多分支动脉的腔内重建是胸腹主动脉瘤微创治疗的一个技术高地,也是国际性难题。南昌大学第二附属医院介入科(介入血管病区)周卫教授团队采用腹主动脉支架体外制备分支支架,成功腔内治疗一例胸腹主动脉瘤患者。

胸腹主动脉瘤术前CTA
患者是一名70岁的男性,因腹部及腰背部疼痛1周行CT检查发现胸腹主动脉瘤。瘤体最大径6cm,累及双肾动脉,常规腹主动脉腔内修复手术无法治疗,遂转至南昌大学第二附属医院治疗。
面对患者的复杂病情,南昌大学第二附属医院介入科(介入血管病区)周卫教授团队立即启动介入科(介入血管病区)、麻醉与围术期医学科、手术室、重症医学科等多学科会诊,专家们经过仔细讨论和研究,最终制定了详细的手术方案和应急预案。
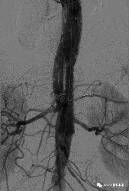
经过周密的术前准备,在麻醉与围术期医学科曹建主治医师的平稳麻醉下,周卫教授、唐新华教授、陈锋教授、以及熊清根博士同时上台操作,应用主动脉分支支架系统,在完全微创腔内技术下进行修复胸腹主动脉瘤,并重建双侧肾动脉、肠系膜上动脉的血供。


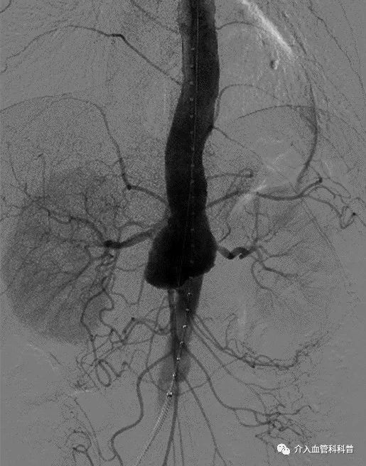
术后造影显示,患者胸腹主动脉瘤修复良好,无内漏,各内脏分支动脉血流灌注良好,术后患者康复出院。
术后1年复查CTA提示支架位置良好,肠系膜上动脉及双肾动脉血流通畅,主动脉支架无内漏,无任何并发症。


胸腹主动脉瘤是指同时累及胸和腹主动脉的动脉瘤样扩张性疾病,一般累及腹腔干、肠系膜上动脉或肾动脉。胸腹主动脉瘤以病变累及范围广及多根内脏血管受累为特点,治疗因涉及内脏动脉血运重建,一直以来是最具挑战的疾病之一。动脉瘤可能自发破裂,5年生存率低于20%。目前,治疗胸腹主动脉瘤的方法主要有开放手术、杂交手术、腔内手术3种。开放手术和杂交手术均无法避免开腹,创伤巨大,内脏动脉重建复杂,术后并发症多,死亡率高。随着腔内修复技术的发展,主动脉腔内修复结合分支支架技术和体外预开窗技术为该类患者提供了新的更加微创的手术选择。
分支支架技术治疗胸腹主动脉瘤手术的成功表明南昌大学第二附属医院介入科(介入血管病区)在胸腹主动脉瘤的多分支腔内重建这一国际性难题上已达到国内一流水平。
南昌大学二附院介入科(介入血管病区)简介

