平时写腹部CT或MR报告的时候,不知道到家有没有遇到过这种情况:
总感觉这个肝脏怪怪的,但又说不出来到底是哪个地方有问题。
如果你也有类似的感觉,那证明你离成功已经不远了。
事实上,这种怪异的感觉往往是由肝脏弥漫性病变导致的,由于弥漫性的异常改变会导致正常参照物丢失,因此诊断起来比较困难,尤其是对那些还不太熟悉正常组织形态、大小、密度/信号的朋友而言。
今天借这个机会,简单聊一聊肝脏弥漫性疾病的影像学特点。

1.脂肪肝
脂肪肝是由于甘油三酯在肝细胞内贮积过多造成的,相关研究表明,每1g肝实质内甘油三酯增加1mg,肝脏密度就会减低约1.6HU,但CT扫描单纯依靠密度变化无法准确判断脂肪肝。
MR中的同反相位或DIXON技术则能有效判断脂肪肝的存在,并可量化脂肪肝的程度。

年轻女性,重度脂肪肝患者,平时喜食甜食及奶茶。
CT平扫上可见肝实质密度弥漫性减低,低于同层面脾实质密度(黄箭),肝内血管呈相对高密度影(红箭)。

同一患者的MR平扫图像,T1WI反相位肝实质信号较同相位明显减低,提示重度脂肪肝(反相位图带有勾边效应)。
2.肝内铁沉积
肝内铁沉积(又称铁过载)在平时工作中也经常遇到,引起肝内铁沉积的原因很多:遗传性血色病、铁负荷性贫血、长期血液透析、多次输血、慢性肝病等。临床上需要重点排除遗传性血色病(常染色体隐性遗传病),因为遗传性血色病如果不能早期诊断和治疗,将导致肝硬化甚至肝癌等严重并发症。遗传性血色病患者的铁质多沉积于肝脏、胰腺和心肌肉,而其它原因导致的铁过载铁质多沉积于肝脏、脾脏。因此在MR抑脂T2WI图像上,当患者肝脏信号均明显减低而脾脏信号相对正常时,可提示遗传性血色病。

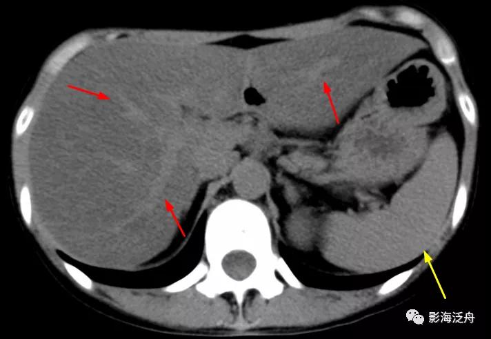
老年男性患者,因重度贫血就诊。
CT平扫上可见肝实质密度弥漫性增高,且明显高于同层面脾实质密度(黄箭),肝内血管呈较为明显的低密度改变(绿箭)。肝实质CT值75HU、脾实质CT值50HU。
同时需要注意的是肝实质密度增高≠肝内铁沉积,肝实质密度增高还见于结节病、Wilson病以及服用胺碘酮、甲氨蝶呤药物的患者。通常而言,肝实质密度在45~65HU之间,一般CT值大于或接近75HU可提示肝实质密度异常增高。

同一患者的MR平扫图像,T1WI同相位肝、脾实质信号较反相位明显减低,提示肝、脾铁沉积。

将铁沉积与脂肪肝的同反相位T1WI图像放在一起对比观察,可以看出两者的信号变化正好相反。
造成这种现象的原因是由于铁属于顺磁性物质,脏器内过多的铁沉积会缩短该脏器组织的T1和T2弛豫时间,T1弛豫时间的缩短会导致该脏器在T1WI序列上呈现高信号,而T2弛豫时间的缩短则会在T2WI序列上呈现明显低信号。

