作者: 夏禹,孙中武 安徽医科大学第一附属医院
本文为作者授权医脉通发布,未经允许请勿转载。
导读
脑微出血( cerebral microbleeds,CMBs) 作为一种具有出血倾向的脑小血管病,越来越受到重视。研究表明脑微出血与年龄、心血管危险因素吸烟饮酒等都有一定关系。脑卒中患者中CMB的存在越来越被认为是预后不良的标志,因此本文主要对CMB的流行病学及发病机制、影像学诊断价值以及治疗做一综述,以使公众及临床医生加以重视,做好二级预防。
概要
脑微出血(cerebral microbleeds ,CMB)是指T2加权梯度回波(gradient echo,GRE)或磁敏感性加权成像(susceptibility weighted imaging,SWI)上的小(<10 mm)、低强度(黑色)、圆形或卵圆形区域的影像学表现1,它是一种亚临床的终末期微小血管病变导致的含铁血黄素沉积。由于高磁场强度和新型专用磁共振成像技术的广泛应用,CMB的检测频率越来越高,在老年痴呆、脑淀粉样血管病(cerebral amyloid angiopathy,CAA)、中风和创伤中十分常见。其罕见的病因包括心内膜炎、大脑常染色体显性遗传性动脉病伴皮质下梗死、白质脑病和放射治疗。
CMB的影像学表现主要是由于局部磁化率的改变,反映了血管病变引起的病理性铁积聚,多见于血管周围巨噬细胞。CMB在1.5T或3.0T时的真实阳性率为48%-89%。CMB的假阳性“模拟”发生率为11%-24%,包括微解剖、微动脉瘤和微钙化,后者可通过相位图像进行鉴别。与死后组织病理学分析相比,至少有一半的CMB患者在死前临床磁共振成像中丢失。一般来说,CMB检测率随着场强的增加而增加,我们可以使用三维序列以及磁共振相位的局部扰动来增强T2对比度。
流行病学及发病机制
20世纪90年代中期,当脑磁共振成像开始应用高磁化率技术时,CMB已为人们所熟知。随着磁共振成像技术的进一步发展,CMB在脑组织中的分布越来越广。CMB的作用率显著提高,对痴呆、中风等疾病以及正常衰老等具有重要意义。CMB的患病率因受试者和被调查疾病的不同而不同。在一项对社区居住的中老年人的广泛研究中,CMB的患病率为11.1%-15.3%,在脑出血患者中为20%-70%2。CMB的发病率在40年代末为6%,在80年代后为38%3 。CMB的发病率在阿尔茨海默病中为18%-32%,在轻度认知障碍中为20%-43%,在皮质下血管性痴呆中为68%-85%4.5。由此可见, CMB不仅广泛存在于正常中老年人中,而且其在认知功能障碍的患者中具有很高的患病率。
目前,CMB被认为是无症状的病变,可能在脑部磁共振上偶然发现,其与认知功能下降、痴呆、脑出血的风险增加有关。它在小血管疾病如高血压、脑淀粉样血管病和慢性肾脏疾病中发挥了极其重要的生物标记作用。
危险因素:
1. 年龄是CMB发生的重要危险因素,CMB的增加与年龄增长、白质高强度和腔隙性脑梗死有关。最近一项对2500多个社区居民进行的队列研究表明,脑萎缩参与者的脑叶微出血风险增加了2.6倍6 。
2. 高血压是CMB最可靠的风险因素,其可引起血管内皮细胞损伤增加。当观察到两个或两个以上的视网膜微血管征象,如高血压引起的视网膜动静脉狭窄时,脑内微出血的风险增加了3倍7。因此,可以认为高血压引起的血管损伤会引起CMB。
3. 吸烟和饮酒也被报道为微出血的危险因素,但研究结果不同。
4. 部分研究表明高胆固醇血症降低了微出血的风险,而他汀类药物治疗增加了脑出血的风险8。
胱抑素C是一种新的肾功能指标,与幕下深部CMB相关。与慢性肾脏疾病一样,微出血的发病率也低于每年1例,但在以下情况中,微出血的发病率很高:
➤ 疾病早期超过5例
➤ 严重的小血管病理改变
➤ 载脂蛋白ε2或ε4基因型的脑淀粉样血管病。
