
最近,7岁的小胖变得怪怪的:平时食欲很好,吃饭很快,这几天吃饭时突然变得慢吞吞的。小胖说,下门牙有点晃动,吃饭时有点疼,所以吃不快。小胖妈妈检查后发现,小胖下颌的门牙有2个“双排牙”,外面的牙齿有点晃动,里面新长出了2颗牙齿,而且边缘凹凹凸凸的。就医后得知,这种情况称为乳牙滞留,比较常见。

什么是乳牙滞留
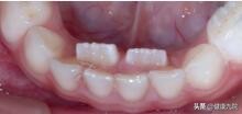
人的一生有 2 副牙齿,乳牙与恒牙。 乳牙于婴儿出生后 6~7个月开始陆续萌出, 2 岁半 ~3 岁全部萌出。从 7~8 岁开始,乳、恒牙逐渐替换,乳牙脱落,恒牙萌出,到 12 岁左右替换结束,口腔中的牙全部为恒牙。乳牙滞留是指继承恒牙已萌出,乳牙还没有脱落 ;或恒牙未萌出,但乳牙已超出正常换牙年龄极限而仍未脱落。 乳牙滞留的临床诊断依据为 :乳牙已到达替换时期但尚未替换,而且该乳牙根 部或唇、颊、舌侧有继承恒牙萌出 ;也有 部分孩子无继承恒牙,导致乳牙一直滞留于牙列中,乃至呈现在恒牙列中。未脱落的乳牙可松动或不松动,取决 于牙根的被吸收程度。如果乳牙的牙根被吸收得多,仅有软组织保留于原位,常常会比较松动,进食时会有不适或疼痛 ;如果乳牙的牙根被吸收得少,会比较牢固地存留在原位。 最常见的乳牙滞留是下颌乳中切牙, 继承恒牙在乳牙的内侧萌出,呈“双排牙” 现象。刚萌出的恒牙切端表现为凹凹凸凸的,是由于恒牙萌出不久,磨耗少的缘故。 随着时间的推移,磨耗增加,恒牙的切端就会变得比较平整。
乳牙为什么会滞留
造成乳牙滞留的原因有很多,多数原因目前尚不清楚。局部因素有: 继承恒牙萌出的方向异常,使乳牙牙根未吸收或吸收不完全 ;继承恒牙先天缺失、异位萌出、埋伏阻生,不能促使乳牙脱落;继承恒牙萌出无力,不能使乳牙根被吸收。全身因素,如佝偻病、先天性梅毒、先天性外胚叶发育异常、颅骨锁骨发育不全,以及一些遗传因素等,也会造成乳牙 滞留。
乳牙滞留怎么办
乳牙滞留常常会使继承恒牙萌出受阻或异位萌出,若不及时干预,会造成牙列不齐等,往往需进行正畸治疗。 当恒牙异位萌出、乳牙尚未脱落,出现“双排牙”现象时,应拔除滞 留的乳牙,解除恒牙萌出障碍。拔除松动明显的乳牙,一般不需要局部注射麻醉,只需在黏膜表面涂布*醉药麻** ;比较牢固的乳牙可在局麻下拔除。 拔除滞留的乳牙后,多数异位萌出的恒牙可以自行矫正。由于恒牙比乳牙大,乳、恒牙替换时会发生牙列拥挤、不齐,但这只是暂时的。 继承恒牙先天性缺失的乳牙能在牙列中存留很长时间,可承担咀嚼功能,一般应尽量予以保留。但由于衰老、磨耗等原因,乳牙最终会逐渐松动、 脱落,一般不能使用终身。
如何预防乳牙滞留
从小多吃富含纤维的食物,让牙齿多咀嚼,可以促进颌骨发育,有利于乳、恒牙的正常替换和牙齿整齐美观。对于先天性缺失恒牙的乳牙, 应做好预防和治疗龋齿、牙髓病、根尖周病的工作,尽可能保留乳牙,让其行使咀嚼功能 ;实在不能保留的,可拔除乳牙后安装间隙保持器或进行义齿修复。
上海九人民医院儿童口腔科 汪 隼
原文刊于《大众医学》