多发特大肝囊肿,先看图片

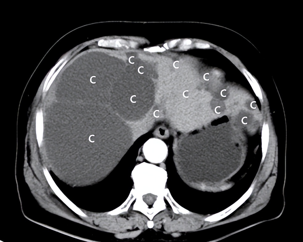
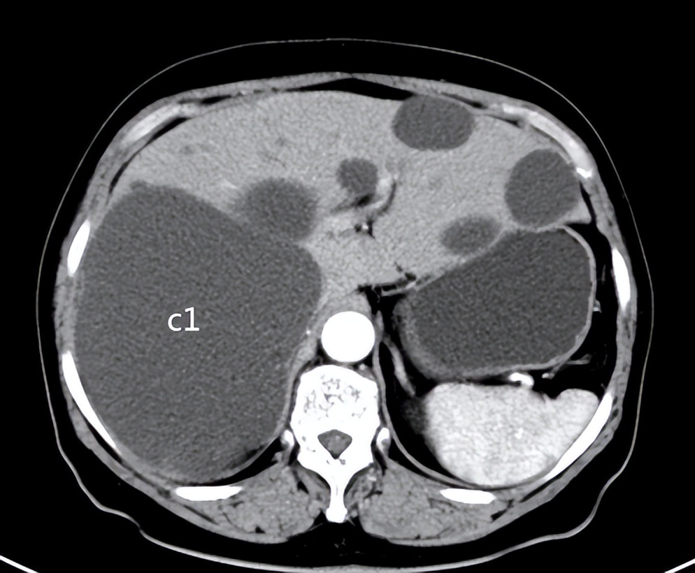
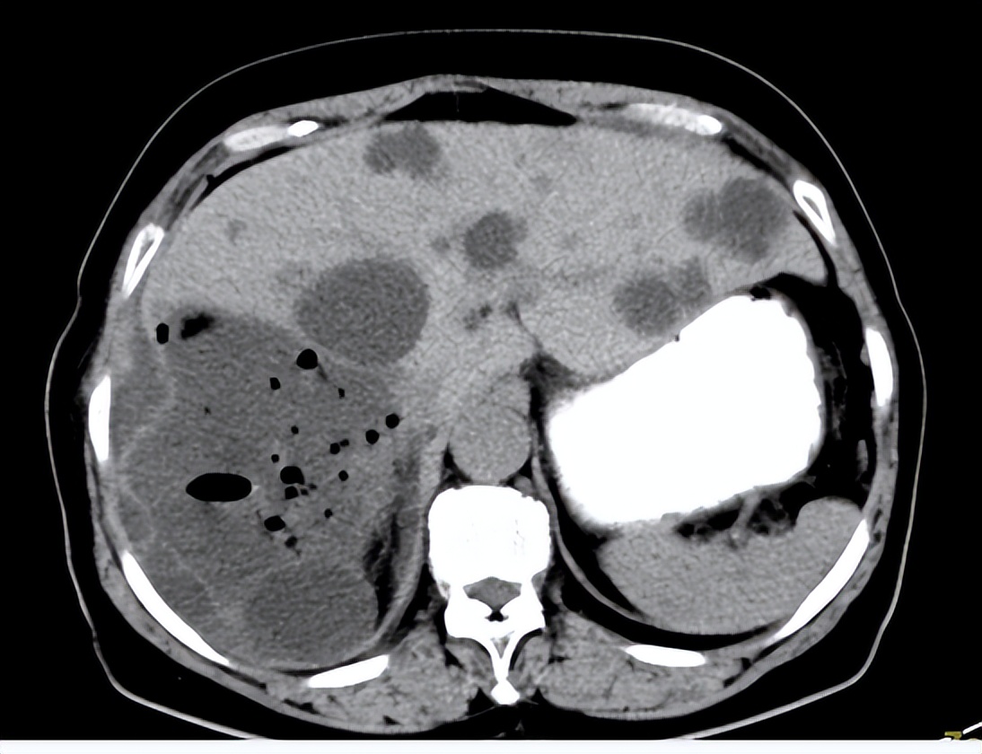
CT:肝内多发特大囊肿

