
作者/周娟 邵鸣 邵岩 肖玉珍 山西省永济肝胆胃病专科医院
导 读
黄疸是血清中胆红素升高引起皮肤、黏膜、巩膜发黄的症状和体征,多见于溶血性、肝细胞性、胆汁淤积性、先天性非溶血性黄疸;肝细胞性与胆汁淤积性黄疸鉴别有一定的困难,胆红素升高的类型与血清酶学改变的分析最为关键,ALT、AST反映肝细胞损害的严重程度,ALP、GGT反映胆管阻塞,但两者亦有重叠或缺乏明确界限,其他血清学试验、影像学检查、肝穿刺活组织检查有助于诊断。今天让我们跟随笔者这个反复黄疸、转氨酶升高的患者一探究竟。

病例资料
患者女,53岁,主因“肝功能异常11月余”于2018-03-13入院。
现 病 史 :
2017年4月无明显原因出现尿黄、目黄,在家未予重视;2017年5月无明显诱因出现恶心、厌油腻,就诊于当地市人民医院查出肝功能异常(具体数值不详),后又于当地市中心医院消化内科行肝功能检查:TB:114.2µmol/L,DB:102.9µmol/L,IB:11.3 µmol/L,ALT:427U/L,AST:433U/L,GGT:729U/L;自身免疫性肝病抗体:阴性。
给予异甘草酸镁、还原型谷胱甘肽、门冬氨酸鸟氨酸治疗一周,复查肝功能示:TB:127.4µmol/L,DB:103.2µmol/L,ALT:264U/L,AST:207U/L,ALP:173U/L,GGT:734U/L。
随后于某传染病医院住院治疗,住院期间检查示:抗平滑肌抗体:140.95unit,抗线粒体抗体:76.80unit;AFP:32.297 IU/ml。腹部彩超示:肝纤维化、脾大;胰腺双肾及腹腔未见明显异常。腹部增强CT示:1.肝左叶小囊肿;2.胆囊切除术后改变;3.脾大。诊断为原发性胆汁性肝硬化,给予保肝液输注、口服胆宁片(5片,3次/天、口服)、牛磺熊去氧胆酸胶囊(250mg、3次/天)治疗一月,出院时复查肝功能:TB:35µmol/L,ALT:75U/L;出院后服用肝爽颗粒、水飞蓟宾、胆宁片、牛磺熊去氧胆酸片等药物治疗。
2017-06-14
因“乏力、肝区不适”于当地医院复查肝功能:TB:60.5µmol/L,DB:34.9µmol/L,ALT:175U/L,AST:197U/L,GGT:487U/L;TBA:105umol/L;为求进一步诊治,于我院住院,入院后检查结果示:病毒标志物均为阴性,血常规:PLT:102×10^9/L;血糖、血脂、肾功能、电解质、凝血指标:正常;腹部彩超示:胆囊切除术后,肝脾胰肾声像图未见明显异常;给予保肝治疗一周后(2017-06-20)复查肝功能好转:TB:43.80µmol/L,DB:31.60µmol/L,ALT:68U/L,AST:68U/L,ALP:148U/L,GGT:445U/L。
2017-06-28
治疗一周后复查肝功能指标有上升趋势:TB:45.80µmol/L,DB:36.80µmol/L,ALT:153U/L,AST:239U/L,ALP:167U/L,GGT:607U/L,结合患者的病史及辅助检查,多考虑自身免疫性肝炎,建议复查自免肝抗体、免疫球蛋白、ANA、SMA、AMA及肝活检病理检查,患者暂不考虑。鉴于肝功能指标较高,建议患者泼尼松联合硫唑嘌呤治疗,和患者沟通后,患者因担心硫唑嘌呤副作用拒绝使用,同意单用泼尼松治疗,根据《自身免疫性肝炎诊断和治疗共识》给予泼尼松片(强的松30mg/天)、雷贝拉唑钠肠溶片(10mg/天)、维生素D3片(600mg、1次/天)服用观察。
2017-07-08
服药10天后复查肝功能明显好转:TB:26.90µmol/L,DB:16.60µmol/L,ALT:122U/L,AST:93U/L,ALP:125U/L,GGT:719U/L;评估应答良好,建议联合硫唑嘌呤治疗,以更好的改善血清生化指标,并减轻糖皮质药物的相关副作用,患者及家属仍不同意联合硫唑嘌呤。
2017-07-10
患者感胃区不适,查胃镜示:胃多发溃疡A1期,给予埃索美拉唑(耐信40mg,12小时一次),并调整强的松为20mg/天服用观察,并补充钙质、牛奶,预防骨质疏松,随后患者出院,出院后服用强的松20mg/天、埃索美拉唑(耐信40mg,12小时一次)。
2017-07-17
复查肝功能:TB:22.10µmol/L,DB:12.80µmol/L,ALT:105U/L,AST:86U/L,ALP:114U/L,GGT:689U/L;血常规:PLT:112×10^9/L;此后肝功能呈好转趋势,但仍未恢复正常;2017年8月调整强的松为10mg维持 。
2017-09-24
复查肝功能示:AST:45U/L,GGT:351U/L,随后因服药后恶心、呕吐,单用强的松10mg维持。
2017-12-20
复查肝功能示:TB:12µmol/L,ALT:99U/L,AST:77U/L,ALP:194U/L,GGT:403U/L;血常规:正常;建议联合硫唑嘌呤,因担心其副作用仍未联合。
2018-01-15
再次于我院住院,入院后检查结果示:肝功能:TB:20.10µmol/L,ALT:101U/L,AST:99.3U/L,ALP:185U/L,GGT:485.1U/L;血常规、血糖、凝血指标:正常;AFP:未见异常;腹部彩超:胆囊切除术后,肝脾胰肾声像图未见明显异常;给予甲泼尼龙片(32mg/天)、PPI、钙剂。
2018-01-25
治疗1周后复查:肝功能:TB:13µmol/L,ALT:82U/L,AST:44U/L,ALP:177U/L,GGT:474U/L;胃镜:霉菌性食管炎,胃多发息肉(病理回报增生性息肉);鉴于患者胃镜的表现建议患者联合硫唑嘌呤治疗,逐渐减少糖皮质激素用量,预防副作用的发生,患者同意,给予硫唑嘌呤片25mg/天、甲泼尼龙片每天递减1mg。
2018-01-30
5天后复查:肝功能:ALT:79U/L,AST:43U/L,ALP:164U/L,GGT:484U/L;血常规:WBC:11.96 ×10^9/L;患者出院;出院后至2018-03-09甲泼尼龙片减至8mg/天,硫唑嘌呤片50mg/天,复查肝功能:ALP:正常,GGT:276/L,白细胞:9.99×10^9/L,血小板正常;入院前近1周诉感乏力、肝区不适,并感面部浮肿、体重增加。

