病例题
患者,女,18岁,因双下肢及双足背红斑溃烂1周,患处皮肤色素沉积2年余就诊。发病前无明显诱因,初起为红斑,逐渐在红斑基础上出现节段性坏死、结痂、溃烂,有自发疼痛。在部分区域,溃疡愈合,留下色素沉着及少量白色萎缩。

实验室检查:
血常规未见异常。
免疫球蛋白M(IgM)3730 mg/L(参考值 400 ~ 2800 mg/L)。
补体 C3、C4 和 IgG、IgA、类风湿因子(RF)、C 反应蛋白(CRP)未见异常。
抗核抗体、抗双链 DNA 抗体、抗可溶性核抗原(ENA)抗体、抗心磷脂抗体均阴性。
凝血酶原时间 13.80s (10.0 ~ 16.0 s)、凝血酶原百分率 89% (70% ~ 140%)、活化部分凝血活酶时间 31.30s (25.0~43.0s)、凝血酶时间15.60s (14.0~21.0s)、 纤维蛋白原 3.82 g/L (2.0 ~ 4.0 g/L)、血浆纤维蛋白降解产物 3 mg/L (0 ~ 5 mg/L)、D-二聚体 0.23 mg/L (0 ~ 0.5 mg/L)、凝血酶原时间国际标准比值(INR) 1.08 (0.80 ~ 1.20)、血浆纤溶酶原抗原测定 264.5 mg/L (230 ~ 386 mg/L)、血浆抗凝血酶III抗原 299.10 mg/L (180 ~ 392 mg/L)均正常,抗蛋白酶 3(PR3)、抗 肾小球基底膜(GMB)、抗髓过氧化物酶(MPO)抗体检查未见异常。
双下肢动脉深静脉彩超未见异常。
最可能的诊断是
A、 慢性静脉功能不全
B、 白细胞破碎性血管炎
C、 结节性红斑
D、 青斑样血管病
E、 坏疽性脓皮病
病例述评
青斑样血管病
青斑样血管病是一种慢性、疼痛性、溃疡性皮肤病,最常见于年轻女性和中年女性。虽然青斑样血管病的发病机制尚不明确,但有研究发现与血液高凝状态和纤维蛋白溶解异常有关。
●临床特征–青斑样血管病的特征是出现结痂的、疼痛性、星状表浅溃疡,且愈合缓慢。该病通常为双侧性,累及踝部和足背周围皮肤。溃疡愈合后留有白色星状萎缩性瘢痕伴毛细血管扩张,称为白色萎缩。在较早的文献中,白色萎缩与青斑样血管病常互换使用,但目前认为,白色萎缩是青斑样血管病和慢性静脉功能不全均可导致的一种愈合模式。
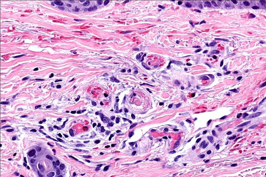
●诊断–皮肤活检用于确诊该病。典型表现是真皮中上层血管出现透明血栓伴血管壁纤维蛋白样改变。

根据病史和体格检查结果的提示,进一步评估患者是否有高凝状态、副蛋白血症、冷沉淀蛋白(冷球蛋白或冷纤维蛋白原)和胶原血管病可能会有帮助。
鉴别诊断
A、 慢性静脉功能不全
B、 白细胞破碎性血管炎
C、 结节性红斑
D、 青斑样血管病
E、 坏疽性脓皮病

有的病例溃疡表现不明显,而以色素沉积为显著,临床上有误诊为过敏性紫癜的情况。
治疗进展
目前治疗方法较多, 包括抗凝剂、类固醇激素、抗血小板、静脉注射免疫球蛋白等,但尚无统一的有效的治疗方案。
抗凝剂是青斑样血管病第一常用的药物,也是目前报道最多的单药疗法。常用的药物有低分子肝素、华法林、利伐沙班、阿哌沙班。例如,下面的病例接受新型Xa因子*制剂抑**利伐沙班治疗。下图为治疗前后皮损表现。

分别为来诊时的表现;治疗 1个月时皮疹颜色变暗,溃疡愈合结痂;治疗 2 个月时溃疡完全愈合,留下网状色素斑;治疗 3 个月时皮疹稳定,予以停药。
合成类固醇激素是治疗青斑样血管病第二常用的单药疗法。包括达那唑、糖皮质激素,其中达那唑最常用。
抗血小板药物包括阿司匹林、双嘧达莫、贝前列腺素钠、己酮可可碱、西洛他唑等。
静脉注射丙种球蛋白多用于难治性病例。重组组织纤溶酶原激活剂对治疗青斑样血管病有一定的希望。
纤溶药常用于抗凝、抗血小板等治疗无效的患者。
高压氧治疗、补骨脂联合长波紫外线照射治疗等物理疗法偶尔使用,不作为一线治疗方案。
其他治疗
1生物制剂,如利妥昔单抗。
2免疫*制剂抑**,如环孢素。
3其他舒张血管的药物,如烟酸、硝苯地平。
4对于伴发高同型半胱氨酸的青斑样血管病患者,选择维生素B6、叶酸、维生素B12,可使皮损和疼痛缓解。
5多西环素,一种2代四环素类抗生素,具有抗炎活性,在皮肤科被广泛应用于*疮痤**、玫瑰*疮痤**等的治疗,2例青斑样血管病的患者接受多西环素200 mg/d治疗后,溃疡和疼痛达到有效缓解。
6此外,1例青斑样血管病患者,接受了每月1次富血小板血浆治疗,同时服用非甾体类抗炎药,3个月后溃疡和疼痛缓解。
7一般治疗:卧床休息、戒烟、抬高患肢、加压疗法等。
英语朗读
A 18-year-old woman presented with ulcerations of the lower extremities that developed one week earlier in the setting of hyperpigmentation over two to three years.
The differential diagnoses include chronic venous insufficiency, cutaneous leukocytoclastic vasculitis,erythema nodosum,pyoderma gangrenosum.
The clinical diagnosis can be confirmed with a punch biopsy. Histopathology revealed thrombotic vasculopathy compatible with livedoid vasculopathy.
上面这段英文朗读在本公众号对应的视频号,欢迎加入

答案
D、 青斑样血管病