CT:单个最大者>15cm

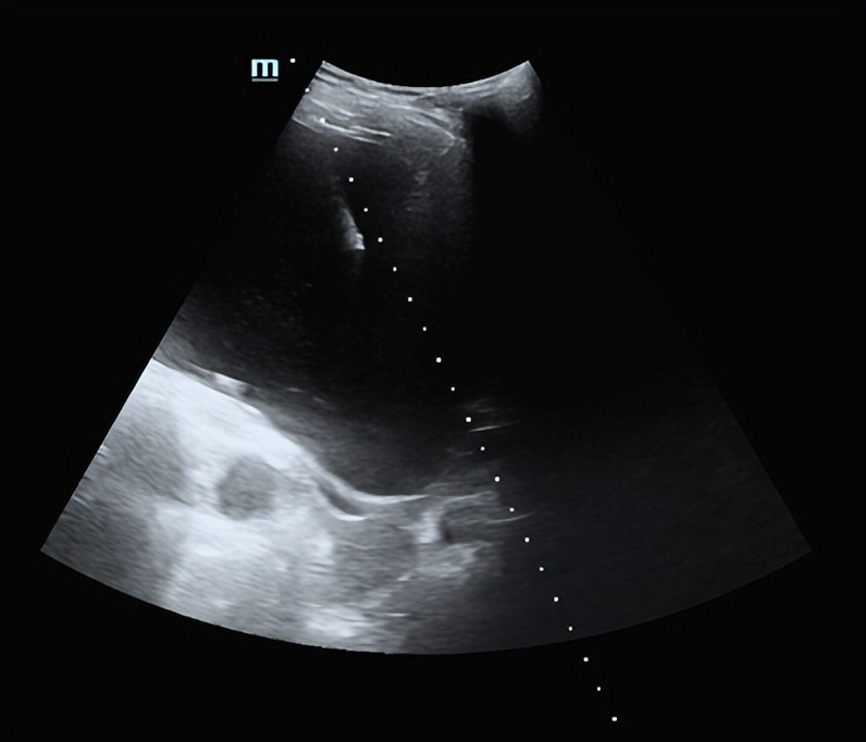
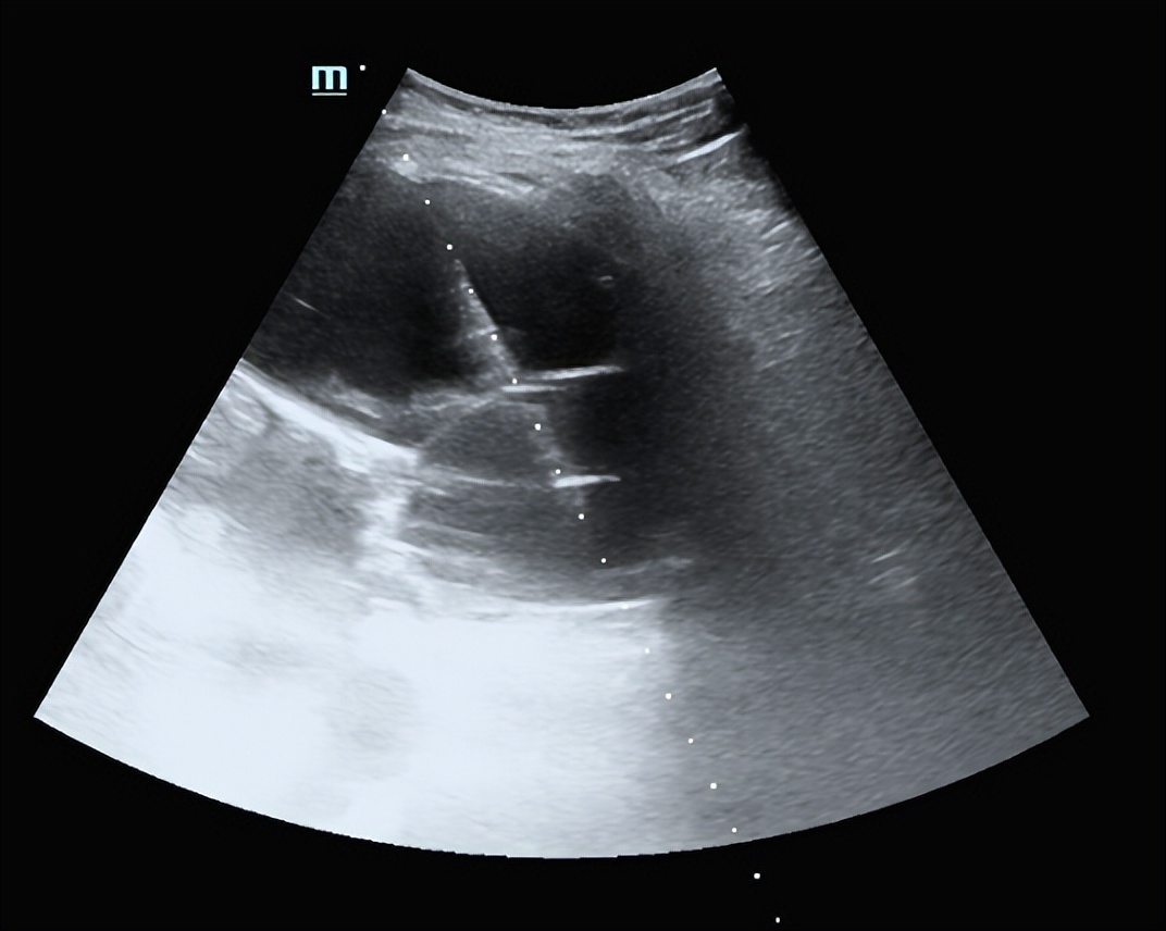
超声:肝内多发囊肿
患者女性,50岁,多年前健康查体发现多发肝囊肿,最大者直径4cm。一年来感觉右上腹胀满,疼痛,食欲减退,来院检查,CT/超声提示:肝内多发肝囊肿,最大者直径>15cm。患者住院行:介入超声肝囊肿硬化治疗术。
介入超声治疗方案:对最大的囊肿进行超声引导下经皮穿刺置管引流,对其他直径<8cm的囊肿分别进行穿刺抽液、硬化治疗。
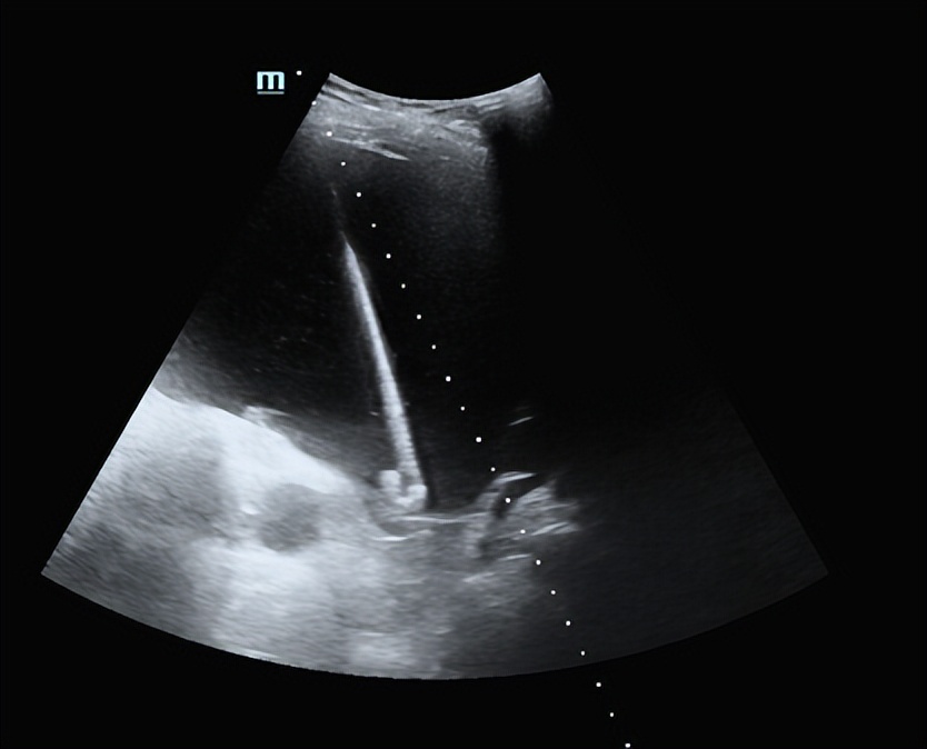
首先对最大的囊肿进行置管引流。超声确定最佳穿刺路径,消毒铺巾,上穿刺架,调整引导线,18G PTC针进入囊肿中心,置入导丝,扩皮,置入猪尾管持续引流,返回病房。