同一患者的T2WI抑脂序列图像,肝实质信号显著减低(红箭),同层面脾实质信号亦明显减低(黄箭),注意椎体及附件的信号也有明显减低(绿箭)。

将该患者与正常人的T2WI抑脂图像放在一起对比观察,用以加深印象。注意观察肝实质、脾实质、椎体及附件的信号变化。

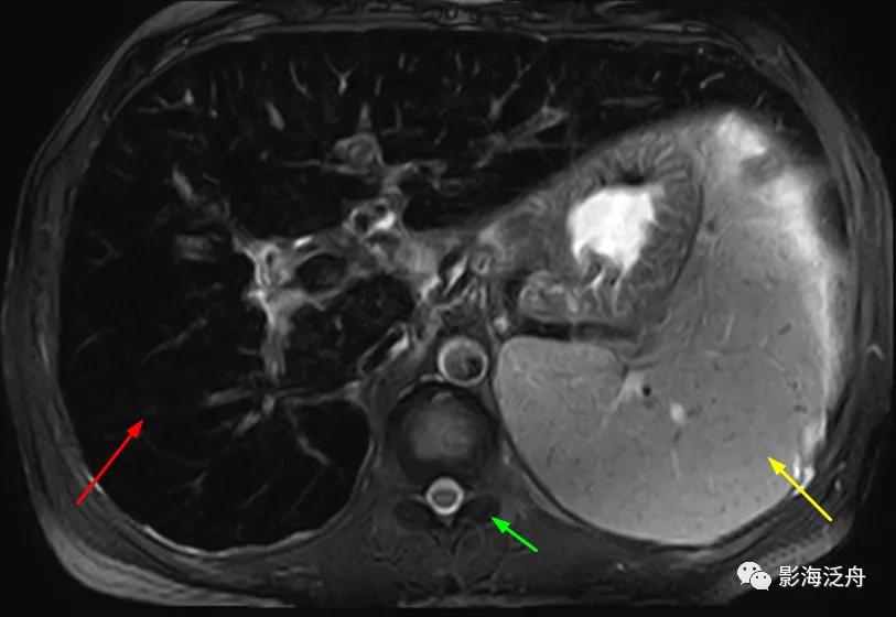
遗传性血色病患者,肝实质(红箭)及椎体(绿箭)信号在T2WI抑脂序列上明显减低,而脾脏信号未明显减低(黄箭)。
注意该患者的肝脏体积略缩小,肝缘欠光整,肝裂增宽,脾大,已经出现比较明显的肝硬化倾向。
3.肝损伤
肝损伤是各种原因引起肝功能受损的病理改变的统称,包括各类原因导致的急性肝炎、急性肝中毒等,比较常见的原因包括:药物性肝中毒、酒精性肝炎、淤胆型肝炎等。
急性肝炎在影像学上无法直接诊断。但肝炎导致的肝损伤征象是可以通过MR图像观察到的。不过肝损伤的影像特征并不明显,漏诊率很高。

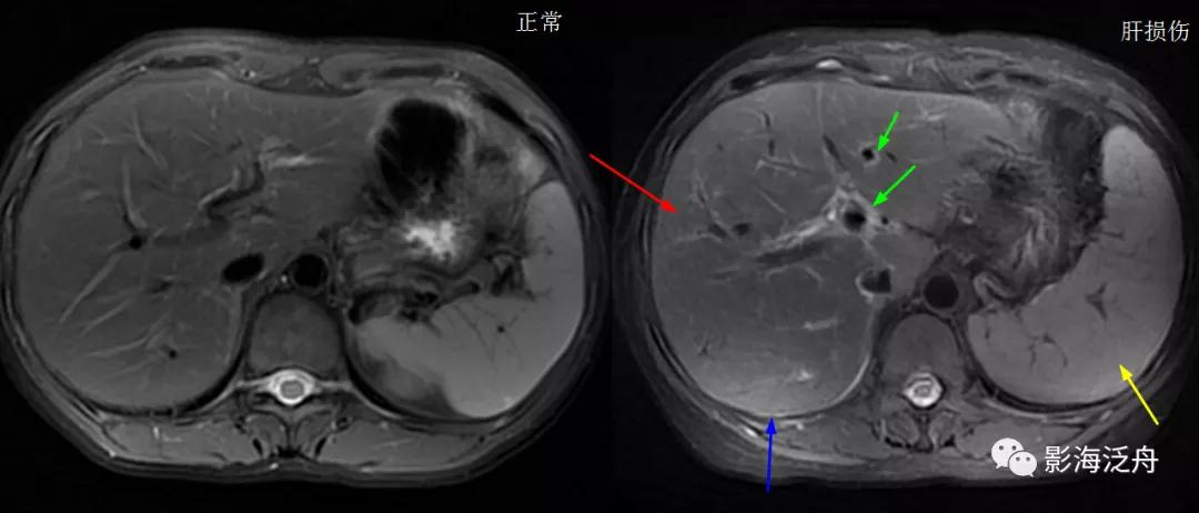
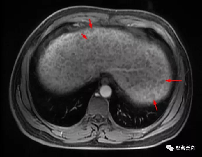
中年女性患者,皮肤黄染、瘙痒一月余前来就诊。能从这幅图像上发现什么问题吗?

