好多患者蛀牙疼到受不了,牙齿差不多烂了一半,直接上来就想让医生补掉蛀牙,但是医生说这种情况已经补不了,难道眼睁睁看着蛀牙被拔掉吗?为什么就不能补牙,这背后隐藏什么巨大隐患?

之所以不能补牙有两方面:
一是蛀牙出现疼痛,说明牙髓受细菌感染,可能已经引起牙髓炎,这时得进行根管治疗;
二是蛀牙面积过大,复合树脂补牙往往没效果,补完没多久容易掉。
三是蛀牙引起牙根发炎,牙龈上还会长脓包,医生会拍片检查症状。

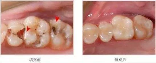
1、那蛀牙到什么程度才能补牙,怎么肉眼辨别?
通常蛀牙有三种阶段,各位对号入座:
第一阶段:牙齿咬合面有黑线,大牙一般最常见,说明开始蛀牙了,牙釉质被细菌龋坏,但不痛不痒,会出现窝沟龋得及时补牙,而不是去洗牙;
第二阶段:牙齿出现小黑洞,说明引起中度蛀牙,细菌腐蚀来到牙本质,伴随着牙齿敏感,黑色腐败物质其实就是细菌的产物,这时候还可以再补牙;
第三阶段:牙齿超过一半烂掉,说明已经重度蛀牙,细菌伤及牙髓牙神经,还伴随着剧烈疼痛,牙神经病变这时得根管治疗处理,挽救伤痕累累的牙齿。

2、如果轻度蛀牙想去补牙,哪种材料性价比高?
目前这两种普遍用得多,根据你的蛀牙情况进行选择:
玻璃离子,生物相容性较好的充填材料,与牙体组织有更好的粘接性,保护牙髓的同时还能释放氟化物,预防再次蛀牙,小朋友乳牙被蛀坏,这种材料补牙比较合适。

复合树脂,接近牙齿颜色的填充材料,粘接性还不错,特别耐磨抗腐蚀,关键补牙后还看不出有补过痕迹,大人和小朋友都可以使用。

补完牙齿并不代表就能一劳永逸,没有好好保养牙齿,一年内也是会再次脱落,真的伤不起!
小洞不补,大洞吃苦
俗话说:小洞不补,大洞吃苦。蛀牙是牙齿健康的天敌,很多人从孩童时期就开始蛀牙,蛀牙不仅会导致牙齿疼痛而且长期蛀牙会龋坏牙齿,由浅入深的龋坏,牙齿里形成深深的牙洞,而此时只有及时的补牙才能防止蛀牙的进一步发展。因此小编提醒:补牙一定要趁早。


补牙为什么要趁早
如果患了蛀牙(龋病)就应尽可能地早修补,因为龋洞经过修补后可以阻止龋病病变的发展,及早恢复牙齿的功能,保持牙列的完整。
若不进行及时治疗,病变就会越来越大,从浅龋发展到深龋,对冷热酸甜等食物刺激敏感;当损伤到达牙髓,引起牙髓炎,此时牙痛会十分严重;当病变再进一步发展,会引起根尖炎、根尖周脓肿,甚至颌骨骨髓炎,牙齿脱落缺失。牙齿的龋坏、缺失,会影响咀嚼,加重胃肠负担,进而影响身体健康。

补牙不及时会有什么严重后果
1、牙齿本身没有自我修复功能,当牙齿由于牙病或外伤造成缺损之后,只有进行补牙!

2、牙齿受损后,如果没有及时补牙,会造成牙髓腔外露,诱发牙髓疾病。补牙能防止病变的继续发展,重建患牙健康,防止牙髓炎、根尖周疾病的发生。

3、当牙齿龋坏后,及早补牙的好处,患者会出现自发性、阵发性疼痛,患牙遇到冷热刺激时会异常敏感,严重影响患者的日常生活和饮食,而补牙能够终止龋病的进一步发展,消除龋齿导致的疼痛症状,解除患者的痛苦。

4、牙齿形态、色泽将直接影响面部的美观,尤其是前牙缺损,补牙能恢复牙齿的自然形态和美观,消除人们的因缺牙造成的自卑心理。

5、经过补牙治疗后的牙齿,都能完好的保存下来,防止牙齿的过早脱落,维持牙列的完整性,避免拔牙也就不用镶牙,为患者节省下不少费用。

补牙的好处在哪里
1、补牙能有效防止蛀牙病变的继续发展,解除蛀牙导致的各种牙周疾病的痛苦,并且能避免牙齿脱落;

2、补牙能有效恢复牙齿的咀嚼功能。蛀牙引发牙痛、牙龈发炎、食物塞牙,严重影响了牙齿的咀嚼功能,及时补牙能有效保护牙齿,避免牙齿的脱落。

3、恢复牙齿的自然形态。牙齿的色泽、形态直接影响面部的美观,尤其是前牙的形态对人的心理、情绪有至关重要的作用。

补牙后要注意什么
1. 树脂补牙后的当天,不可刷牙,以防触碰引起补牙材料的脱落。

2. 补牙材料的凝固需要一定的时间,因此补牙后2小时内应忌食,2小时后,可适当吃些清淡、温和的流食及半流食;如牛奶、面包、粥及汤类。
3. 补牙后的牙体,其咀嚼功能较真牙差,因此补牙后应注意口腔的防护,切不可咬过硬的食物。

4. 若龋洞较大,补牙后,牙体修复后往往由于牙体在咀嚼时易发生牙折,为此,这类牙齿补牙后应根据医师的建议及时做牙冠给予保护。

5. 补牙后如有轻微的疼痛及不适是正常的,过一段时间方可适应,而如果补牙后疼痛非但不减轻,反而进一步加重,则应及时让主治医师进行进一步的调整修复。

最后,雅悦齿科小编提醒大家,在日常生活中要注意口腔卫生,早晚刷牙,同时,应该定期看牙医,进行口腔检查和洁牙,及时去除牙菌斑和牙结石,减少牙菌斑和结石对牙齿的伤害。
如果觉得这篇文章不错,就请收藏或分享给好友吧。添加雅悦齿科为好友,学习更多爱牙护齿科学方法。公众号:yyck2001