
导航(IKPAS)技术,又称全膝关节手术定位系统(IKPAS)是一款我国自主研发拥有知识产权的便携式导航系统。轻松实现个体化、精准化股骨远端截骨,可常规化使用;不开髓,有效降低并发症的发生;出血少,常规无需置引流管,快速康复,患者术后体验好;尤其适合关节外畸形、骨折内固定未取、骨髓炎病例;使用导航(IKPAS)进行膝关节置换术(TKA),可使截骨更加精准化,从而恢复良好的下肢力线,可极大提高手术精确度,缩短手术时间,提高假体远期生存率。
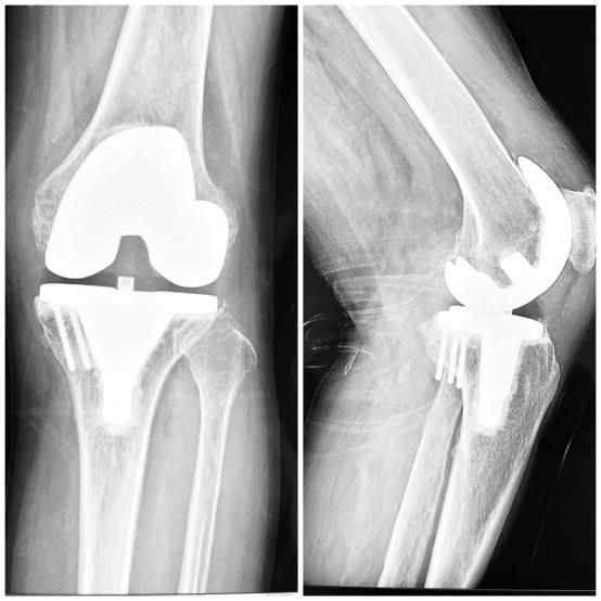
兰大二院西固医院骨科团队,于2021年12月31日开展西固区首例导航(IKPAS)下膝关节膝关节置换术(TKA),该患者严重膝关节畸形,生活重度受限,术后患者畸形完全纠正,康复良好,生活质量明显提高。导航(IKPAS)下关节置换技术为当今先进手术技术,此技术为严重膝关节畸形患者力线纠正带来了福音。


该技术为我院和西固区首次成功开展,填补了辖区内本领域的空白,也代表我院膝关节置换手术又上一个新台阶,进一步提高了我院骨科疾病治疗策略的科学性、准确性,使治疗更加客观和精准,有利提升了人民群众的健康水平。我们在“救死扶伤 践行初心”的道路上再接再厉!