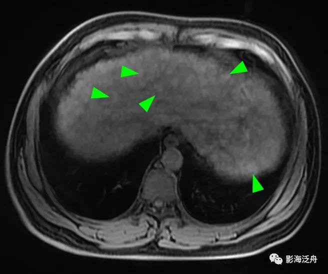
将正常人与该患者的T2WI抑脂序列放在一起对比观察。在抑脂较均匀的区域,可以发现该患者肝实质的T2WI信号轻度增高(红箭),门静脉周围的胆管间隙增宽(绿箭),肝周间隙缩小(蓝箭)提示肝脏肿大,脾大(黄箭)。
上图特征不甚明显,需要反复对比观察。

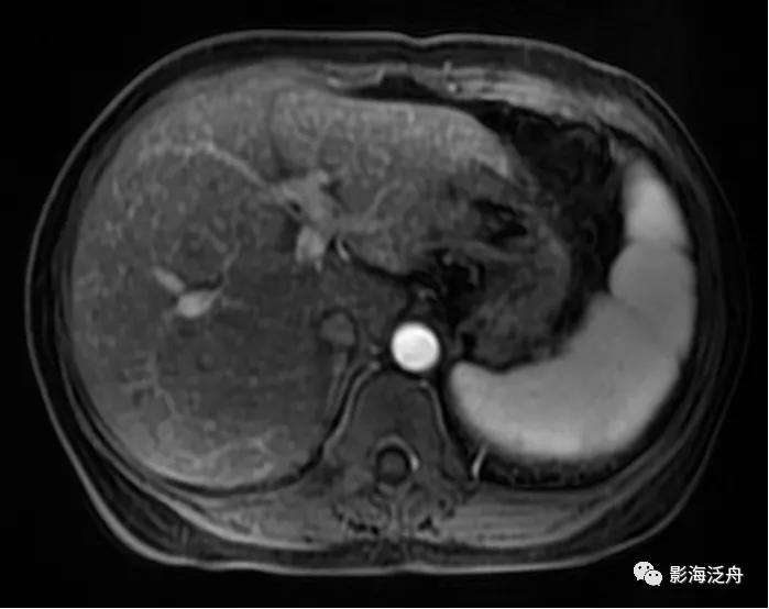
增强动脉期,患者肝实质呈弥漫性斑点状强化(类似于粟粒型肺结核),这种强化方式可能与动脉及门脉的细小分支异常分流及部分肝组织灌注不良有关。门脉期及静脉期患者肝实质呈较均匀强化(未给出图像),提示病程相对可逆。

与正常人对比可以更好地观察上述图像特征,注意肝损伤患者的肝脏强化程度整体较低(以脾脏强化程度作为参照,两幅图像的强化时间大致相仿),但平衡期强化程度并无异常减低(未给出图像)。
4.肝硬化


一例比较典型的肝硬化病例:T1WI上呈均匀稍高信号的再生结节(绿箭头)遍布全肝,再生结节在T2WI上呈明显低信号,这种低信号也是由于铁质沉积造成的,再生结节周围的纤维分隔因炎症浸润而呈高信号(红箭头)。