在载脂蛋白E基因型中,ε2与纤维蛋白样坏死有关,ε4以β-淀粉样蛋白积聚、平滑肌纤维缺失和血管壁增厚为特征,导致微出血9。
在一项病理研究中,一名患者中超过50个CMB计数与纤维蛋白样坏死有关,而CMB的数量小于3与淀粉样沉积血管的厚度相关,这表明CMB的数量反映了潜在的血管疾病状态,是未来微出血发生的生物标志物10。高血压微血管病和CAA可损伤血脑屏障和神经血管单位,导致CMB伴漏血和脑实质含铁血黄素沉积。
高血压引起脂透明质增多症和纤维透明质增多症,影响深穿支小动脉和皮质及软脑膜动脉中a-β的积聚,导致炎症、氧化应激和细胞凋亡。此外,脑淀粉样疾病、慢性肾脏疾病和心脏病通常损害小动脉平滑肌细胞和毛细血管,这些细胞和毛细血管构成血脑屏障和神经血管单位。最近,CMB与血管周围空间扩大的关系提出了磁共振所见的半卵圆形朗姆酒。推测CAA中淀粉样蛋白的积累可能导致血管间隙和微出血的扩大。在阿尔茨海默病中,CMB主要发生在皮质下边界,是由与阿尔茨海默病相关的CAA引起的。它伴随着血脑屏障功能障碍以及aβ在血管中的沉积。超过87%的CMB严格位于脑叶区,主要位于大脑后皮质,而不是深灰质或脑干,可能由CAA引起。CMB已被证明会增加认知障碍患者和正常社区居民患痴呆症和认知能力下降的风险。虽然影响认知功能所需的CMB数量尚未确定,但一些研究已经证实了CMB数目与认知功能的关系11。
在鹿特丹的研究中,有6个CMB的数量与认知能力下降有关,在4个或更多CMB时,认知功能障碍更为明显,除记忆能力在5个或更多CMB外,所有认知功能均下降12。CMB可损害出血部位的功能或引起各种非特异性认知功能下降。脑叶微出血与微小精神状态检查分数(一般认知功能)、执行功能、处理速度和记忆障碍有关。深部和幕下微出血与运动或精神运动速度和注意缺陷有关。颞叶的7个微出血与记忆和注意缺陷有关,额叶的7个微出血与记忆、精神速度、集合移位和注意功能障碍有关13。在认知正常、轻度认知障碍、阿尔茨海默病或血管性痴呆患者中,CMB与痴呆或认知功能下降的风险较高相关。
虽然没有很多纵向研究分析脑出血患者的认知功能随时间变化的影响,但脑出血患者的微出血与认知功能下降的可能性更高有关。不同痴呆类型的CMB分布不同。CAA和AD患者的CMB主要呈叶状分布。路易体性痴呆或额颞叶变性患者的CMB也主要发生在脑叶部位。然而,血管性痴呆患者的CMB在叶、深和幕下分布均匀。
影像学诊断价值
在神经影像学中,脑微出血作为神经血管和神经退行性疾病的生物标志物发挥着越来越重要的作用。临床磁共振对CMB的检出率取决于场强(1.5T对3T)和序列类型(T2梯度回波对SWI)等技术因素。例如,在记忆临床环境中,大约20%的轻度认知障碍患者在T2上出现微出血,而在SWI上出现微出血的比例约为40%。现有的临床脑磁共振成像低估了真正微出血的数量。据报道,65%的病例在死后组织病理学检查中发现了CMB14。这与使用T2 MRI的11%的流行率形成对比,即使考虑到使用SWI的潜在较高的检测率。重要的是,先前的研究表明,CMB的数量和位置之间的相关性很弱,例如,认知功能15。
磁共振假阴性CMB可能是造成这种弱相关性的原因。关于CMB放射学-病理学的相关性研究很少,但所有研究结果都一致认为临床MRI低估了CMB在病理学上的数量(假阴性率约为18%-48%)。虽然很容易预期到临床MRI更容易检测到较大范围的微出血,但既往研究并没有专门评估这一问题,也并未定义MRI上阳性和假阴性CMB的大小。在目前的放射-病理学研究中,已对脑MRI CMB的检出率是否取决于组织病理学上CMB的大小这一相关性进行评估,较小的微出血更有可能是假阴性的磁共振波谱。阳性的MRI CMB的平均大小为3.6 mm^3,假阴性MRI CMB平均大小为0.3 mm^3,由此可见,阳性的MRI CMB大小是假阴性MRI CMB的10倍。CMB的检出率取决于MRI技术,例如T2与SWI或1.5T与3T,随着新型高分辨率MRI(7T MRI)的诞生,其具有更高的分辨率及信噪比,对显示CMB的细微解剖结构更有价值。
