牙齿冷光美白技术是将波长介于480-520纳米之间的高强度蓝光,经由光纤传导,通过两片30多层镀膜的特殊光学镜片,再经过特殊光学处理,隔除一切有害的紫外线和红外线,将过氧化氢和直径为20纳米的二氧化硅等为主体的美白剂,快速产生氧化还原作用。透过牙小管,去除牙齿表面及深层附着的色素,从而达到美白的效果。

这种冷光美白牙齿技术一般不会耗费求美者太多的时间,仅需要30分钟就能有效的完成牙齿美白过程,十分方便快捷。通过权威的临床实验表明,冷光美白牙齿后,牙齿美白程度可提高5-14个VITA色阶,效果可维持2年以上。由于这是目前最有效安全的牙齿美白技术,自然受到了广大爱美人士的欢迎。

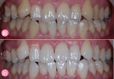
冷光美白的效果怎么样呢?
冷光美白的效果一般都是很理想的。对一般大众的牙齿或者轻度氟斑牙来说,冷光美白效果非常明显。但对于中重的四环素牙以及氟斑牙等,就需要采取瓷贴面、全冠等美容修复方式了。
从理论上来说牙齿冷光美白的效果一般能够保持两年左右。我们很早就开始做冷光美白,通过跟踪调查,有的人维持了两年左右,有的人至今仍然很好。看来,冷光美白的效果保持时间的长短很可能与个人的饮食习惯及牙齿结构不同而有所差别。

做完冷光美白后也有一些重要的注意事项
1、冷光并不是真正的没有温度的光,美白术前,患者牙龈上要涂抹护龈剂保护牙龈;
2、牙齿冷光美白后建议治疗后24小时内避免冷热饮;
3、冷光美白后24小时内,牙齿很容易再染上有色物质,必须避免饮用茶、咖啡、可乐、红酒、莓果类饮料、有色牙膏、漱口水等及食用深色食物,同时要避免吸烟;
4、为防止牙齿在冷光美白后吸收更多色素,一星期内,最好不吃容易染色的食物,比如麻辣火锅、咀嚼槟榔等;
5、冷光美白后要定期检查牙齿和洗牙能维持牙齿美白,美白功效牙膏与含氟牙膏结合使用,保持良好的口腔清洁习惯,每天早晚按时刷牙。

冷光美白治疗可能会有牙齿冷热过敏的副作用,即牙酸、牙倒,对冷、热、酸、甜等刺激特别敏感。一般几天后可自行消失,也可采用脱敏牙膏。还可能发生牙釉质轻微脱钙,一般可自行再矿化修复。

冷光美白前的一些准备工作:
1、如果有牙周炎、牙龈病等牙科问题的求美者,不适宜进行牙齿漂白。建议进行X射线排查,以判断是否适合牙齿漂白。如现牙周问题,需先修补牙齿,再行漂白术。否则,可能会导致牙齿问题加剧。
2、先咨询牙医。并非所有人都适合牙齿漂白。有的时候,牙齿漂白失败后,会导致牙齿颜色不齐。牙齿漂白最适用佩戴假牙人群。
3、牙齿漂白可能出现副作用。部分人会在漂白的过程中出现牙齿敏感,或者牙痛。但术后,敏感或疼痛会慢慢消失。
4、健康的牙齿并非雪白。切勿将牙齿漂得太过洁白,否则会显不自然。

虽然冷光美白适合于大多数人群,但也有它的禁忌症:
① “死髓牙”,需要做的是内漂白,但是褪色很快,而且会反弹。
② 假牙。填充体和烤瓷冠都不适合做冷光美白。
③ 伴有釉质发育不良的重度的氟斑牙、或者其他因素引起的变色牙,可能会引起较大的不适感,也不宜做冷光美白;至于重度四环素牙,美白剂对这样的牙齿没有效果。
④ 年龄在16岁以下人士、严重的牙周病患者不适合冷光美白;孕妇在第四个月到八个月 只要没有牙周炎症的情况下是可以做的。

前两天一位朋友咨询关于牙齿美白的问题,提到了一款家用的牙齿美白仪,询问效果怎么样。这样的美白仪网上见到很多了,一度还被爱美的女性朋友们追捧为网红产品。当然广告宣传嘛,咱们心里都有杆秤,效果如何,还是要看使用者的反馈。毕竟我没有用过这些产品,不能妄下定论。

但是从专业角度讲,牙齿美白的药物多为高浓度过氧化氢或者过氧化脲,通过氧化反应使牙齿变白。这种强氧化剂对牙齿进行漂白的过程也会对粘膜造成刺激和损害,在进行冷光美白的时候,医院都会在牙龈上涂上一圈牙龈保护剂,将药物均匀涂抹在牙面上,防止漏到牙龈。

而家用的这类产品是没有牙龈保护剂的,美白药物的用量也没法把控,只是单纯的咬到上面。且不论美白效果,这类操作也会对牙龈粘膜造成损伤,所以不建议自行购买这类产品使用。