南昌大学第二附属医院介入科(介入血管病区)包括医生7名,其中:主任医师2名,副主任医师2名,主治医师3名,其中有3名血管外科博士均毕业于国内名校,且具有海外知名血管外科中心学习经历。科室可完成江西省血管外科和介入科开展的所有手术。科室每年完成主动脉疾病的微创介入手术200余例,在省内处于领先水平,术后患者并发症少,真正做到了经治患者零死亡;率先将颈动脉内膜切除手术引进我院,并经过欧洲血管外科协会主席所在的德国纽伦堡医院血管外科的规范化颈动脉手术培训,创造了自2012年至今100%手术成功率的记录;在省内最早开展血透通路的球囊扩张术,对于复杂血透通路的建立及并发症处理有丰富经验,每年吸引大量省内外患者前来就诊;大量开展静脉曲张的射频及法国CHIVA手术等超微创手术治疗,CHIVA手术费用低,术后恢复快,术后可即刻下地活动,复发率低,且治疗效果好,受到省内外广大患者的好评;在省内最早开展急性门静脉血栓的TIPS途径AngioJet机器吸栓手术,挽救大量肠道濒临坏死的患者生命;每年救治大量各类急危重症出血患者(消化道大出血、大咯血、产后出血、创伤性出血等),并成功挽救大量危重症患者生命;科室每年完成大量肝癌介入手术、梗阻性黄疸的介入手术,对于肝癌以及复杂胆道梗阻黄疸患者的介入治疗具有丰富经验。我院介入科拥有8台大型DSA机器,2个杂交手术室,全院每年完成各类介入手术约9000台。
介入血管病区立足红角洲院区,辐射赣鄱大地,是医院心脑血管疾病疑难诊治提升工程的组成部分。病区位于红角洲院区的南15楼,环境舒适,设备先进,交通便利,可以更好地为广大患者服务。
特色诊疗·血管疾病
主动脉夹层
主动脉夹层指主动脉腔内的血液从主动脉内膜撕裂处进入主动脉中膜,使中膜分离,沿主动脉长轴方向扩展形成主动脉壁的真假两腔分离状态。
主要表现为突发胸背部疼痛,高血压,内脏或下肢缺血。
微创治疗方法:主动脉支架植入术(主动脉夹层腔内修复术)
腹主动脉瘤
腹主动脉瘤是指腹主动脉呈瘤样扩张,通常直径增大50%以上定义为动脉瘤。
主要表现为腹部搏动性肿块,腹痛、休克、腰背痛等。它可以导致动脉破裂危及生命。
治疗方法:1、腹主动脉瘤切除+人工血管置换2、腹主动脉支架植入(腹主动脉瘤腔内修复术)
内脏动脉瘤
内脏动脉瘤是隐藏在人们肚子里的无声杀手。平时患者几乎没有什么症状,一旦出现腹痛,常提示动脉瘤即将或者已经破裂,死亡率可达25%-100%。
内脏(如肝、胆、胰、脾、肾、胃、大肠、小肠等)动脉及其分支扩张形成一个瘤样扩张的囊状结构叫内脏动脉瘤。
其可以通过各种微创介入治疗方法进行治疗。
颈动脉狭窄
颈动脉斑块会导致颈动脉狭窄,患者容易发生脑梗、脑中风。
治疗方法:1、颈动脉内膜剥脱术(切除斑块)2、颈动脉支架植入术。
锁骨下动脉狭窄
锁骨下动脉狭窄会导致头晕、脑供血不足、双侧上肢的血压差别很大。
治疗方法:锁骨下动脉支架植入手术
肾动脉狭窄
肾动脉狭窄会导致高血压很难控制或肾功能变差。肾动脉支架植入手术可以恢复肾脏血管供应。
下肢动脉硬化闭塞症
下肢动脉硬化闭塞症是下肢动脉粥样硬化斑块形成,引起下肢动脉狭窄、闭塞,进而导致肢体慢性缺血。表现为下肢间歇性跛行、疼痛、冰凉、溃烂、严重者出现缺血坏死。
下肢动脉支架植入术、斑块旋切术、血管搭桥手术等都可以开通血管,恢复下肢血供。
血栓闭塞性脉管炎
血栓闭塞性脉管炎是多发生于男性青壮年的下肢慢性闭塞性疾病。表现为患肢缺血、疼痛、间歇性跛行、游走性表浅静脉炎,严重者有肢端溃疡和坏死。
治疗方法:下肢动脉溶栓、取栓、球囊扩张成形术
下肢静脉曲张
拥有最齐全的微创治疗方法:射频治疗、CHIVA手术、点式抽剥(切除手术)、硬化剂治疗
CHVIA手术优点:局部麻醉、微创、保留血管、术后即能下地行走办出院、费用低、各类医保均能报销
射频治疗的优点:无切口、微创美容
下肢静脉血栓
下肢静脉血栓是指血液非正常地在深静脉内凝结,堵塞了静脉血管,影响下肢静脉血流回流。血栓脱落会导致致命性肺栓塞。
下肢静脉血栓主要表现:下肢肿大、胀痛
肺栓塞表现:胸痛、胸闷、呼吸困难、咳血
治疗方法:应用美国吸栓设备的一站式微创吸栓治疗,微创、痛苦小、风险小、住院时间短、血栓清除干净
男性精索静脉曲张
精索静脉介入栓塞治疗:痛苦小、创伤小,无手术刀疤,术后恢复最快。
女性盆腔淤血综合征
盆腔淤血综合征是由于慢性盆腔静脉血液流出不畅、盆腔静脉充盈、淤血所引起的一种独特疾病。
主要表现:盆腔坠痛、低位腰痛、*交性**痛;月经多、白带多;妇科检查阳性体征少;大腿酸痛、大腿及会阴部静脉曲张
治疗方法:卵巢静脉栓塞术
血管瘤血管畸形
治疗方法:各种手术、硬化剂注射等微创治疗。
特色诊疗·非血管疾病
咯血
支气管动脉栓塞,创伤小、恢复快、费用少。
前列腺增生
前列腺增生会导致男性尿频、尿急、尿*禁失**、夜尿增多、排尿困难、排尿不尽、尿后滴沥。
前列腺动脉栓塞治疗的优势:适合年老体弱者、创伤小、恢复快、并发症少、住院时间短、费用少、不会出现电切等手术导致的出血、尿*禁失**、尿道狭窄等并发症。
子宫肌瘤、子宫腺肌症
子宫动脉栓塞治疗的优势:
1、完好地保留子宫功能。
2、创伤小,恢复快,住院时间短。
3、简便且经济,节省费用。
4、不影响以后其它的手术及药物治疗。
肿瘤灌注化疗、栓塞治疗
肿瘤破裂出血、消化道出血、外伤性出血、产后出血的栓塞止血治疗
女性不孕的输卵管再通手术
