信息时报讯(记者 谢菁菁 通讯员 郑琳) 高跟鞋不仅可以塑身,还可以矫正体形,备受女性朋友的青睐。不过,茂名一女子就因为年轻时爱穿高跟鞋,结果上了年纪后脚趾严重畸形,甚至连路都走不了,最终只能通过截骨手术,才能恢复正常的行走。医生提醒,长期穿高跟鞋、尖头鞋的女士们,要特别要小心“踇外翻”。
常穿高跟鞋脚趾畸形不能走路
李兰(化名)从20来岁开始就非常爱美,总觉得漂亮的衣服配上高跟鞋特别显气质。如今57岁的她,鞋柜里还保留着不少高跟鞋和尖头鞋。大概在10年前,李兰发现自己的脚底板经常痛,大脚趾有点往里歪,按上去还有点儿痛。近年来,她发现自己大脚趾头歪得越来越明显了。上个月初,李兰的脚更是痛得连路都走不了。“即使是穿了平底鞋,走十几米不到,就得停下来歇息,十分痛苦。”痛苦不堪的她找到了广东三九脑科医院骨科主任柴亚胜。

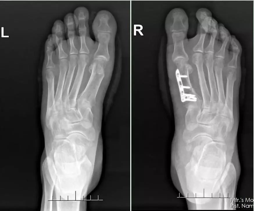
柴亚胜接诊时发现,患者左脚大拇指往其他趾头的方向弯了近30°,而右脚就更加严重了,外翻角度将近40°,严重挤压了第二趾和第三趾。柴亚胜说,这是非常典型的“踇外翻畸形”,大多数人发病的原因跟常年穿高跟鞋、尖头鞋有重要关系。不过像李兰这样的情况就比较严重了,需进行截骨矫形手术才能恢复正常走路。
严重的需要手术截骨矫形
跟家人商量后,李兰决定接受手术治疗。完善相关检查后,柴亚胜为患者实施了“左脚第一跖骨头截骨、踇外翻矫形术和右脚第一跖骨截骨矫形内固定、踇外翻矫形术”。术中,患者左右脚的踇外翻得到有效的纠正。术后疼痛的症状明显减轻,术后一周便可以穿减压鞋下床走路了。


“踇外翻不能自愈,如果不干预治疗,外翻程度会日益加重。”柴亚胜说,如果不影响日常生活,可以选择保守的治疗方式,但是保守治疗只能暂时缓解疼痛,没有明显的矫形效果。一旦出现疼痛症状加重、保守治疗无效就要通过手术矫正。“矫正后,疼痛和畸形均可以消除。”柴亚胜强调,目前踇外翻畸形矫正技术已经非常成熟,手术时间短、出血少、恢复快,术后足功能改善明显,有助于生活质量的提高。
防止踇外翻加重有窍门
防止踇外翻加重,有四个小窍门,即:一少、二矮、三多、四练。
一少:尽量少穿尖头,尤其是前足被动挤压的鞋子;
二矮:鞋跟的高度最好2cm-4cm之间;
三多:日常生活中多穿平底鞋、休闲鞋,运动时穿运动鞋;
四练:多活动脚趾,尝试脚趾抓毛巾、抓玻璃球、赤足行走。
专家简介

柴亚胜
广东三九脑科医院骨科主任医师 、医学硕士。
现任中华医学会湖南骨科专业委员会委员、长沙市手外科骨科专业委员会副主任委员、长沙市工伤鉴定专家库专家、下乡扶贫专家组成员及国家执业医师考试考官。
1996年毕业于湖南医科大学临床医学系。2007年毕业于中南大学湘雅医学院骨科学硕士。从事微创骨科及修复重建等临床诊治工作二十余年。擅长:运用微创技术治疗各种腰椎间盘突出症、腰椎管狭窄症、颈椎病;复杂性脊柱脊髓损伤的治疗;严重骨关节毁损伤运用显微外科技术修复重建;周围神经慢性损伤的微创治疗;小切口人工髋膝关节置换手术;对各种复杂性四肢骨折的矫形修复有一整套的手术康复治疗方案。
参与《单侧多功能外固定支架的临床推广》、《踝关节镜的临床应用》等科研项目,先后国家级核心期刊发表了十余篇专业论文,参与多项药物及医用器械的临床试验。