牙缝大一吃东西就塞得痛怎么办 (牙缝越剔越大是真的吗)

牙缝大的人总会有这样的苦恼: “不敢吃韭菜和金针菇,一塞一个准。”“剔牙会不会把牙缝剔得更大了?是因为用牙签和牙线的缘故么?”

其实,这些和牙签没多大关系(但建议大家多使用牙线,而不是牙签)。

牙缝大一吃东西就塞得痛怎么办,牙缝越剔越大是真的吗

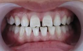
牙缝大有天生的,也有后天产生的,但都会给人带来很多苦恼。因为牙间的缝隙太大不仅会影响容貌,还会影响口腔的健康。

那么到底是什么原因导致牙缝越来越大了呢?

1.先天因素:牙齿发育畸形,青少年时期就出现牙齿排列不好;

牙缝大一吃东西就塞得痛怎么办,牙缝越剔越大是真的吗

2. 缺牙:缺了牙没事,但是缺牙却不管就会导致邻牙塌陷,造成牙缝过大;

3.严重龋齿:细菌腐蚀牙齿后形成了缝隙;

4.牙周疾病:牙周病会导致牙槽骨吸收,时间长了之后牙根就会更加暴露,牙齿缝隙也就更大了。

牙缝大一吃东西就塞得痛怎么办,牙缝越剔越大是真的吗

正常健康的牙龈,是牙与牙之间充满了牙龈,只会有一些细小的缝隙,不会很容易塞牙。但牙龈不健康的人,牙与牙之间缝隙很大,牙龈红肿萎缩,牙根暴露。

牙缝大一吃东西就塞得痛怎么办,牙缝越剔越大是真的吗

那么牙缝太大要怎么办呢?

1. 树脂修复:对于只有 1mm -2 mm的门牙缝隙,可以选择树脂美学修复,但是需要定期维护。

2. 牙齿矫正:通过正畸方法,使牙齿移动到正常的位置,收缩牙缝,矫正时一般需要一年半到两年左右。牙齿矫正可以很好的解决牙缝大的问题,对牙齿也没有任何伤害,只是时间会比较长,如果对美观要求,可以使用无托槽隐形牙套。

牙缝大一吃东西就塞得痛怎么办,牙缝越剔越大是真的吗

3. 烤瓷牙修复:全瓷烤瓷牙也可以解决这个问题,可以恢复牙齿的形态功能,外观好看,用时短,也属于牙齿美容的一种,但需要磨去不少牙齿。

4. 牙齿贴片:也是一种解决办法,相比烤瓷牙只需要磨去表面的一层,对牙齿造成的损伤比较小,所需时间也短。

不论是使用哪种方法,在使用之前,都要检查出是哪种原因造成的牙缝过大。如果是牙周病导致的,就需要先治疗牙周炎症,之后进行修复关缝。