骨折对于很多人来说,可能一辈子也遇不到一次,很多人甚至就一辈子也不可能发生骨折。但对于有一些人来说,骨折却是要像防火一样,天天防着它!这些人就是骨质疏松的老年人!
对于大部分有明显移位的骨折来说,都是知道要手术的!而住院之后,对于很多老年人,医生可能有时候会“迟迟”不肯给患者做手术,但实际情况是不是这样子呢?
78岁的冯大爷就是如此,因为左侧髋关节疼痛,加重伴活动障碍10天入院。
细问病史下才知道:冯大爷在入院前10天,曾在当地医院因“腰椎间盘突出”住过院,住院期间上洗手间的时候不慎摔倒,当时左边的屁股着地,当即感到左侧髋关节(屁股)疼痛以及左脚的活动受限,改变体位以及活动左脚的时候都可以感觉到剧烈的疼痛,躺在床上疼痛就会好转一些。
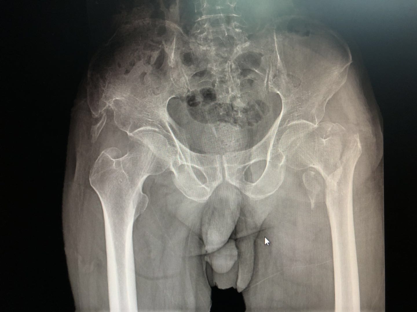
当地医院给冯大爷拍了一个骨盆正位片子结果如下:

左侧股骨粗隆间骨折
检查结果提示左侧股骨(大腿骨)的粗隆间骨折!这个跟股骨颈骨折严格意义上可以算是两个东西,但在老百姓眼中没有区别,就是骨头断了。
这下可好,腰椎的疾病还没有治疗好,现在又搞骨折了,老大爷可谓命途多舛!但没办法啊,骨折是必须要优先处理的!
本来当地的医院对于腰椎这边,没准备给大爷做手术的,这下骨折了,手术前的抽血化验检查这些是必须做的了。不做不知道,一做吓一跳,冯老大爷全身都是病:肺有问题---慢性阻塞性肺病,肺炎;心脏有问题---高血压,而其中骨科医生最怕就是肺炎,有肺炎说明全身存在感染病灶啊!骨折手术必然包含着内固定的植入,如果术后感染那后果是不堪设想的!当地医院觉得老大爷做手术风险很大,建议转院去上级医院A医院。

图片仅供参考
A医院的医生接手了冯大爷的治疗,第一时间给与止痛、护胃、抗凝、皮肤牵引等相关治疗!
入院常规抽血结果出来,也着实吧A医院的医生吓了一跳,因为感染指标太高了,具体检验结果如下:

入院抽血大致结果
由于感染指标较高,加上冯大爷一直有喘,喉咙咳痰很多,考虑肺部感染可能性极大。于是医院医生给大爷请了呼吸科的教授会诊,指导抗生素的使用;高血压心脏有问题请了心血管内科的教授会诊......一切准备就绪,大爷已经住了3天了,加上外院躺了一个礼拜,加起来10天了,得赶紧给大爷做手术了。
手术在全麻下进行,因为大爷腰椎骨质增生明显,无法打腰麻!
手术很顺利,术后大爷安全返回病房,术后复查了片子如下:

手术后的病理结果如下:

提示股骨头坏死
手术后5天,冯大爷恢复良好,出院了,但严重骨质疏松的他,术后还有好长的恢复时间,以及很多的注意事项,下文会仔细提及。
希望他能很好的康复!
对于这个病例的分析,相信大家都有很多疑惑,小黑锅也有很多东西要告诉粉丝朋友们一起学习:
1、医生为什么“迟迟”不给骨折的老年人“及时”做手术呢?------外科手术可基本分为3种,分别是急诊手术、择期手术、限期手术。急诊手术就是危急重症的病人,不马上手术后果不堪设想的;限期手术就是必须在限定的时间内尽快做手术的病人,比如说肿瘤病人;择期手术就是目前可以马上做,也可以晚点做的手术,比如说冯大爷!其实某种意义上冯大爷也可以算是限期手术!
高血压、慢性肺病这些如果没有控制好的话,手术风险会大大提高,手术不是单纯的把手术做了就行,手术病人安全要放在第一位。

