在股骨头坏死之后
医生会要求患者拄拐保护股骨头
广东省名中医、我院首席教授何伟和大家聊聊
股骨头坏死疼痛后,为什么医生要求严格保护?能否在家不用拐?能否只用单拐?我已经不痛了,拐杖可以不用吗?是不是只要拄拐,股骨头就不会塌陷?拐杖需要持续用多长时间?以上种种问题几乎每个股骨头坏死患者都问过,那么,患者阿依(化名)的故事能够给你一些思考
保护股骨头最简单、最实用、最经济的方法:拄双拐
阿依,是一位29岁的年轻女性,2021年1月因为持续发烧不退前往当地医院就诊,确诊为“免疫性脑炎”,予以静脉及口服糖皮质激素、免疫*制剂抑**治疗,直到2021年10月停用激素,2022年2月停止使用免疫*制剂抑**。
在这期间,2022年初突然出现右髋部疼痛,便前往医院检查,发现“双侧股骨头坏死”,经过多方打听,了解何伟教授是这方面的专家,便预约何伟教授门诊,何伟教授详细询问阿依的病史、作临床检查,结合影像资料,确诊为“双侧股骨头坏死”,右侧已经发生塌陷(三期),左侧虽然未发现塌陷,但坏死范围大,且近2天已发生疼痛,塌陷风险极高。针对阿依的情况,何伟教授建议右侧接受保髋手术,左侧暂时采取保守治疗,并嘱阿依手术后下地行走时需要拄双拐,保护尚未修复的右侧股骨头与高塌陷风险的左侧股骨头。
2022年3月22日,阿依右侧保髋手术顺利进行,术后恢复良好,但在术后5个月复查时,阿依主诉左髋疼痛加重,X片显示股骨头轻微塌陷,MR检查左股骨近端明显骨髓水肿。有了右侧股骨头保髋手术的体验,阿依主动提出,左侧也接受保髋手术。8月12日为阿依的左侧进行了保髋手术,术中打开关节后,却有了意外的收获。