同样,理论上可以进行很长时间的死后数据采集以提高磁共振的灵敏度,但这将是另一个目的。先前的临床放射学研究表明,磁共振成像上的CMB数量和位置与临床参数(如认知测试)之间没有良好的相关性16。在磁共振成像中,明显较小的微出血被低估,这可能是解释这种不良临床-放射学相关性的一个因素:小微出血可能存在并引起临床症状,但临床磁共振成像仍然无法检测到,导致成像之间的相关性差。显然,除了尺寸外,其他因素也会影响CMB的可探测性,包括铁含量、Fe2+/Fe3+比值、空间构型和位置,但这有待于进一步的研究。
值得注意的是,以前的调查发现假阳性的微血管“类似”于微钙化,但这些模拟中的大多数具有与典型CMB不同的方面或位置,例如丘脑中的位置或相位图像上的信号变化,而微出血与微钙化的大小和相位图像并非磁化率图像上的每个黑点都构成CMB,小钙化灶可能与SW成像序列上的CMB相似。这种分化在CT上通常很简单,因为钙化是高密度的,小钙化可能在CT上无法显示,不适用于CT扫描。

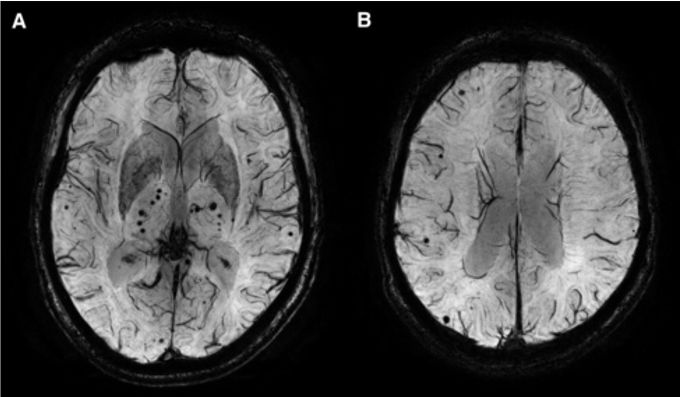
图 CMB患者MRI
SWI图像SWI成像显示:A:为丘脑微出血 B:皮层微出血(上图)
治疗
至今为止,尚无循证医学证据证实的治疗方法,但高血压的管理可能有助于微出血治疗,因为血压控制不仅可以减少高血压深出血,而且可以减少由CAA引起的大叶出血。没有足够的证据可以无条件限制使用抗凝剂治疗CMB患者的心房颤动。60岁以上需要抗凝治疗的房颤患者,当出现以下情况,则不推荐使用抗凝剂:
➤ 脑出血和浅表铁质沉着史
➤ 中年颅内出血
➤ 早期家族史
➤ 急性心血管病服用2种抗血小板药物后出现多发性CMB
➤ 选择静脉溶栓药物治疗急性脑梗死合并CMB应谨慎。
研究表明,在CMB存在的情况下,溶栓后发生脑出血的风险相对更大,并且随着微出血数量的增加,出现更多症状性脑出血17。然而,目前还没有足够的证据来确定在CMB患者中适当使用溶栓药物。
在阿尔茨海默病的治疗方面,研究人员建议将4个以上CMB的患者排除在Aβ免疫治疗之外,这是因为用于靶向淀粉样蛋白的免疫治疗剂可能引发炎症反应。此外,CMB还可以作为脑小血管病的生物标志物,如动脉硬化和CAA,CMB的范围可以作为评估潜在疾病状态的指标。因此,应采用系统定量评估方法来评估预后。需要进一步研究考虑脑卒中患者存在脑出血风险的治疗指南,以及预防脑出血发生的适当血压治疗。
小结
脑微出血(CMB)是一种小的低强度病灶,其最大直径可达5mm甚至10mm,其代表含铁血黄素的巨噬细胞的局灶性聚集,具有顺磁性,可通过SWI检测到。CMB主要发生在高血压或脑淀粉样血管病导致的小血管完整性受损的环境中。其与出血性和缺血性卒中有关,也与认知功能恶化和痴呆的风险增加有关。随着高场强磁共振成像系统和专用成像序列(三维T2加权成像、SWI和相关技术)的日益广泛应用,CMB越来越被神经影像学认可,其不仅发生在脑血管疾病、痴呆患者,也可以发生在正常老年患者中,所以临床医生必须高度关注此类疾病,更需要更多高质量临床研究深入探究其发病机制及治疗方法,力争最大程度减少其致残性,降低死亡率。
参考文献:
1. Goos JD, van der Flier WM, Knol DL, et al. Clinical relevance of improved microbleed detection by susceptibility-weighted magnetic resonance imaging. Stroke 2011;42:1894-900.
