更多优质文章、名老中医免费直播、中医临床验案、书方药学习库,尽在“甘草学园”——纯粹、专业、平等、开放的中医学习交流社区,与中医同道共成长。
文章来源:甘草学园
原文链接:https://www.igancao.com/aq
作者:张树森
肺炎支原体(Mycoplasma pneumoniae, MP)是引起小儿长期慢性咳嗽的常见病原体,有些患儿吃了很长时间的中西药也不见效,后来改服几天阿奇霉素,咳嗽就治愈了;有些则是早期就查出了是支原体感染,也服用了针对性的药物,但仍久咳不愈。所以有必要重新认识一下MP。
一、体积小
MP比细菌小,比病毒大。大约1~2μm长,0.1~0.2μm宽。一般认为支原体主要是粘膜病原体,其位于细胞外表面上皮表面,不进入细胞内部。但一般越小的病原体越容易进入细胞内部,比如病毒就很小,比支原体还小,进入细胞内进行复制,破坏细胞,损坏组织器官,导致发病。也有研究证实支原体具有与宿主细胞融合并进入宿主细胞的潜力。支原体进入细胞可绕过支原体免疫机制,造成支原体长期潜伏于体内不被清除,形成慢性状态,久治不愈。

二、抗原变异
研究发现,肺炎支原体的表面粘附素蛋白存在高频相位和抗原变异。这就好比孙悟空,一会儿变成这个模样,一会儿又变成另外一个模样,使人体的免疫系统不能识别它,无法建立起有效的免疫将其清除。这可能也造成并加大了支原体疫苗研制的难度。此外,肺炎支原体细胞膜上的甘油磷脂与宿主细胞有共同抗原成分,这会导致人体免疫系统把它认为是“自己人”,而不去攻击它。这两方面的机制均会导致人体免疫系统不去清除它,形成免疫逃逸。

对于上述肺炎支原体体积小,也可进入细胞内部,以及免疫逃逸的机制,医生能做的有两方面:一是祛邪,尽早诊断有无支原体感染,选择敏感抗生素;二是扶正,支原体的大小、抗原变异都无法改变,能改变的是自己的免疫力。临床上确实也见过一些使用阿奇霉素治疗后的支原体感染的患者,仍久治不愈,回看患者的血常规发现,有的存在中性粒细胞,或淋巴细胞计数的降低,幼儿患儿食欲差,长期挑食等情况,这都是“卫气”虚的证据,通过中药提示中性粒细胞、淋巴细胞、改善食欲等治疗后,患者就很快好转,直至痊愈。
三、传播途径
MP经呼吸道传播,潜伏期一般长达2~3周,没有性别差异,主要感染婴幼儿和老年人。MP引起的肺炎每隔3~8年就有一次流行,并可在一个密闭环境中如学校、幼托机构、夏令营等造成暴发。
阻断传播途径是预防传染病的重要措施。这提示,儿童、老人尤其要重视,在人群密集的地方也要注意预防支原体感染。当然最有效的措施是佩戴口罩。儿童急诊的研究数据表明,新冠疫情之后,由于大众普遍佩戴口罩,儿童急诊就诊的患者明显减少了,这证实了口罩预防病原体的传播作用。
三、黏附性
MP无细胞壁,呈长杆状,在电镜下观察就像很多的短树枝放在一起一样。
MP入侵人体的首要条件是其通过顶端黏附细胞器黏附到宿主细胞上,在这个过程中位于MP顶端的黏附细胞器发挥了重要的作用,其实质是由许多种MP表面黏附蛋白聚集而形成的。在电镜下观察,这种“黏附”就像一个钉子钉在墙上一样牢固。

