在癫痫患者中,孕妇是一个十分特殊的群体。在怀孕期间,癫痫的发作不但危及母亲的健康,也同样可能会危害胎儿。那么,女性癫痫患者想要生育,需要注意哪些事项呢?
今年30岁的何女士是两个孩子的妈妈,但同时她也是一位有着14年癫痫病史的患者。
何女士第一次癫痫发作是在2006年,当时她还是个花季少女。那天,她如常地坐在教室里上课。突然,她的整个上半身向右扭转,右手不停地舞动,左手僵硬向上抬,眼睛向右斜视,整个状态持续了一分钟左右才缓解。何女士说,“其实我根本想不起当时发生了什么,是同学告诉我的。”后来类似的发作还发生了几次。
在*江阳**当地医院被诊断为癫痫后,经过服用抗癫痫药,何女士的病情一开始得到了有效控制,不过后来由于各种原因,她偶尔会自行停药,导致癫痫呈周期性发作,严重时一天会发作几次。


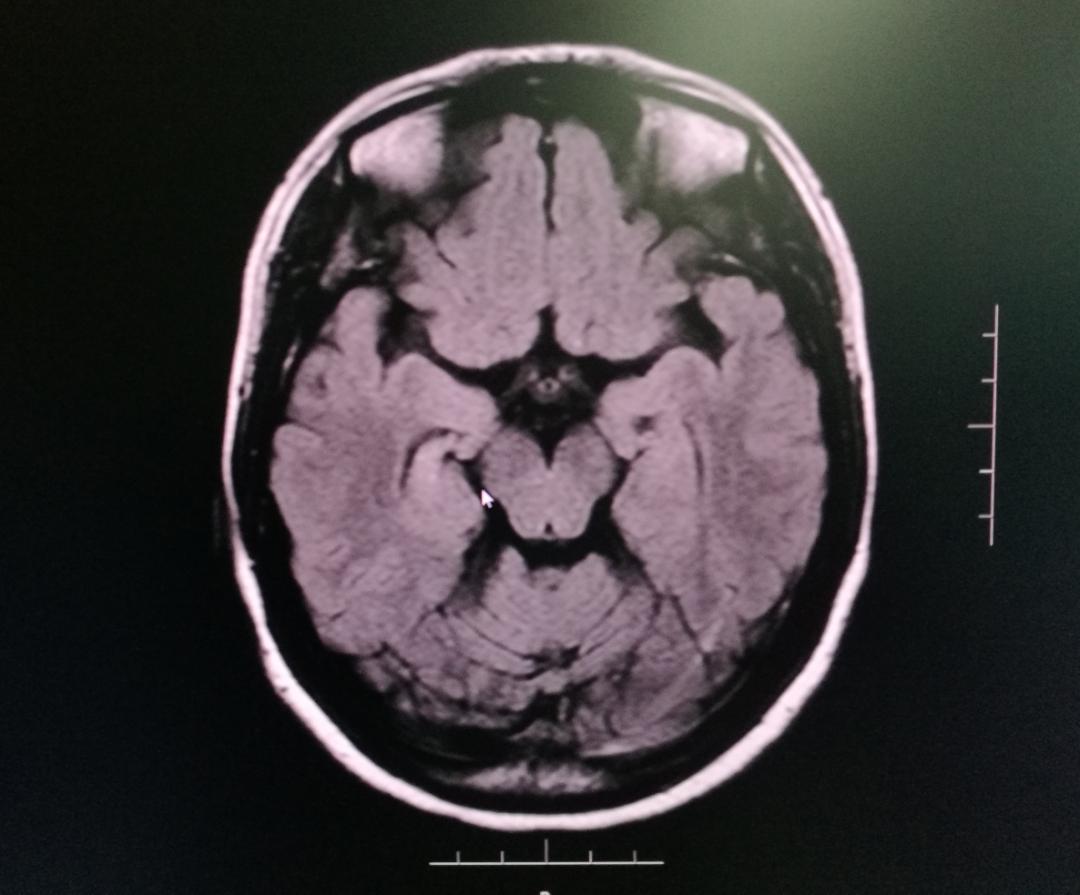
何女士于2012年找到广东三九脑科医院癫痫中心癫痫内科胡湘蜀主任医师。当时我院脑电图检查提示患者右侧前头部异常放电,头颅MRI显示患者右侧海马硬化。经过调整治疗方案,在随后几年里,何女士的癫痫都得到了很好的控制。
2015年,怀孕后,何女士因为担心抗癫痫药物会对胎儿造成影响,便擅自停药了,再次诱发癫痫发作。有次发作比较严重,也是浑身抽搐,差点导致流产!2018年,何女士第二次怀孕,她吸取了之前的教训,没有完全停药,而是自行减轻药量,然而还是诱发了癫痫发作。幸亏经过及时治疗,最终化险为夷,没有对胎儿造成太大伤害。
胡湘蜀说,患者在病情得到控制后,就自行偶尔停止服药或减轻药量,导致癫痫再次发作。癫痫是一种有着不同病因基础、临床表现各异,但以反复癫痫发作为共同特征的慢性脑部疾病。同时,癫痫也是一个非常典型的、需要长期坚持治疗的慢性病。“癫痫患者需长期规律服药,不能自行停药或者减药,女性癫痫患者怀孕后也一样。”
需要注意的是,女性癫痫患者在计划怀孕前就应先咨询癫痫专科医生,如在服药期间意外怀孕也不可自行停药或减药,应在医生的指导下调整用药。
女性癫痫患者怀孕注意事项
1.女性癫痫患者在计划怀孕前,应咨询癫痫专科医生,医生会根据患者具体情况进行系统评估后调整治疗方案。女性癫痫患者从怀孕前3个月开始至孕早期3个月内,应坚持每日服用叶酸片。
2.在怀孕期间,有效控制癫痫发作非常重要。如果在服药期间意外怀孕,应及时就医,医生会对患者进行系统检查,并根据患者情况调整用药。切不可自行停药或减药,避免诱发癫痫发作,甚至加重病情,无论对患者自身,还是对胎儿都有一定影响。
