众所周知,大多数宝宝都要在妈妈的“小宫殿”里住上十个月,才“瓜熟蒂落”,平安出生。但是,有些“淘气包”总是迫不及待地降临,成为早产儿。而喂养早产宝宝,面临的困难和风险也会更大。
近日,西安大兴医院新生儿科就收治了一个因发烧、腹部发胀入院抢救的早产儿“糖果”。
“刚来的时候,情况还是挺危急的,有生命危险。患儿送来的时候,呼吸费力,全身皮肤青紫,腹胀明显。”新生儿科张磊主任介绍,“糖果”被家人送来医院的时候,情况非常危急,发着烧,精神状态非常差,家里人说孩子已经两天没有拉臭臭,当时首先考虑有败血症。

新生儿科的医护团队立即进行抢救,予以呼吸机辅助呼吸,患儿肤色逐渐转为红润,血氧饱和度维持在90%以上。
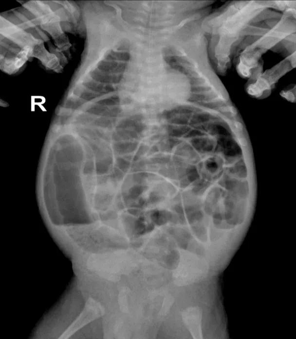
“患儿腹胀特别严重,腹部皮肤发亮,能够看到腹壁下的静脉血管纹路。”张磊介绍,他们立即进行胸腹部立位片检查,通过X线片看到,患儿腹部全是胀气,肠管可见气液平面,确诊为肠梗阻。

通过给予禁饮食、胃肠减压、灌肠通便及全静脉营养支持、抗感染等积极治疗,患儿的情况逐渐好转。
张磊介绍,患儿是2020年8月底出生,胎龄只有27+2周,属于超早产儿,当时体重只有1000克,在西安一家医院住院七十多天,情况好转后回家。然而,回家不到一礼拜的时间,患儿就出现了腹胀问题。
“经过积极治疗,禁食三天后,给孩子试着喂糖水,并缓慢加奶,孩子情况逐渐好转。”张磊介绍,患儿属于超早产儿,住院时矫正胎龄39周,本身胃肠功能差一些,免疫力相对低,如果喂养照顾不当,合并感染,很容易出现病情变化。所以,家长在护理早产儿时,要密切关注宝宝的喝奶情况、大小便情况,一旦有异常,要立马就医。

经过二十天的积极治疗,“糖果”可以顺利进食母乳,大小便恢复正常,精神状态也越来越好,并于日前顺利出院。家属为表达感谢,特地为新生儿科医护团队送来一面锦旗。
通讯员:卜亮
责编:刘书海
-END-