国庆节值班救治了一位重症脑梗死的患者,救治过程颇有感触。救治脑血管病有时候会有成就感,比如患者因肢体瘫痪来住院,经过治疗后可以走路回家,面对患者和家属的感激和认可,这时成就感和自豪感油然而生,支撑我们在医疗道路上持续走下去。当医生肯定是想把患者治好,我敢说没有一个医生会故意把患者治坏,只是有时候病情太重,治疗手段局限,难以达到理想的效果,这时候医生会很沮丧,也有可能会受到家属的责怪,但我们仍要做到问心无愧,收拾好心情,继续救治下一位患者。

脑梗死

对于脑血管病来说,时间就是大脑,越早治疗,挽救的脑细胞就越多,肢体功能恢复就越好。
62岁的王爹爹,因“突发意识模糊,右侧肢体不能活动40分钟”送到我院急诊。发病前王爹爹正在和家属在公园散步,走着走着突然脚下一软摔倒在地,家属发现王爹爹意识模糊,呼喊反应迟钝,右手不能活动,右脚也不能抬起来,这场面家属顿时焦急又惊恐,稍作镇定后家属立即拨打120送入我院急诊。王爹爹既往身体还不错,只是血压稍微偏高,约150/90mmHg,平时并没有服用降压药,也没有得过什么大病。
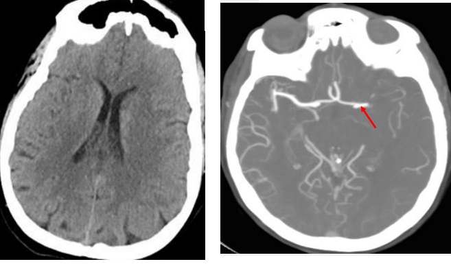
120接到患者后10分钟到急诊,急诊医生发现患者意识障碍,右侧肢体全瘫(疼痛刺激无反应),初步考虑脑中风,测血压155/95mmHg,体温36.8℃,心率90次/分,氧饱和度93%,立即给予心电监护,吸氧,输液急救处理,并拨打了我的会诊电话。短暂沟通后,我怀疑患者中风了,首先需要鉴别脑梗死和脑出血,电话中告知急诊科立即完善头颅CT及血管检查,因为患者病情较重,需考虑大血管病变。10分钟后完成了头颅CT显示:未见出血(因为时间较短,梗死未显影),诊断“急性脑梗死”,CT血管检查显示:左侧大脑中动脉闭塞。

左图CT显示未见出血;右图CT血管显示左侧大脑中动脉闭塞
患者目前发病60分钟,发病较早符合静脉溶栓时间窗(4.5小时内),遂给予阿替普酶(0.9mg/kg的剂量)溶栓治疗,首剂静脉推注10%的剂量,余90%的剂量用静脉泵持续泵入1小时,溶栓后患者意识障碍和肢体瘫痪均无明显改善,遂我们建议更积极的治疗,立即桥接血管内介入取栓治疗。

取栓过程示意图
这时家属就有些不耐烦,情绪激动,说各种难听的话的都有,“静脉溶栓已经花了大几千,效果也不好”,“你们治疗方案会不会有问题?”。“取栓又得花上万的钱,你们是不是想赚钱?”。

面对这样的责怪,一般人内心难免会很激动和生气,但是我们是医生,是在与人打交道,与死神在赛跑,也肯定会遇见这种情况的,家属不懂医学,并且看到患者病情很重,难免会有这样的情绪应激反应,后来我们耐心的向家属解释病情的严重性和取栓的必要性,不一会儿,家属似乎恍然大悟,同意签字取栓治疗。

马上将患者送入导管室,目前发病才2个半小时,技术熟练的术者很快就下肢股动脉穿刺成功,随后术中看到左侧大脑中动脉被血栓堵住,操作过程中患者出现呼吸困难,氧饱和度下降,血压升高等变化,大家沉着应战,积极给予了应对措施,最终经过2个多小时惊心动魄的手术过程,最终取出了长长的血栓,解除了脑梗的“罪魁祸首”,血管再通,梗死区的脑细胞功能逐渐恢复。

左图显示大脑中动脉闭塞,右图显示取栓后血管再通

取出来的血栓
后续给予阿司匹林肠溶片肠溶片(100mg/日)抗栓,阿托伐他汀钙(20mg/晚)联合依折麦布(10mg/晚)抗动脉粥样硬化,调控血压(氨氯地平片5mg/日),改善循环,营养神经,肢体康复(针灸、物理理疗、生物电反馈),持续吸氧等治疗。经过2周的治疗后患者于昨日出院,幸运的是,患者出院时仅遗留右上肢力弱,下肢肌力基本恢复,独立行走回家,嘱其院外继续康复锻炼,按时服药,择期复诊。

王爹爹住院照
通过这个病例想告诉大家的是:
1、脑梗死救治需争分夺秒,时间就是大脑,越早治疗效果越好。
2、中老年人平时一定在筛查和控制脑梗死的危险因素,比如高血压、糖尿病、高血脂、心脏病(冠心病、心房颤动)、高同型半胱氨酸血症、肥胖、吸烟饮酒、运动少等。
2、治疗疾病的过程中,需要医生,患者及家属三方的通力合作才能达到好的疗效。
3、怀疑脑梗死,首选检查是头颅CT,目前是首先要排除脑出血,进一步明确梗死灶的大小和部位行头颅磁共振检查。
4、静脉溶栓是指南推荐的治疗方法,但对发病时间要求严格,限制时间窗在发病4.5小时内才能使用,随着时间的延长,出血风险逐渐增加。
5、脑梗死发病超早期,如果病情危重(意识障碍,肢体完全瘫痪),需尽快明确是否大血管病变(CT血管检查),静脉溶栓治疗大血管病变所致脑梗死的再通率低于30%,需要立即桥接行血管内介入取栓治疗。
6、介入取栓也有时间窗的要求,一般发病8小时以内;部分经过选择的病例,如CT灌注或磁共振灌注成像,符合取栓治疗的时间可延长到24小时内。
作者言:大家好,我是神经内科魏医生。这个病例是我自己真实管理的,努力去记录救治过程的点点滴滴,希望本文对大家有所帮助,请帮忙● 点个关注或点个赞● 吧,如果您的家人朋友也有这方面知识的需要,请● 转发●给需要的人,您的支持,就是我创作的最大的动力,谢谢了!
