春暖花开,万物生长,寄生虫也疯狂生长起来了,请别忽视这个问题。如果你周围的儿童有肛门及会阴部瘙痒,烦躁不安,夜惊,失眠,夜间磨牙等症状,请尽快来医院就诊,并做寄生虫学检查。
蛲虫又称蠕形住肠线虫,主要寄生于人体回盲部。人群感染率儿童高于成人,以幼儿园和托儿所学龄前儿童的感染率为最高。蛲虫雌虫具有在夜间爬行到宿主肛处产卵的特性,而引起肛周或会阴部皮肤炎症、搔痒等表现,严重影响着儿童的身心健康。

诊断蛲虫病常采用透明胶纸拭子法或棉签拭子法,于清晨解便前或洗澡前检查肛周,也可在粪便中或夜间在肛门周围检获成虫,做出诊断。
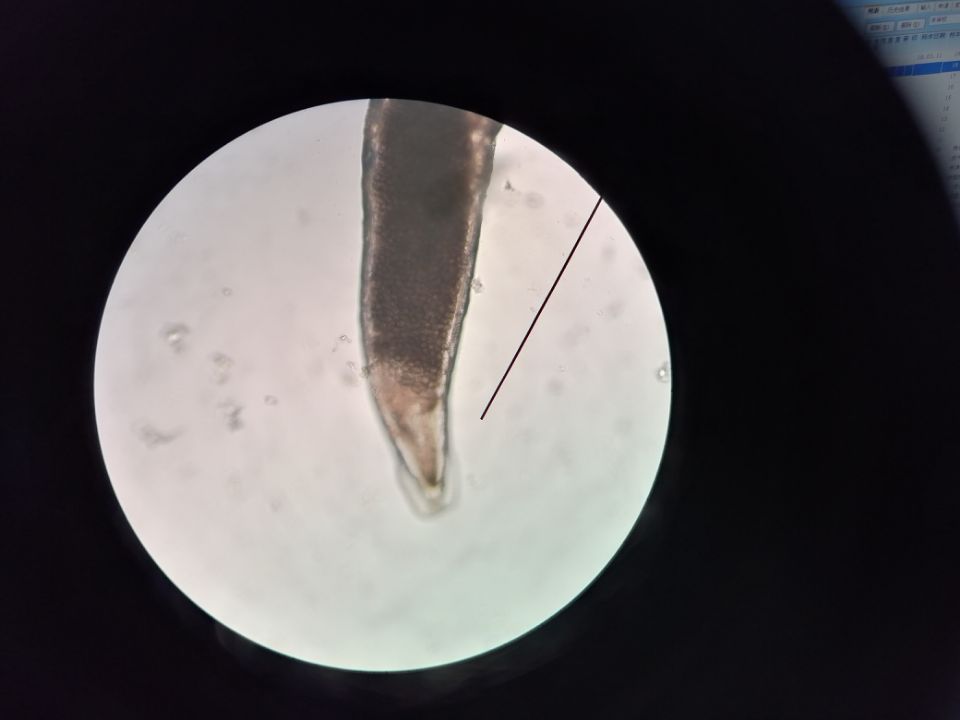
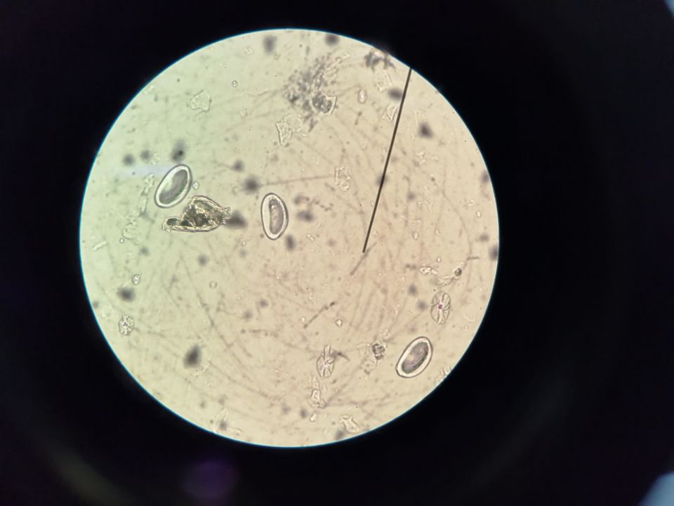
蛲虫成虫呈乳白色,雄虫较雌虫小;.雌虫长8~ 13 mm:宽0.3~0.5mm,虫体中部较膨大,略呈长纺锤形。尾端直面尖细。如下图(左一)为棉拭子在肛周检获的成虫,长约10mm,肉眼可见:蛲虫卵呈不对称椭圆形,一侧较平,一侧稍凸,无色透明,卵壳较厚。下图为10×40倍镜下所见。

高倍显微镜的蛲虫
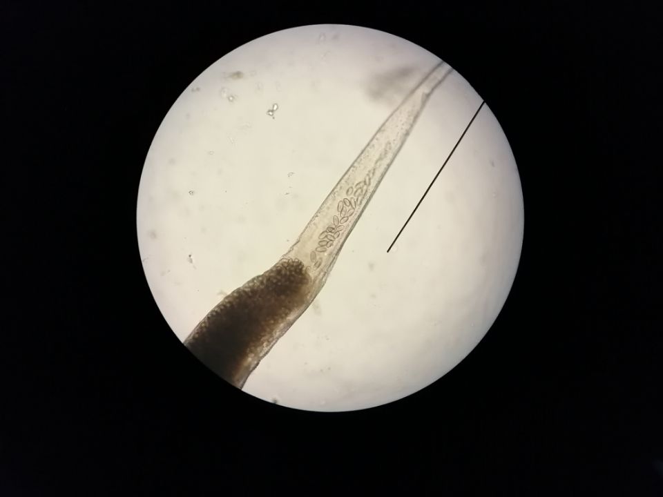
蛲虫雌虫繁殖力惊人,此虫体内满是虫卵,成千上万枚。如下图左一和右一,分别是10×10倍镜下的虫体头部和尾部。


纤维镜下蛲虫尾部
蛲虫病“易治难防”。成虫寿命较短,对驱虫药物较敏感,但该虫具有虫卵发育和传播速度快的特点。蛲虫的主要传播方式有:
①肛门-手-口直接感染:感染期虫卵对外界抵抗力强,蛲虫卵在患者指甲垢内或皮肤上可活10天,吸吮手指或用不洁的手取食,均可将虫卵带入口中,使得患者反复受感染;
②间接接触感染和吸入感染:据调查患者衣裤、被褥、室内家具和地面上,均可查见虫卵。虫卵还可随尘埃在空中飞扬,因而食入附在污染物上、或吸入尘土中的虫卵,均可造成感染;
③逆行感染:少数雌虫在肛门产卵后可逆行至肠道。
防治本病应采用驱虫治疗和预防感染相结合的办法。
开展健康教育,讲究公共卫生、个人卫生和家庭卫生(包括纠正儿童吸吮手指习惯、勤剪指甲、饭前便后洗手和不穿开档裤睡觉的习惯),定期烫洗被褥和清洗玩具的预防措施(用0.5%碘液涂擦5分钟以上或用0.05%碘液浸泡玩具1小时以上,均可杀死蛲虫卵),是防止再感染的关键。
#清风计划# #健康科普#