增强延时期,富纤维的肝组织呈较明显强化,而再生结节在纤维化背景肝实质的衬托下呈相对低信号(红箭标注几个较典型的再生结节)。
5.弥漫型肝癌

弥漫型肝癌,由无数个1cm以下的小结节遍布全肝,部分区域呈融合改变(看起来结节比较大),增强动脉期诸病灶呈明显强化,门脉期造影剂廓清,呈典型的“快进快出”强化。
6.弥漫性肝转移瘤


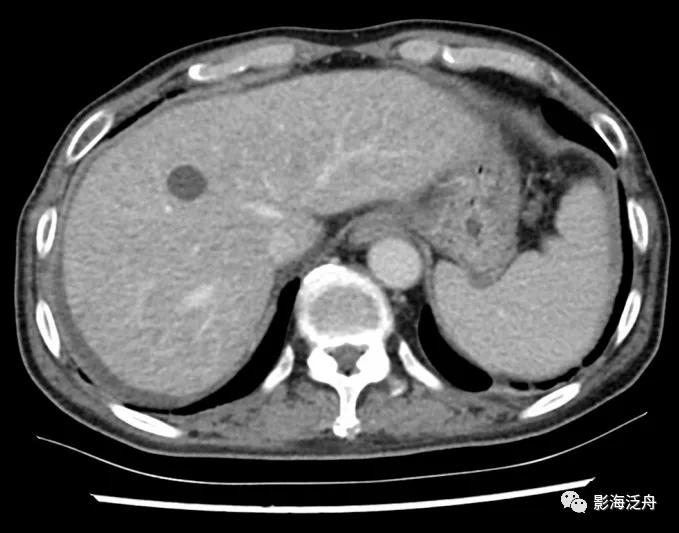
胰腺癌术后3月复查,肝周少量积液,增强门脉期肝实质密度略欠均匀,隐约可见许多细小斑点状低密度影。


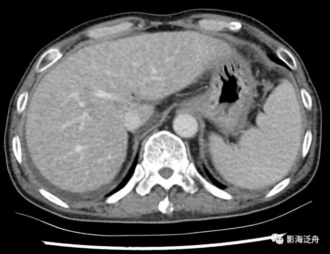
同一患者,又过了3个月复查,可以比较清楚地观察到肝内有很多异常强化灶,边界不清,表明肝脏已经出现弥漫性转移。如果能够提高意识,在第一次复查时就给出异常提示或进一步检查,或许能。。。


另一例乳腺癌导致的肝脏弥漫性转移病例。
7.肝窦阻塞性病变
在不抑脂T2WI序列上可见肝实质弥漫性增大,信号相对均匀,增强延时期肝右叶强化程度明显减低,余肝实质强化不均匀,提示肝脏血管源性病变。肝脏营养血管(动脉、门脉)内的血液注入肝血窦以后,经肝小静脉收集并汇入较大的肝静脉分支,最后经下腔静脉流入右心房。临床上常见于服用有毒药物导致肝窦或肝小静脉内皮细胞损伤和闭塞,肝脏因淤血而肿大,同时伴有不规则的肝组织坏死(表现为无强化区域)。
小结
相较于肝硬化以及肝脏肿瘤,脂肪肝、肝内铁沉积以及肝损伤在平时工作中可能会更常遇到,但也很容易漏诊。因为大多数低年资诊断医生往往会过度关注肿瘤性病变,而对肝损伤、遗传性血色病这类“无关紧要”的病变不怎么去了解,但如果一份影像报告单能够及时、准确地提示肝损伤或遗传性血色病,那么临床就可以更早地开展针对性的检查,而不至于使疾病发展到不可逆的境地。虽说影像科诊断医生只是个没有处方权的“技术员”,但努努力,说不定咱也能做到“治未病”的高度。
来源:影海泛舟
【版权声明】本平台属公益学习平台,转载系出于传递更多学习信息之目的,且已标明作者和出处,如不希望被传播的老师可与我们联系删除