既 往 史:
30年前曾有“黄疸型肝炎”病史,输液治疗(具体用药不详)20天好转;12年前因胆结石行腹腔镜胆囊切除术;5年前因子宫肌瘤行子宫、卵巢切除术,术前因贫血曾输血(血制品种类及量不详),术后曾服用雌激素半年,并出现左下肢肿胀。2年前因面部皮肤晒后出现红肿、瘙痒就诊于某三甲医院,服用该院研制的“表皮因子修复胶囊”等两种药物治疗2月。否认高血压、心脏病、糖尿病病史,否认外伤史,否认中毒史。
体 格 检 查:
腹型肥胖,未见向心性肥胖,全身皮肤无黄染,未见蜘蛛痣及肝掌。全身浅表淋巴结未触及。巩膜无黄染,颜面部及双侧眼睑浮肿,双侧甲状腺未触及肿大。双肺呼吸音清,未闻及干、湿啰音。心率74次/分,心律齐,各瓣膜听诊区未闻及杂音。腹部膨隆,无局限性隆起,无静脉曲张及胃肠蠕动波,可见手术瘢痕。上腹部压痛(+),反跳痛(-),Murphy征(-),腹部未触及肿块。肝、脾肋下触诊不满意。液波震颤(-)。移动性浊音(-),肝区叩击痛(+)。肠鸣音约5次/分。双下肢凹陷性水肿(-)。
辅 助 检 查:

2018-03-13
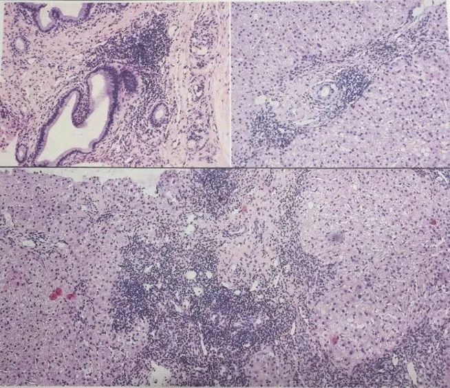
与患者及家属沟通行肝活检病理检查送北京中日友好医院,病理检查如下:


2018-03-23
和患者沟通行MRCP检查大胆管,排除硬化性胆管炎,MRCP检查结果如下:


诊 断:
原发性硬化性胆管炎;脂肪肝;胆囊摘除术后;子宫卵巢切除术后。
治 疗 方 案:
甲泼尼龙片10mg/天、硫唑嘌呤片50mg/天、维生素D3片600mg/天;住院5天后出院。出院后坚持服用上述药物治疗,门诊复查胆红素恢复正常,ALT、AST逐渐恢复正常,ALP、GGT稍高于正常水平。
讨 论
原发性硬化性胆管炎(PSC)是一种病因不明的慢性进展性的胆汁淤积性肝病,病变以胆管弥漫性的炎症和纤维化为特征,引起肝内外胆管多灶性狭窄。
PSC发病隐匿,好发于男性,发病机制涉及自身免疫反应,与遗传易感性、肠道淋巴细胞归巢假说、肠漏假说、胆汁酸-微生物相互作用等因素有关; 以慢性胆汁淤积(GGT、ALP升高)、胆管弥漫性炎性浸润、纤维化、阶段性狭窄为主要特征 ;可检测出多种自身抗体:ANA、pANCA、SMA、抗磷脂抗体、抗内皮细胞抗体等,但均缺乏特异性; 影像学特征为肝内外胆管呈枯树枝样改变 ;常合并溃疡性结肠炎。
组织学特征:中等或大胆管周围呈洋葱皮样的管周纤维化;胆管上皮变性、萎缩、消失,被透明的疤痕组织取代;小叶间胆管数目减少;30-80%的患者合并炎症性肠病(IBD),以溃疡性结肠炎(UC)多见;进行性的胆管梗阻和胆道炎症可以导致肝硬化、肝衰竭,最终需要进行肝移植。
此外, PSC患者胆管和结直肠恶性肿瘤发病率较普通人群明显升高 ,3.3%-36.4%的PSC可发展为胆管癌。
目前尚无有效的PSC治疗用药, 熊去氧胆酸(10-15mg/kg)有助于改善PSC患者的肝脏生化指标,但在改善肝脏组织学及预后方面缺乏证据 。另外, 各指南均不建议使用糖皮质激素、免疫*制剂抑**治疗经典PSC,但对于合并AIH或IgG4相关硬化性胆管炎特征的患者,可考虑使用 。PSC患者的显性狭窄可行内镜治疗改善狭窄状态和预后。终末期肝病、病情反复发作的患者,是肝移植的适应证,接受肝移植的PSC患者预后较好。
该病例特点: 入院30年前有黄疸型肝炎病史;入院12年前因胆结石行腹腔镜胆囊摘除术;入院5年前因子宫肌瘤行子宫、卵巢切除术,术前因贫血曾输血(血制品种类及量不详),术后曾服用雌激素半年,随后出现左下肢肿胀;入院2年前因面部皮肤晒后出现红肿、瘙痒就诊于某三甲医院,服用该院研制的“表皮因子修复胶囊”等两种药物治疗2月。

病例启示
结合该患者的病史及辅助检查,2017年4月发病时以总胆红素及GGT升高为主,ALP升高不明显,符合自身免疫性肝炎的特征,使用糖皮质激素治疗后肝功能好转,停药后指标反弹,再次使用糖皮质激素后指标呈好转,联合硫唑嘌呤,肝功能指标呈持续好转趋势。
PSC病理特点: 胆管周围洋葱皮样纤维化。
AIH病理特点: 以界面型肝炎、淋巴-浆细胞浸润、肝细胞玫瑰花环排列、淋巴细胞传入为特点。
DILI病理特点: 以炎性细胞浸润、凋亡小体、界面炎、肝细胞点状坏死、肝细胞水样变性为特点,与AIH共同特点有界面炎、门管炎和局灶坏死。
DILI与AIH的关系: 1.DILI表现类似AIH;2.AIH发病过程合并药物使用史;3.DILI引发AIH,较难鉴别,临床上可以行新型标志物:如线粒体损伤、肝组织CD8+T细胞、miR-22等检测,这些标志物有利于鉴别诊断,提高诊断率。
该患者肝活检病理检查提示PSC,建议查大胆管,但MRCP不支持 ,是否与穿刺前已经使用激素、免疫*制剂抑**有关?或者此患者为小胆管型PSC重叠AIH?结合PSC可合并炎症性肠病的疾病特点,可考虑行肠镜检查。另外,有合并IgG4相关性胆管炎的可能,可行IgG4检查。病理考虑PSC后可加用足量牛磺熊去氧胆酸治疗;病理考虑脂肪肝,可加用多烯磷脂酰胆碱等治疗,观察疗效。
任何疾病的诊治,都不会一蹴而就,总会在兜兜转转、经历各种曲折,甚至多年后随着诊疗水平的不断提高和创新,方能识得庐山真面目。

随 访
患者目前精神、饮食、睡眠正常,大、小便正常,2018年4月至2020年3月口服硫唑嘌呤(50mg/天)、泼尼松片减至1/4片,此后停用泼尼松片,减少硫唑嘌呤至25mg口服后逐渐停药,目前已完全停药1年,自觉无不适。建议患者行自身免疫性肝病抗体、免疫球蛋白、AMA、ANA、SMA、肠镜、IgG4、基因检测等检查,患者因在外地未能检查。嘱其定期复查、不适随诊,继续随访观察。

参考文献
1.王略 韩英 原发性硬化性胆管炎诊治进展 中国医学前沿杂志2020.,12(2):7-12
2.许雅娜 韩子岩 自身免疫性肝炎-原发性胆汁性胆管炎重叠综合征的诊治进展 医学综述 2019,25(20):4103-1407
3.倪萍 凡小丽 杨丽 临床肝胆病杂志2020 ,36 (4 ):743-748

*本文仅供医疗卫生专业人士为了解资讯使用,不代表本平台观点。该等信息不能以任何方式取代专业的医疗指导,也不应被视为诊疗建议。如该等信息被用于了解资讯以外的目的,平台及作者不承担相关责任。