在门诊中,有很多肩关节疼痛的患者,以50岁后的中老年人居多,民间很多人认为肩关节疼痛就是肩周炎,自己买点膏药,吃点止痛药就会慢慢好的, 但其实肩关节慢性疼痛的病因多样,诊断复杂,治疗方式多,这对骨科医生的临床经验及专业水平是一个不小的考验。
2020年5月7日,肩关节专家罗吉伟教授对南方医院增城分院全体医护人员就《关于肩关节疾病诊断与治疗》展开了主题讲座,提出肩关节常见疼痛主要分成五类:
① 疼痛类:撞击症、肩袖损伤、冻结肩、AC关节、盂肱关节炎、肱二头肌腱炎、滑囊炎
② 僵硬粘连:冻结肩(肩周炎)
③ 不稳类:肩脱位(前、后、多方位),SLAP、Bankart
④ 无力类:巨大肩袖损伤
⑤ 复杂类:炎症、感染、外源


罗教授以大量临床病例作为讲座重点,从肩关节疼痛病理、症状、结合查体、影像学资料和微创手术,康复治疗等各方面,全面探讨总结了肩关节疼痛感的规范化治疗方案。提出以下观点:
① 老年肩痛大部分类似,均伴有疼痛、力弱、活动受限,在诊断过程中要细致,做到精准诊断。
② 重点关注患者年龄,可减少误诊。不同年龄段的人容易罹患不同的“肩痛”,例如50岁易患冻结肩,而60岁以上的肩痛,首先要考虑肩袖撕裂。
③ 早期肩痛往往需要理疗和药物治疗,晚期需要手术。
④肩关节镜手术适应症广,效果佳。具有精准、微创、恢复快的特点,手术只需要几个0.8cm的小孔就可以完成,术后1-2天即可出院。
最后,罗教授强调:我们要加强肩痛患者教育,引导患者接受“正规的”、“微创的”治疗,而不是生活在肩痛的阴影中。

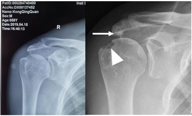
诊断展示:罗教授讲解肩关节X线片

手术展示:罗教授团队为美国外宾做肩关节微创修复