邻居李先生,在一家证券所工作,收入丰厚,家庭生活都很美满。
但最近经常感到头痛不适,起初还以为是作息生活不规律所引起,因为经常要熬夜和应酬。但自己注意一段时间后,却并没有改善。
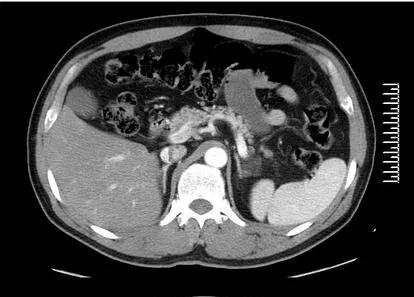
后来一家体检机构做体检,发现尿液中有蛋白一个+号;机器测量血压140/80毫米汞柱,似乎并不高。拿着体检机构的检查单,看了一个肾内科门诊,门诊医生手工测量却发现血压190/70mmH,心跳在110次/分;考虑存在高血压,蛋白尿是由于血压升高导致。彩超发现肾上腺有肿块,考虑嗜铬细胞瘤,抽血检查其他指标,最终确诊为继发性高血压由嗜铬细胞瘤所引起。
李先生有点担心,认为高血压要长期服药,以后要以药为伴了。医生告诉他放心,用药是暂时的,做完手术后将嗜铭细胞瘤切除之后,血压自然就会恢复到正常。

@呼吸科延陵医生
在全球范围内,高血压患病率很高,原发性高血压降到90%以上;但由于我国人群基数比较大,所以仍然有相当大一部分是继发性高血压,而继发性高血压控制原发病之后高血压就可以得到改善和缓解。
引起继发性高血压的常见疾病有:
1)嗜铬细胞瘤。是一种神经内分泌肿瘤icon,可以引起阵发性头痛发汗,心动过速以及伴有血压升高;其引起的血压多为阵发性的升高,并且比一般原发性的高血压水平要高,但是也有百分之5~15%的病人血压是正常的。肿瘤切除后血压可以恢复正常。
2)肾脏疾病。各类肾脏疾病可引起肾性高血压,除了血压升高的表现之外,往往还伴有血肌酐升高以及蛋白尿等。其引起的血压多为顽固性的血压升高。

3)一些内分泌疾病也可以引起血压升高,比如甲状腺功能亢进和甲状旁腺功能亢进。
4)主动脉缩窄。多见于幼儿,属于先天性心脏疾病之一。
5)严发性醛固酮增多症。除了可以导致高血压之外,还会引起不明原因的低钾血症icon和代谢性碱中毒。
6)药物所导致的高血压。最常见的就是长期使用甘草片,可出现双下肢浮肿;口服避孕药、减充血剂以及部分*肥药减**物也可以导致血压升高。
另外一些肿瘤靶向药物和免疫治疗药物,比如络氨酸激酶*制剂抑**和抗血管生成剂,也可以导致血压升高。
7)睡眠呼吸暂停综合征。是引起血压升高的一个重要的危险因素。病人表现在夜间出现呼吸暂停和低氧血症;如果不能得到改善的话(可以使用呼吸机治疗),血压持续升高,也无法控制。

因此,发现血压升高需要查明原因,如果是继发性高血压就需要治疗原发性疾病;只有原发性高血压才需要终身服药,因为原发性高血压就是没有具体病因的,血压持续性升高。