今天要跟大家分享一个冷知识:并不是所有开颅手术都要剃光头。清远一名24岁女子因为癫痫发作,查出颅内有“瘤”,但医生只剃去她耳旁一小撮头发、仅开一个约1.3cm的骨孔,就成功帮她手术、解除威胁。
1
突然晕倒,查出颅内有“瘤”
来自清远的小晴(化名)今年24岁,年初的时候顺利诞下一个健康的男宝宝,全家正沐浴在幸福的亲子生活之中。谁知天有不测风云,9月的一个午后时分,小晴毫无预兆地晕倒在家中,并且口吐白沫、四肢抽搐。小晴当时的样子吓坏了家人,于是赶忙将她送往了当地医院。
经过一番检查,外院医生告诉家属,小晴的脑袋里有一个肿瘤,因为肿瘤急性出血,才诱发了癫痫,导致小晴晕倒、抽搐。这个消息犹如晴天霹雳让全家人都紧张不安,小晴初为人母,二十出头的年纪还没来得及好好体味生活的酸甜苦辣,家人都担心小晴知道后会一蹶不振。
经过慎重考虑和一番打听后,小晴的家人找到了广东三九脑科医院神经外九科主任穆林森。
穆林森在仔细看过小晴的影像资料后,初步判断她所患的“肿瘤”其实并非真正的肿瘤,而极可能是一种良性的血管性疾病,学名叫做“海绵状血管畸形或者海绵状血管瘤”。通过手术治疗可以治愈,并且有机会根除癫痫。在听到穆林森的讲解后,小晴的家人才安心不少。
2
不剃光头,仅开约1.3厘米的骨孔实施手术
入院后,穆林森为患者安排了脑电图和磁共振检查。检查结果均提示是海绵状血管畸形。但是患者仍担心开颅手术会造成种种不适,也舍不得剃光一头秀发。穆林森了解到患者的顾虑后,耐心解释道:“手术只需要剃去鬓角两指宽的头发即可,同时手术骨孔也不到1.5cm,不会影响术后的美观,如果手术顺利,可以很快回归正常生活。”

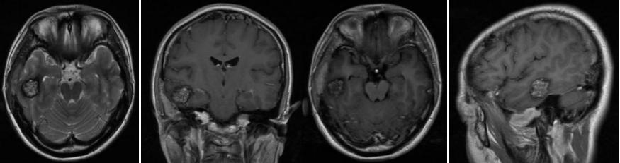
头部MRI示:右侧颞叶占位性病变合并出血改变
在医务人员耐心的疏导和讲解下,患者对于手术也渐渐减少了抵触,同意接受手术治疗。
完善相关检查,穆林森采用神经内镜技术,从大小约1.3cm的骨孔成功为患者摘除了如鹌鹑蛋大小的海绵状血管瘤,同时将因出血引起的变性脑组织一并切除。


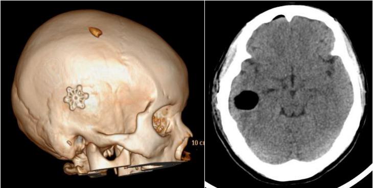
术后CT见:病变完全切除,骨孔仅一枚连接片即可完全覆盖
术后,小晴很快便清醒过来,发现自己能说能动,之前担心的问题都没有发生,摸着自己“死里逃生”的一头秀发,开心地对医护团队道谢。第二天,小晴便顺利下床活动,第三天就顺利出院了。
穆林森介绍:海绵状血管畸形俗称海绵状血管瘤,是一种静脉畸形,好发于头面颈部,也可以出现在四肢、躯干及内脏器官。大多为先天性,后天可因发育、年龄、基础疾病等原因造成增大或出血。对于颅内海绵状血管畸形,如未出现出血或占位效应,则可以通过保守观察治疗。但如果出现反复出血或引起癫痫等症状时,则可以手术切除。对于绝大部分颅内海绵状血管畸形,手术治疗均可以治愈。
随着神经内镜技术的发展,对于包括海绵状血管瘤在内的许多疾病,亦可以通过微创的方法进行治疗。该病例采用的微骨孔“burr hole”技术,手术只需小面积剃头,术中骨孔仅需一梅花连接片即可完全覆盖,不影响患者美观的同时,还能更大程度地减少创伤,有利于患者康复,早日回归正常工作、生活。