
子宫内膜间质肉瘤少见,恶性程度高,占子宫恶性肿瘤2%~4%,占女性生殖道恶性肿瘤1%。子宫内膜间质肉瘤是来源于子宫内膜间质细胞的肿瘤,临床上有阴道不规则流血、腹痛、下腹部包块等相关症状。早期以手术切除为主,术后辅助药物治疗,但复发率高、预后差。

子宫内膜间质肉瘤患者5年生存率达69%,Ⅰ期5年、10年的生存率达84%、77%,Ⅱ期分别为62%、49%。约1/3患者复发,并具有晚期复发的特点,盆腹腔转移最常见,其他还见于肺转移、骨转移、阴道复发等。

对于不可手术切除的子宫内膜肉瘤或者出现转移晚期病例情况,局部治疗可以选择射频/微波消融、冷冻消融 、介入化疗栓塞、放射性粒子植入等微创手段来有效控制病灶进展,改善生活质量,延长生命。
典型病例
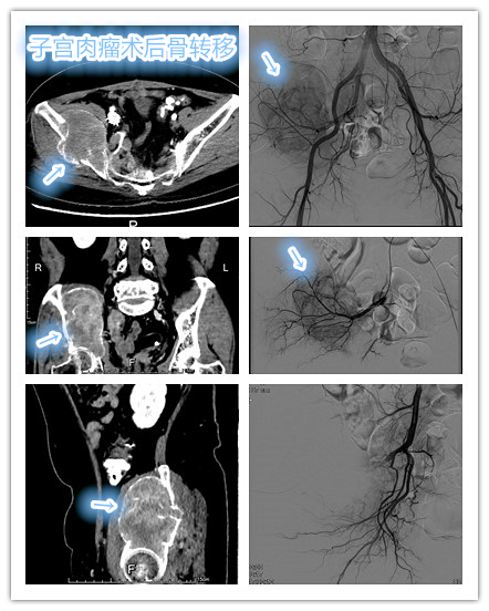
中年女性,子宫内膜间质肉瘤术后骨转移(Ⅳ期),经多程姑息化疗无效,髂骨转移瘤进行性增大,出现髋部及下肢疼痛、麻木不适。依据病灶特点,为患者制定个体化介入治疗方案:局部动脉化疗栓塞+局部射频消融治疗,先通过化疗栓塞骨转移瘤阻断其营养供血,再后续局部热消融毁损肿瘤病灶,使得短时间内有效控制杀灭肿瘤,改善相关症状。
局部动脉化疗栓塞治疗:有效阻断肿瘤的营养血供,促进肿瘤坏死萎缩。

骨转移瘤射频消融治疗:局部高温烤死肿瘤组织,快速杀灭肿瘤细胞。

经介入微创综合治疗后,患者疼痛等相关症状明显改善,生活质量明显提升,为后续治疗争取时间和机会!
欢迎关注与点赞,更多妇科介入微创治疗干货等你哦!
(此处已添加小程序,请到*今条头日**客户端查看)