守护安全
2、不“及时”手术是可以理解了,但是为什么要早点做手术?------对于骨折本身来说,骨折并不可怕!而对于老年人的下肢骨折来说,长期卧床有时候可能是致命的!
长期卧床的老年人,心肺功能都会下降,容易导致坠积性肺炎,冯大爷就有一点迹象了,炎症可能波及全身,进而危及生命安全;
长期卧床下肢深静脉容易长血栓,血栓万一掉落,堵塞了肺部的大血管,容易造成呼吸困难,影响生命安全;
长期卧床的老年人,骨头突出部位皮肤容易被压烂,造成局部感染,老年人免疫力低,感染容易播散全身,造成严重后果。

长期卧床的老人
3、止痛?护胃?抗凝?皮肤牵引?......为什么到医院就一堆治疗叠上来?
止痛:得益于目前骨科“无痛病房”的建设,目的是提高患者的住院体验,体现人文关怀,不然病人整天很痛,生活质量明显减低!
护胃:创伤后的应激,部分止痛药的使用等都可能造成消化道的损伤,甚至有发生应激性胃溃疡可能,给予护胃药防范于未然!
抗凝:第2条说了,长期卧床的老人家由于血液凝滞,容易发生深静脉血栓,提前给予抗凝,保证老人血液流动性,减少发生深静脉血栓的风险。注意:对于某些口服的抗凝药,如阿司匹林,手术前最好停用1个星期,才是最安全的,不然手术中会有出血的风险,而临床上目前多采用低分子肝素皮下注射抗凝治疗,因为它的半衰期比较短,停药12小时就可以代谢完了;
皮肤牵引:对于股骨颈骨折等类似的病人,骨折后由于大腿强大肌肉的牵拉,骨折的远端会向着近端移位,久而久之可能造成肌肉的挛缩,不利于手术中的复位。因此,必须通过一个绑在腿上的装置将病人的下肢往下牵引对抗,必要时可能还要打骨头牵引(直接打个钉子在骨头上牵引)。
.....................

住院治疗
4、为什么直接就做关节置换手术了,而不是单纯的内固定手术?------单纯的内固定手术保留患者的股骨头,但固定方式基本都是经股骨颈固定,而股骨颈处有营养股骨头的动脉血管,经股骨颈固定必然会影响股骨头的血供,术后患者可能出现股骨头坏死,需要二次手术做关节置换!这对于老年人及其家庭来说,无非是灾难性的。
而冯大爷术后病理结果报告提示冯大爷存在股骨头坏死,也证实了医生选择直接行关节置换手术是对的。

股骨头坏死
5、为什么医生对病人的感染指标这么在意?------骨科的大多数手术都是伴随有钢板螺钉、关节假体的置入,因此骨科医生对手术的无菌要求相对较高。
而关节骨科的医生更是如此。身体存在感染病灶的话,可能通过血液或者局部转移到关节假体处,从而在假体上形成一层细菌生物膜,而这层细菌生物膜通过静脉打抗生素、口服抗生素都没办法将其消除,细菌就会在这层膜上繁殖,导致假体周围感染,甚至需要“二进宫”再次手术取出关节假体。

容易感染致病菌
6、手术后为什么说要有好长的恢复时间,有什么要注意的?------对于冯大爷这种严重骨质疏松的患者,手术后最要注意发生关节置换术后假体周围骨折的可能,同时要防范关节假体术后脱位。长期随访对于老人来说,是非常必要的!

长期随访很重要