一位38岁女性,患者1年前挤压乳房时发现双侧乳房均有溢乳,乳房表面无明显异常,未触及明显结节,无胀痛感,便未予重视。后逐渐出现月经失调,月经时间规律,量明显减少,每次持续2到3天,近3个月停经,经检查并未见怀孕迹象,来我院就诊。
这种现象其实在临床上并不少见,有乳房溢乳,而患者的孩子已经小学了,早就断奶多年。另外,出现了闭经,却又没有怀孕。说到这里,相信多数临床医生心里一定有自己的诊断了吧?没错,这些症状很像垂体泌乳素瘤引起的。
于是便开始查血,查垂体MRI,垂体位于头部,是人体最重要的内分泌腺,控制多种重要激素的分泌,如生长激素、促甲状腺激素、促性腺素、催产素、催乳素等,还能够贮藏下丘脑分泌的抗利尿激素。虽然位于颅内,但MRI扫描的方法跟头部扫描是不同的,因为垂体很小,而垂体瘤也可以很小,小于1cm的时候叫微腺瘤,需要用薄层和动态增强扫描,才能找到这个很隐蔽的小瘤子。
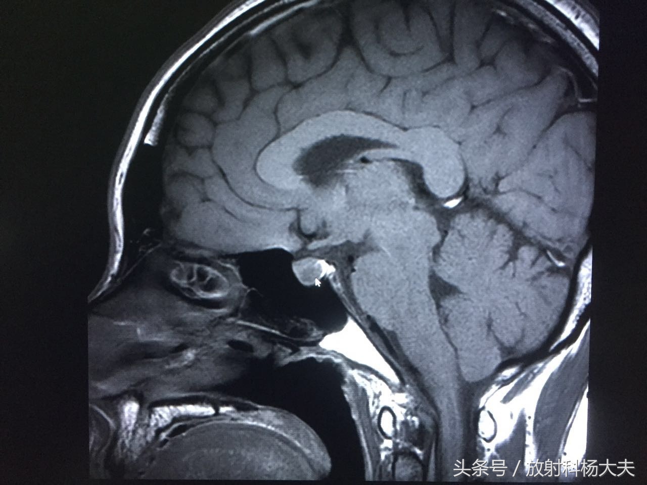
图像出来了,我们可看到垂体内的异常信号(短箭头所指地方),呈长T1混杂T2信号。

T2WI白箭所示为垂体,这个器官很小,但很重要

T1WI
动态增强扫描可见延迟强化,其延迟期扫描强化程度仍低于周围正常腺体。余垂体强化均匀。

箭头所示的为垂体的瘤子
查血结果也出来了,血清催乳素(PRL)升高。综合考虑该患者可符合垂体泌乳素瘤表现。泌乳素型垂体瘤是最常见的垂体瘤,多发于生育期妇女。该肿瘤虽属良性,但能高功能分泌催乳素,引起患者血清催乳素升高。高水平的催乳素可抑制下丘脑促性腺激素释放激素的合成与释放,因而促黄体生成激素与卵泡刺激素水平降低,无脉冲型分泌,卵泡发育障碍,影响卵巢甾体激素合成能力,导致雌、孕激素不足,因而患者出现月经稀少或闭经、不孕。对此类患者的治疗首先要降低PRL水平。泌乳素型垂体瘤的治疗,通常采用的方法有药物治疗(主要)、手术治疗、放射治疗。
因此,如果育龄期女性出现闭经、泌乳、月经紊乱,或者想要二胎却不孕,除了妇科问题,一定要记得还有垂体瘤可能。

需要提醒的是,男性也可以有垂体瘤,而且主要表现为性功能下降、阳萎,男性朋友在如狼似虎的年龄却出现这种情况,很多都不选择去医院看,而是找小广告看病,这非常危险,一定要去正规医院看病,无论是局部器官的问题,还是全身性疾病导致的问题,都可以对症下药。