来源:肺癌多学科会诊
在AACR在线年会 I 的全体会议专场,中国学者展示了广泛期小细胞肺癌二线治疗的最新研究结果。该项研究(PASSION,NCT03417895)是一项随机、开放标签的II期试验,旨在评估卡瑞利珠单抗(Camrelizumab)+阿帕替尼(apatinib)用于铂类化疗后广泛期小细胞肺癌的疗效和安全性。在第一阶段研究中设有三个队列,患者随机分配(1:1:1)卡瑞利珠单抗200 mg每2周静脉滴注,和阿帕替尼375mg【3组3种用法:每天1次;连续5天/休息2天; 连续7天/休息7天】,每组6例患者。
2018年4月20日到2019年3月12日期间,研究共纳入59例患者,其中阿帕替尼每天1次375mg的QD队列有47例患者,已确认的ORR达到34.0%(95%CI20.9-49.3),中位PFS为3.6个月(95%CI 1.9-4.6),中位总生存期(OS)为8.4个月( 95%CI 4.7-12.3);化学敏感(铂类化学疗法后疾病复发≥90天)组和化学耐药患者(铂类化学疗法后疾病复发<90天)组具有相当的ORR,分别为37.5%和 32.3%,中位PFS分别为3.6个月 和 2.7个月,中位OS分别为9.6个月和8.0个月。
安全性可控:在所有59例患者中,有43例(72.9%)患者产生了3级或以上的治疗相关不良事件(TRAE),最常见的是高血压(25.4%)、手足综合征(13.6%)和血小板计数降低(13.6%)。5例(8.5%)患者因TRAE停药。无治疗相关死亡事件。
结论:卡瑞利珠单抗+阿帕替尼在化疗敏感和化疗耐药ED-SCLC患者中显示出有希望的抗肿瘤活性,且具有可接受的安全性。结果支持更进一步的临床研究再验证卡瑞利珠单抗+阿帕替尼在小细胞肺癌中的疗效。









【病例分享】
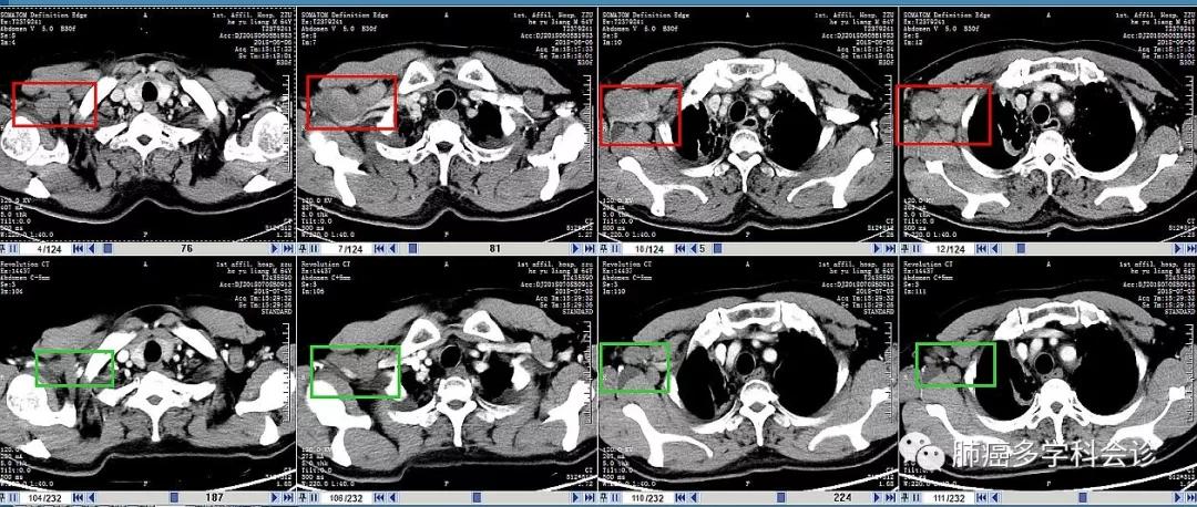
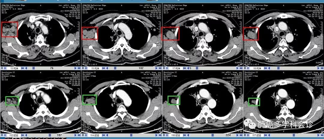
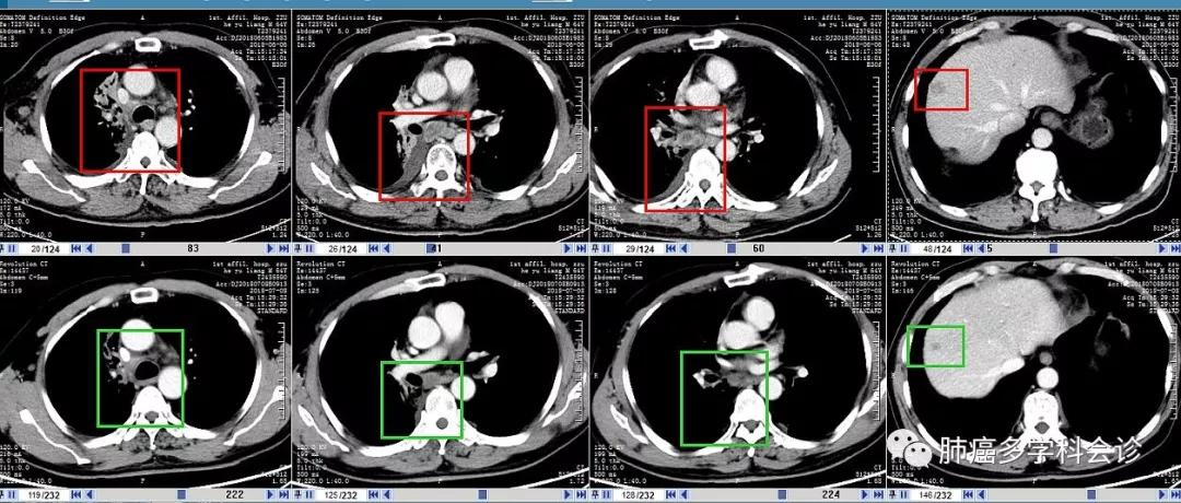
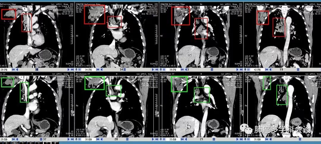
患者HYL,男,64岁。2017年6月病理诊断为小细胞肺癌。经“依托泊苷+顺铂”化疗6周期后胸部放疗,获完全缓解。2018年4月发现颈部淋巴结肿大,行锁骨上区放疗。2018年6月复查CT:纵隔及右腋窝多发肿大淋巴结,右侧胸腔积液,肝右叶结节。脑MRI:未见转移。肝占位穿刺病理:小细胞肺癌。
于2018-6-12和07-03,按照临床试验方案给予分别“SHR-1210 200mg ivgtt”,同时连续口服“阿帕替尼 375mg QD”。
以下是2周期治疗前(每图上行,2018-06-06)和治疗后(每图下行,07-08)腋窝和纵隔转移淋巴结大小等的比较:




患者第二次住院时(2018.6.18)发现手足出现多形性红斑伴口腔糜烂,AE3级,与SHR-1210可能有关,与阿帕替尼肯定有关,6.26给予暂停阿帕替尼治疗,2天后恢复为1级,继续以原剂量给药。