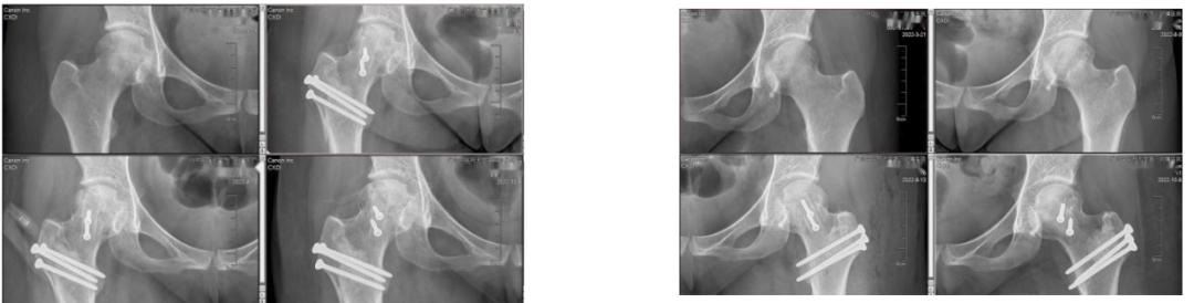
图为双侧股骨头坏死治疗前后对比图,可见双侧股骨头坏死塌陷控制、坏死修复

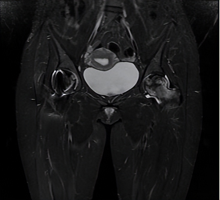
图为左侧疼痛5月后磁共振,可见左侧股骨近端明显水肿

图1:右侧股骨头,图2:左侧股骨头。左侧股骨头疼痛(塌陷发生)时间较右侧长,但由于疼痛后给予了很好的保护(行走时拄拐),左侧股骨头软骨比右侧要好。
左侧股骨头虽然已经发生轻微塌陷,但股骨头软骨与右侧相比,无论是色泽、弹性、完整性明显好于右侧。根据我们以往的经验,疼痛时间越长、软骨损害越重,但由于左侧疼痛后进行了严格保护,虽然疼痛到接受手术的时间比右侧长,但股骨头软骨损害反而比右侧要轻,无疑是阿依按照医生的要求、下地行走时严格拄拐得到的回报。良好的软骨状态对于确保保髋疗效至关重要,从术后的复查看,阿依的已发生塌陷的双侧股骨头坏死经过保髋手术,坏死得到修复,避免了关节置换,并有望在一年内恢复正常行走。
阿依的情况说明,对于一个已经发生疼痛的患者来说,有效保护股骨头,不仅降低了塌陷风险、减轻塌陷程度,而且减少了股骨头软骨的损伤,为保髋赢得时间与机会,提高保髋疗效。而保护股骨头,最简单、最实用、最经济的方法,无疑就是拄双拐。
何教授有话说
股骨头软骨是覆盖在股骨头表面的白色、具有弹性的组织。何伟指出,软骨对于维持关节的正常功能十分重要,成年人的关节软骨一旦受到严重损害,修复能力非常有限。股骨头坏死自疼痛开始,软骨就受到异常应力的伤害,而塌陷后软骨的进行性损害是不可避免的,表现为水分减少、弹性下降、皱褶、变薄、硬化、破裂、毁损等,之所以股骨头坏死塌陷晚期主张关节置换,正是由于软骨的严重退变失去保髋条件所致。因此,疼痛后保护股骨头,不仅是为了减轻疼痛,更重要的是避免塌陷、减轻塌陷程度、保护软骨,为保髋赢得时间与机会。
何伟教授建议股骨头坏死患者应该按照医生的建议坚持拄拐,莫要为了“面子”丢了“底子”。拄拐虽然是一件对于生活、工作很不便利的事情,部分患者心理上也可能难以接受,但是对于有塌陷风险的股骨头坏死病友来讲,拄拐是最简单、最实用、最经济的保护方式,尽管拄拐不一定能预防塌陷的发生,但不拄拐将大大增加股骨头塌陷风险与程度,为了保留自身的髋关节与自身的健康,克服一时的不方便,能够换来延缓股骨头结构损害,同时何伟教授团队为减少对病友生活、工作的影响,也会努力将拄拐时间尽可能缩短。
科室介绍
骨一科(关节中心关节科)
广州中医药大学第三附属医院关节中心是国家级重点学科“中医骨伤科学”重要组成部分,是国家中医药管理局与广东省中医重点专科,是广州中医药大学髋关节研究中心、广东省中医骨伤研究院依托的临床科室,包含关节科和运动医学科两个专业,是国内开展关节手术数量最多、治疗手段最丰富的科室之一。 诊疗范围
成人及儿童骨坏死、骨关节先后天畸形、退行性骨关节炎、类风湿性关节炎与强直性脊柱炎累及四肢关节、骨关节感染、骨与软组织肿瘤、中青年股骨颈骨折、四肢各大关节(肩、肘、腕、髋、膝、踝)软骨、韧带、半月板、关节盂唇、肩袖等运动损伤等。
特*医色**疗优势
○ 以股骨头坏死为主的髋关节疾病保髋诊治。 关节中心拥有30余年、数万例的临床经验,形成了系统的、具有创新性的预防、早期和准确诊断、以中医药为主的综合保守治疗、保留自身髋关节的保髋手术治疗的综合防治体系,显著提高临床疗效,在保髋研究领域一直处于国内引领的地位,在国内外享有极高声誉,使年轻患者得以避免或大大延缓施行人工关节置换手术。
○ 膝关节骨性关节炎阶梯治疗。 针对膝关节骨性关节炎不同部位、不同程度的损害,关节中心阶梯式采用中医药为主的单纯药物治疗、综合保守治疗、关节镜微创手术治疗、改变关节负重力线(部位)的截骨手术治疗、部分关节置换手术到全膝关节表面置换手术治疗,为膝关节骨性关节炎提供了更加全面、精准的治疗手段,提高了临床疗效。
○ 是国内最早开展人工关节置换手术的单位之一。 近年来,关节中心开展关节置换手术量居省内前列。科室近年也积极推广应用快速康复外科理念,加强无痛病房建设,同时将中医“整体观念”与之结合,采用中西医结合方法,使患者在手术后局部与全身功能得以同步、快速康复,同时降低感染、深部静脉血栓形成等并发症的发生率。
○ 关节镜微创手术。 关节中心开展关节镜微创手术已十余年,广泛用于肩关节、髋关节、膝关节及踝关节等部位的运动损伤和疾病治疗,年均手术量逐年增长。关节中心已经广泛开展关节镜下膝关节多发韧带损伤一期重建、肩关节巨大肩袖损伤组织瓣移植修补、肩关节习惯性脱位Latjet手术、髋关节盂唇修补及骨赘清除等高难度手术。关节镜微创手术大大减少了手术创伤,局部更加美观,加快了术后的康复进程,疗效更加满意。
专家介绍

何伟 教授(二级),广州中医药大学第三附属医院主任中医师, 博士研究生导师、博士后合作导师、广东省名中医
2020年加入广州中医药大学第三附属医院,现任广东省中医骨伤研究院首席教授、广州中医药大学髋关节研究中心主任、国家重点学科(中医骨伤科学)带头人。
主要社会兼职:中国中西医结合学会骨伤科分会骨坏死专家委员会主任委员、国际骨循环硏究会(ARCO)中国区副主席、全国股骨头坏死保髋联盟理事长等。
从事骨科临床、科研、教学工作30余年,专注于股骨头坏死的基础和临床研究,创新提出股骨头坏死“围塌陷期”新概念、诊断标准,提高了股骨头坏死诊断水平,并在此基础上创立系列中西医结合保髋新技术,显著提高了股骨头坏死保髋疗效,达到国内领先、国际先进水平。开展人工髋关节置换数量居国内前列,尤其擅长复杂初次人工髋关节置换与髋关节翻修。
先后获得省部级以上科技进步奖6项,主持包括国家自然基金在内的省部级以上科研课题9项;
出诊信息
总院 : 周二下午
总院地址:广州市荔湾区龙溪大道261号
供稿:左国璟 | 初审:何伟
排版编辑(实习生):林于琳
排版编辑:叶美琪 | 校对编辑:李龙浩
审核:王剑 | 审定发布:范琳燕