飒
姐
信
箱
飒姐好,最近跟女朋友闹得很不愉快,感觉快要分手了,想请飒姐给我出出主意。
女友离过一次婚,没孩子,我没结过婚,本来家里就不怎么乐意,结果他们家一定要我带房子带车当上门女婿,还说孩子姓她的姓,我爸我妈听了很生气,坚决不同意我俩了。
其实我跟她感情挺好的,我觉得只要两个人感情好,我跟她一起生活买房子买车也无所谓。但是我发现她隐瞒了我她有小脑萎缩的事情,我是在她手机上发现的。她现在走路摇摇晃晃像喝酒一样,我问她她说她本来就这样走路。
情人节的时候,女朋友说让我自己拿着10万块钱去她们家,我说我不能自己去如果是把咱们这事儿定了,那我爸我妈都一起去,这10万块钱就算订婚礼钱了。结果她就生气,觉得我不顾及她的感受让她没面子了,说实话我感觉她就是被她父母*脑洗**了。
现在她们家也不同意我们俩,我父母也坚决不同意我们,两边都反对闹得不可开交。我真的觉得身心憔悴,可是我又觉得我跟她分手,她本来就有病,她再哭再难受对她病情不好,我觉得我不应该抛弃她,或者说不能抛弃她,分手的话我会良心不安,但是现在这个情况我又实在难以接受,我该怎么办?
飒
姐
回
复
这位老弟,我觉得你是个善良的人,但是在你为了自己的善良左右为难之前,我想先提醒你一些医学性的问题:
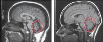
女朋友小脑萎缩是先天性还是后天性?有无原发病?是不是存在继续进展的可能?
我们的小脑主要参与躯体平衡和肌肉张力的调节,因此小脑萎缩的患者可以出现步态不稳,共济失调,言语不清等症状。
虽然小脑萎缩在老年人比较多见,但是也可见于一些遗传性、变性性疾病,也可见于某些急性病程如急性小脑炎的后期及某些药物中毒等。

对于可能引起小脑萎缩的遗传性疾病,比如脊髓小脑变性(SCA)、Friedreich型共济失调、齿状核红核苍白球路易体萎缩症等。这些疾病先不赘述,想仔细了解的可以自己去搜一下。
再来说说隐瞒病情这个事儿吧。
飒姐始终认为,爱一个人,想要跟一个人好好过日子,应该有个前提,那就是在重大问题上应该坦诚,比如疾病,尤其是可能存在遗传性风险的疾病。
任何一个人,都不可能下贱到愿意一辈子的伴侣故意隐瞒自己,她/他身患重大疾病的事实,不管男人和女人,谁也不愿意被欺骗着而结婚。
而任何一个正常人,因为这件事情去分手,我觉得能够理解的。
因为在这件事情上,你应该算是一个受害者。
所以,就算不说什么倒插门什么彩礼,哪怕单纯因对方隐瞒病情而提出分手,也不应当太过自责。
你的女友已经经历过一次婚姻,也是一个成年人了,为了自己的行为付出代价是生活的铁则,谁都无法避免,这并不是你的过错所造成的。

当然,如果你为了爱选择不离不弃,我佩服你的勇气,赞叹你的善良,你的女友遇到你这样的男人的她的幸运。
可是在双方家庭的阻挠之下,你觉得你们的婚姻生活真的可以像你想象中那么简单吗?
我不是劝你狠心,只是在很多时候,善良并不能解决根本的问题。如果觉得自己身为弱者,那就必须要求强者无理由扶贫,那么这种行为不要用什么借口来美化自己,不过就是为了自己的贪婪而进行的道德绑架罢了。
如果我是女孩的父母,在面对孩子的婚姻,并且知道自己孩子病情的面前,我会选择告诉你,而不是盛气凌人地给你下达指令,只字不提自己女儿有病,只说钱没给够别想结婚!
如果是父母煞费苦心,希望给病中的孩子一个保障,想要男方买房子买车,甚至像上门女婿一样来女方家生活,那更应该在一开始就把选择权放在你手上,而不是能瞒一天是一天。
因为,瞒得了一时,瞒得了一世吗?
其实我想,如果可以也许你能从周围的人了解一下,你的这位女朋友,第一次离婚的原因是什么呢?
有劣迹的人,往往不会是第一次。想要吸血的家长,常常不会忽然良心发现。也许你多了解一点,多知道一点,不要单独因为一个“感情”而去蒙蔽了双眼。
而且,从你女朋友对于让你自己拿着十万块钱去她家这个行为来看,第一次婚姻的结束,好像也并没有让她成熟多少,或者说,并没有让她对于家人的无理要求和行为,产生正确的认知和鉴别。

有人说有情饮水饱,那是文学作品。放到现实生活中,感情已经掺杂了欺骗的成分,双方的家庭父母不约而同全部反对,还有因为金钱而产生巨大矛盾,并且难以有健康的前提,只有单薄的感情支撑,就好像你想只靠喝水去活着。
不好意思老弟,飒姐得告诉你,只喝水不吃饭,人一样是会饿死的。
你口口声声告诉我,自己身为男人,不能抛弃病中的女友,怕她哭怕她病情恶化,可是你根本没有抛开一切的勇气不是吗?
如果你啥都不在乎,壮士断腕一往无前为了心中所爱,那就坚决跟自己父母决裂,拿着十万块去她家了不是吗?
有话说人不为己天诛地灭,听起来难听,可是,谁又能做到完全的舍己为人?
太过自私当然会被人唾弃,只是你们的感情遭遇种种考验,你明明想分手,但是又怕道德的谴责内心的不安,你没有这个勇气去做出选择。可是你仔细想想,这一切是始作俑者难道是你吗?

男人也是人,男人也不活该是冤大头不是吗?
分手这事儿,最重要的不是别人觉得该不该,而是你自己想不想?
所以,老弟,你想什么都别考虑,就先想想自己的承受能力,想清楚,你觉得这样的生活你能坚持多久?
如果你确定,自己没有那种佛渡众生,割肉饲鹰的本事,那就认了自己只是一个不够高尚的普通人,又如何呢?
最后,飒姐多说一句:
如果决定分手,那就早做了断,不死不活拖着两个人,对谁都不好。
在这份感情的存在期间,你全心全意爱过,尽自己努力对她好过,在遭遇困难的时候真心想过去解决,哪怕最后解决不了,你已经可以做到问心无愧了。