3.癫痫不是遗传病,而是遗传物质发生了异常所致的疾病,它有一定的遗传性,但概率非常小。怀孕期间,须定期到妇产科进行详细产检及遗传咨询等。
4.癫痫患者在怀孕后要保证充足睡眠和良好心态,定期到癫痫专科复诊,及时反馈病情及产科产检情况等,在癫痫专科医生的指导下怀孕至宝宝分娩。
专家简介

胡湘蜀
广东三九脑科医院癫痫中心癫痫内科、主任医师、医学博士
专业特长:癫痫病的诊断和治疗,对各种症状性癫痫,包括脑炎后癫痫,中风后癫痫,伴海马硬化的局灶性癫痫等、对免疫性癫痫的诊断和治疗尤为擅长。对妊娠合并癫痫具有丰富的管理经验。主攻方向为难治性癫痫的定位诊断和治疗,在脑电图分析、头颅影像学(核磁共振、PET/CT)分析方面经验丰富。
个人简介:2004年毕业于四川大学华西医院神经内科专业,获神经内科专业博士学位。毕业以来一直从事神经内科工作,具有扎实的医学基础理论,熟练掌握神经科常见病、多发病的诊治。2009年以来专职从事癫痫的诊断、治疗和临床研究。特别擅长癫痫的规范诊断及系统治疗,对癫痫综合征、药物难治性癫痫的诊断和综合治疗(药物、生酮饮食及手术治疗等)具有丰富的临床经验,对海马硬化与癫痫间的关系有深入的研究和认识。近年来专注于药物难治性癫痫的术前评估及大脑高级脑功能等领域的临床和研究工作。2011年赴加拿大蒙特利尔神经病学研究所癫痫中心访问学习三月。2013年获得ASEPA脑电图医师资格。2014到2016年师从刘兴洲教授学习癫痫定位诊断及SEEG理论和实践。2016年11月赴美国克利夫兰癫痫中心举办的SEEG学习班进行系统的立体定向脑电图学习。2017年4月参加首届亚太地区SEEG学习班。2015、2016、2017连续三年担任前三届中国SEEG学习班指导老师。
社会任职:现为广东省抗癫痫协会常务理事,广东省脑发育与脑病防治学会癫痫病学分会常务委员,第七届和第八届广东省医学会神经病学分会中青年委员,第八届广东省医学会神经病学分会癫痫学组成员,中国抗癫痫协会第一届青年委员会委员,中国抗癫痫协会立体定向脑电图(SEEG)与脑定位学专业委员会第一届委员。
科研成果:主持完成广东省科技厅课题《伴海马硬化的颞叶内侧癫痫的预后因素的临床研究》以及广东省医学科研基金课题《伴海马硬化的颞叶内侧癫痫的药物治疗预后因素的临床研究》两项;参与及指导完成省、市级课题四项:《结节性硬化症基因突变特点及其与患者癫痫、智能的关系》、《脑磁图与颅内电极脑电图全程联合在外科治疗难治性癫痫中的应用》、《多手段联合运用下外科治疗功能区顽固性癫痫》、《药物难治性癫痫自身免疫相关的临床研究》。并参与了新型抗癫痫药物的临床研究,抗癫痫药物过敏反应多中心研究,以及癫痫影像学的多学科研究。