2. Poels MM, Ikram MA, van der Lugt A, et al. Incidence of cerebral microbleeds in the general population: the Rotterdam Scan Study. Stroke 2011;42:656-61.
3. Akoudad S, Wolters FJ, Viswanathan A, et al. Association of Cerebral Microbleeds With Cognitive Decline and Dementia. JAMA neurology 2016;73:934-43.
4. Sveinbjornsdottir S, Sigurdsson S, Aspelund T, et al. Cerebral microbleeds in the population based AGES-Reykjavik study: prevalence and location. Journal of neurology, neurosurgery, and psychiatry 2008;79:1002-6.
5. Vernooij MW, van der Lugt A, Ikram MA, et al. Prevalence and risk factors of cerebral microbleeds: the Rotterdam Scan Study. Neurology 2008;70:1208-14.
6. Fisher M. Cerebral Microbleeds and Thrombolysis: Clinical Consequences and Mechanistic Implications. JAMA neurology 2016;73:632-5.
7. Granger JP. An emerging role for inflammatory cytokines in hypertension. American journal of physiology Heart and circulatory physiology 2006;290:H923-4.
8. Vergouwen MD, de Haan RJ, Vermeulen M, Roos YB. Statin treatment and the occurrence of hemorrhagic stroke in patients with a history of cerebrovascular disease. Stroke 2008;39:497-502.
9. Yates PA, Villemagne VL, Ellis KA, Desmond PM, Masters CL, Rowe CC. Cerebral microbleeds: a review of clinical, genetic, and neuroimaging associations. Frontiers in neurology 2014;4:205.
10. Greenberg SM, Nandigam RN, Delgado P, et al. Microbleeds versus macrobleeds: evidence for distinct entities. Stroke 2009;40:2382-6.
11. Haller S, Scheffler M, Salomir R, et al. MRI detection of cerebral microbleeds: size matters. Neuroradiology 2019.
12. Wilson D, Ambler G, Lee KJ, et al. Cerebral microbleeds and stroke risk after ischaemic stroke or transient ischaemic attack: a pooled analysis of individual patient data from cohort studies. The Lancet Neurology 2019;18:653-65.
13. Soo Y, Abrigo JM, Leung KT, et al. Risk of intracerebral haemorrhage in Chinese patients with atrial fibrillation on warfarin with cerebral microbleeds: the IPAAC-Warfarin study. Journal of neurology, neurosurgery, and psychiatry 2019;90:428-35.
14. Barnaure I, Montandon ML, Rodriguez C, et al. Clinicoradiologic Correlations of Cerebral Microbleeds in Advanced Age. AJNR American journal of neuroradiology 2017;38:39-45.
15. Renard D. Cerebral microbleeds: a magnetic resonance imaging review of common and less common causes. European journal of neurology 2018;25:441-50.
16. Toth P, Tarantini S, Csiszar A, Ungvari Z. Functional vascular contributions to cognitive impairment and dementia: mechanisms and consequences of cerebral autoregulatory dysfunction, endothelial impairment, and neurovascular uncoupling in aging. American journal of physiology Heart and circulatory physiology 2017;312:H1-H20.
17. Wilson D, Ambler G, Shakeshaft C, et al. Cerebral microbleeds and intracranial haemorrhage risk in patients anticoagulated for atrial fibrillation after acute ischaemic stroke or transient ischaemic attack (CROMIS-2): a multicentre observational cohort study. The Lancet Neurology 2018;17:539-47.