈纤维化加重,给恒牙的正常萌出带来困难。这个时候我们需要拍摄小牙片进行确认,必要时需做开窗助萌,帮助恒牙正常萌出。

间隙维持器
4.有数据表明[1]:由于小朋友食物链发生改变,咀嚼功能减退,乳牙滞留是导致乳牙拔除中占据最高的因素。我认为需要家长需要肩负起娃娃口腔健康的第一责任人,教导和监督日常口腔卫生,养成良好的口腔卫生习惯。
知识拓展:乳牙发生龋齿,怎么办
乳牙由于矿化程度较低,口腔卫生维护情况较差、睡前进食等因素,容易发生龋齿。此时,家长需要积极关注,早期进行去龋充填,避免病变进一步发展,导致乳牙早失。
温馨提示:特别是小朋友口腔内发生多颗牙的龋齿,并且小朋友极度不配合,不能够在门诊进行操作时。可以在全麻下对所有的患牙进行一次性正规处理,可以节约时间,同时降低因为治疗牙齿时发生疼痛给小朋友留下的阴影。

全麻下治疗
总结:小朋友在乳牙恒牙交替期间,出现双排牙时,需要积极就诊,拔除乳牙,确保恒牙能够正常萌出。若是换牙后出现咬合关系错乱,则建议行正畸治疗调整正确的咬合关系,让小朋友拥有一口健康、整洁的恒牙。
参考文献:
[1]:董春海.孙建薇.2792颗乳牙拔除的临床分析[J].系统医学.2018.02.03(4):148-150
配图:网络(侵删)
#健康真相馆##生命召集令超能团##头条健康#