
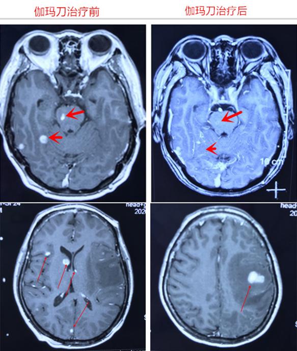
病例一:
患者53岁,女性,今年年初因右侧肢体活动不灵活3天入院治疗,胸部、上腹部CT平扫+增强提示:左肺下叶背段占位,肝右叶多枚片状病灶,倾向于转移瘤;头颅MRI平扫+增强提示:颅脑多发异常信号:考虑诊断:1.颅内多发转移瘤 2.肺癌 3.肝内转移瘤。
详细告知患者家属目前病情:病灶位于脑干,颅内多发,外科手术难以全切除,手术风险大,可能引起瘫痪昏迷,经过多科室会诊讨论,认为伽玛刀精确放射治疗颅内多发转移瘤效果更好。在征得患者及家属同意后,表示同意伽玛刀治疗,完善入院治疗前检查后,以左额、顶、颞叶、右侧基底节区、颞叶及脑干共6处病灶为本次治疗靶区,伽玛刀治疗后2月随访脑干病灶消失,其他病灶明显缩小。

病例二:
患者女性,44岁,脑膜瘤术后5年余复发,近两月头痛行头颅MRI检查提示:右侧小脑半球近小脑幕旁稍高信号影,大小1.6×1.7cm,边界清,与小脑幕以宽基地相贴,增强后明显强化,相邻小脑幕增厚、强化,考虑脑膜瘤术后复发。
患者及家属不愿意再次开颅手术,了解到伽玛刀治疗无外科手术风险、麻醉风险等,遂入我院伽玛刀诊疗中心,通过核磁共振增强扫描定位:明确以右侧小脑病灶为本次治疗靶区,治疗靶区病灶大小为:1.5×1.8×2.0cm,以50%等剂量曲线包绕靶区,治疗周边剂量1550cGy,中心剂量为3100cGy,治疗时间26分钟。术后1年随访发现肿瘤明显缩小。

病例三:
患者女性,36岁,因“左眼视力受损7年余,左侧额颞部血管周细胞瘤术后7年余肿瘤复发”入院治疗,考虑到患者不愿再次手术,并且肿瘤小于3cm,符合伽玛刀治疗指征,故在立体定位系统引导下进行头部伽玛刀治疗,确定治疗靶区大小为:2.7×1.8×2.1cm ,共治疗1个靶区,以50%等剂量曲线包绕靶区,治疗周边剂量1550cGy,中心剂量为3100cGy,治疗时间约17分钟。术后8个月随访发现肿瘤消失。
血管周细胞瘤是一种罕见的软组织肿瘤,来源于毛细血管壁外的周细胞,多为单发,中年者居多,无性别差异,好发于下肢、后腹膜和盆腔,也可发生在头颈部、躯干、上肢软组织、内脏及神经系统。本病误诊率较高,诊断主要依赖于组织病理学检查。

病例四:
患者女性,73岁,因延髓室管膜瘤入院治疗,肿瘤病变位于延髓环池,位置较深,考虑到患者年龄大,肿瘤与脑干粘连,手术风险大,致残及死亡率高,γ-刀治疗能有效控制消除肿瘤,遂选择伽玛刀治疗,γ-刀治疗后9年复查发现肿瘤明显缩小。

延髓是呼吸和循环中枢,这部分损伤可致呼吸、循环功能衰竭等生命危险,死亡率极高。颅底延髓肿瘤手术难度大,术中死亡率极高。
从以上病例中可以看出,要么是肿瘤的位置复杂,要么是手术风险太高不能完全切除,或是患者不愿外科开颅手术治疗,对于脑深部肿瘤,目前最多的治疗方式是:手术、化疗、放疗、分子靶向药物治疗单一或联合治疗,根据不同的肿瘤、不同的位置及分期,使用的治疗方式有所不同。
如果脑肿瘤位置特殊外科手术切除不完全,就需进一步放、化疗补充治疗,而大脑有血脑屏障,化疗药物很难到达肿瘤部位,放疗对于脑瘤近期效果明显,伽玛刀作为一种精确放射治疗,在神经外科中被广泛应用,适用于体积小于3cm、位置深(如脑干及颅底),手术风险较大的难以全部切除的病灶。还可用于复发肿瘤(胶质瘤、脑膜瘤及垂体瘤等)多发肿瘤的治疗。
伽玛刀并不是一把实质上的手术刀,而是一种钴-60发出的γ—射线,肉眼看不见,它通过立体定向治疗计划系统的精准定位,将高能量放射线聚焦在肿瘤病灶上,使病变部位的肿瘤细胞DNA变性、坏死,而不伤害脑部正常的组织,这就是头部伽玛刀的神奇之处。对于未治疗过的、残存或复发的肿瘤,尤其是位于颅底手术难度较大者,都具有伽玛刀治疗适应症,风险相对较小,治疗时间短、并发症少,能显著改善患者生存质量、延长生存期,保证了治疗的安全性,伽玛刀治疗后患者即可以正常生活。
温馨提示:伽玛刀的治疗范围具有一定的适应症,针对小范围病灶进行治疗,肿瘤较大,还是建议手术治疗,术后残余再行伽玛刀治疗;坚决拒绝开颅手术的患者,或者年龄大难以耐受手术又必须治疗控制肿瘤生长的患者也可以选择伽玛刀分次治疗。
#癌症的真相#