PTC针穿刺囊肿

导丝置入囊肿

猪尾巴管置入囊肿
24小时共计引流出淡褐色囊液1100ml,使用生理盐水300ml冲洗囊腔,注射无水乙醇100ml硬化囊腔,期间嘱病人在治疗床上左右侧动身体30度,10分钟后抽出硬化剂,抽出量与注入量相等。保留引流管持续开放,返回病房。
24小时抽吸出淡褐色液体60ml,使用无水乙醇100ml硬化囊腔,期间嘱病人在治疗床上左右侧动身体30度,10分钟后抽出硬化剂,抽出量与注入量相等。拔出引流管。
按照大小排序,对第2、3号囊肿进行常规穿刺硬化治疗,采用18G PTC针穿刺,抽吸出囊液95ml、75ml,生理盐水冲洗囊腔,40ml、30ml无水乙醇硬化囊腔10分钟抽出,囊腔内保留无水乙醇3ml。

重叠囊肿连环穿刺
术后48小时复查CT:原较大囊肿位置内见多发气体影,邻近肝包膜内陷,肝周见少量水样密度影。

术后CT
患者术后临床症状逐渐减轻至消失。
大于8cm的肝囊肿定义为大囊肿,本病例直径大于15cm。先采用置管引流术和隔日进行了两次注射硬化剂治疗,主要目的为了引流完全,防止囊肿过大一次抽吸囊液不完全,分次注射硬化剂是考虑到囊肿过大、一次注射硬化剂量有限(囊内单次无水乙醇量不宜超过100mL),担心硬化剂不能与囊壁充分接触,影响治疗效果。因为考虑囊壁上引流管孔较大,为了防止无水乙醇顺着引流管孔流出囊腔引起酒精性腹膜炎,治疗结束后未在囊腔内保留无水乙醇。其他囊肿硬化采用常规单次硬化治疗术。因考虑到病人身体承受能力问题,一次治疗了三个囊肿,未对其他小一点的囊肿进行治疗,留作下一次治疗。
囊肿治疗的目的是使囊腔缩小或闭合,从而减轻和消除相应的临床症状。硬化治疗后囊肿闭合时间相对规律:直径5cm以下囊肿一般3~5个月内闭合,直径6~10cm较大囊肿常需6~10个月闭合,直径大于10cm囊肿闭合多在12个月以上。