
01
病史
主诉:发现子宫肌瘤3年,卵巢囊肿术后复发3年
现病史:39Y,G2P1,无生育要求
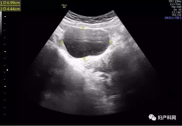
2005年和2013年腹腔镜卵巢囊肿手术各一次,病理均为子宫内膜异位囊肿,3年前复诊时发现子宫肌瘤,同时发现卵巢囊肿术后复发,均未做治疗,现因自觉小便次数多,贫血就诊。在2005年和2013年两次手术时医生均提到“腹茧症”。平素月经:7-10天/26-30天,痛经(-),量偏多,用1-2包卫生巾。MRI(2019.6.6):1、子宫颈肌瘤5.2*6.2*6.9cm。2、子宫前方囊性占位4.1*4.9*6.6cm,倾向良性。宫颈刮片(2019.4):正常。2019年4月HB 94g/L



02
诊断
右侧卵巢内膜样囊肿?子宫肌瘤
03
诊疗过程
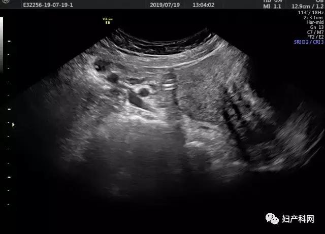
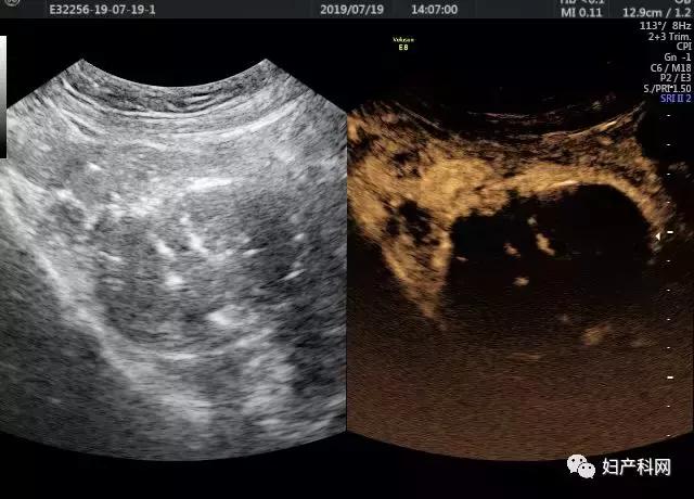
我们给这位客人选择的治疗方式为经皮卵巢囊肿穿刺+无水酒精固化+经皮子宫肌瘤微波消融术。术中从右侧卵巢囊肿内抽出褐色液体约70ml,使用无水酒精20ml固化15分钟后抽出。子宫肌瘤原本预计经阴道穿刺,但因为子宫肌瘤位置较偏,阴道穿刺后评估安全性存在问题,改为了经皮穿刺,60w功率下消融了18分30秒,子宫肌瘤基本达到完全消融。

囊肿术前

囊肿术后

宫颈肌瘤术后超声造影
04
讨论
通常囊肿穿刺我们都是从阴道进行,因为大部分时候从阴道超声可以直接的接触到卵巢囊肿,避免对周围组织的损伤,但是对于像本例中的这样的情况,因为子宫肌瘤以及多次手术的影响,盆腔粘连比较厉害,若是做腹腔镜手术,相信会是一场粘连的噩梦,经阴道穿刺又难以触及到囊肿。这样的情况,就需要适当的做出调整,改为经腹的穿刺,当然仍然需要仔细评估穿刺路径是否安全。
宫颈的肌瘤本来是计划经阴道穿刺,但因为微波消融针仅有14g,韧性也稍差一些,对于这样位置的子宫肌瘤,虽然可以进行穿刺,但对于消融针的位置控制却比较困难,多次尝试后,虽然能够正常穿刺入宫颈的肌瘤,但均难以达到满意的位置,这样做消融势必存在部分肌瘤被漏掉的问题,难以做好消融的适形性。这也回答了之前部分医生提出的为什么不从阴道做消融治疗的问题,对比下来,经腹穿刺在控制性上会灵活很多,当然需要术前仔细的评估,特别是要注意肠道的影响。
沃医子宫肌瘤微无创治疗中心
龚晓明 冯洋
2019年7月19日