上图是肺炎支原体细胞的扫描电子显微照片。显示了整个支原体,末端附着结构用箭头表示。
MP这种“黏附”的特性加大了机体对其清除的难度,导致疾病迁延不愈。

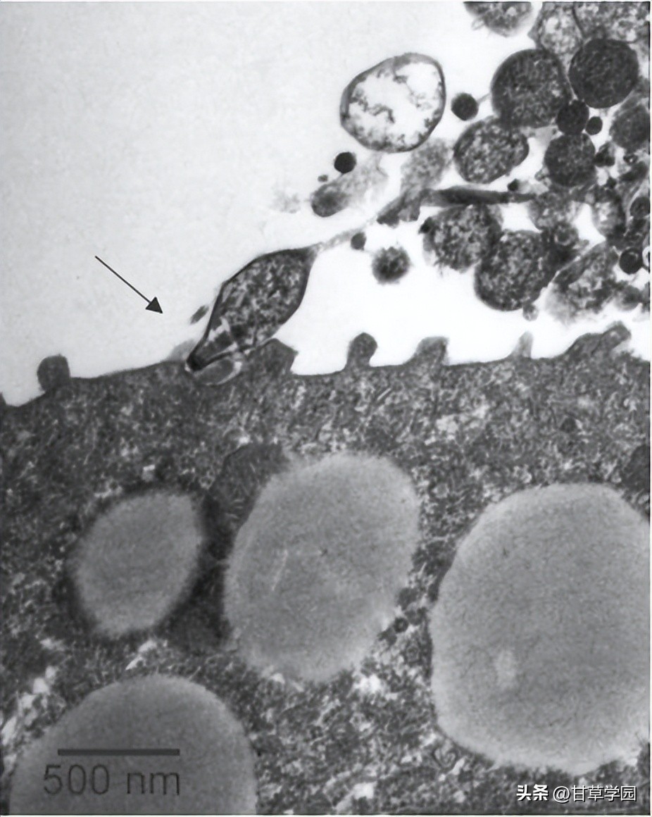
上图是肺炎支原体感染仓鼠气管环的透射电子显微照片,显示附着结构与上皮细胞的密切关联(箭头)。
这有些类似中医“湿邪”致病的特点——湿性粘滞,可致病情迁延。虽然MP本身具备了湿邪的特点,但感染人体后不一定表现为湿证,因为病邪作用于人体具体表现为何种证,还要取决于人体的体质。就像一个湿面团,放在温水里会变得更软更稀,放在0℃以下的环境里会变成冻面团,而放在热锅上,就会变成干馒头了。支原体感染的咳嗽患者,虽然都是干咳无痰或少痰,但有的患者是舌红少津无苔或苔少,也有不少患者是舌扁宽大、淡嫩、边有齿痕、苔薄。
四、MP损害气道黏液纤毛运输系统
气道可通过其黏液纤毛运输系统将有害病原体排出体外。MP的短棒状结构类似短的纤维或者乱麻,气管黏液类似灰浆,人体感染MP,类似灰浆中加入了纤维,其粘滞性增强,流动性降低,不利于病原体的排出。

治疗上应该让黏液更稀一点,让纤毛摆动更有力一点,让纤维更少一点,。前二者需要辩证,燥者润之,寒者温之,虚则补之;祛“纤维”(MP)首选西药阿奇霉素之类,其次黏液充分、纤毛摆动有力也有助于祛MP。

五、MP致病机制
MP通常存在于纤毛上皮之间而不侵入肺实质,通过吸附在宿主呼吸道上皮细胞表面,抑制纤毛活动,通过自身的代谢酶获取和分解营养物质,并在这个过程中释放分解产物,导致上皮细胞的损伤和坏死,从而引起支气管炎和肺炎等疾病。但MP本身并不产生外毒素。
通常认为MP致病的机制是:①MP对呼吸道上皮细胞的黏附及入侵;②MP定植对细胞造成损伤;③过度自身性免疫。这3种机制可能相互配合,共同参与了MP的致病过程。黏附、入侵及定植对宿主造成的损伤相对较轻,而过度自身性免疫是造成重症肺炎及肺外并发症的主要原因。

对于以上①、②,通常可通过增强免疫以促进机体清除MP;但对于③则通常不能一味地增强免疫,因为这可能造成更强的过度自身性免疫,造成更大的损伤,这也是为什么支原体导致的重症肺炎有时需要使用激素的原因,因为激素可抑制过度的免疫而减轻损伤。
六、中药在MP感染中的角色
1、治疗咳嗽。由于支原体感染往往引起顽固性干咳,这是中医治疗的强项,尤其是那些已经使用过阿奇霉素、多种止咳药、孟鲁司特钠、西替利嗪等药物后仍咳嗽的患者。因为这种咳嗽涉及多种机制,是多因一果的,且不同机制之间可能存在复杂关联,因此干预一个或几个机制往往效果不佳。中药具有多靶点干预的特点,适合治疗此类疾病。支原体引起的这种长期干咳,与中医的风咳类似,具体可参看前期《风咳1例》一文。
2、提高免疫力。有些支原体感染的患者久咳不愈存在免疫力低下的因素。在儿科门诊看到一些这类患者的血常规提示WBC、中性粒细胞或者淋巴细胞计数偏低,这种患者有些使用抗生素效果不佳,再次复查血常规仍发现上述指标低下。通过中药扶正治疗,上述指标就提高了,咳嗽也就好了。提高中性粒细胞以益气生血为主,如当归补血汤;提升淋巴细胞以补肝肾为主,如四物汤、龟鹿二仙胶。当然提高卫气功能还包括改善食欲,一些患儿食欲差,偏食,舌苔黄腻,通过中药调理,舌苔黄腻改善,食欲和食量增加了,中焦气血来源充足了,免疫力也就提高了。
3、修复气道损伤。无论何种呼吸道感染,都存在不同程度气道损伤,支原体也不例外。气道损伤包括黏液屏障破坏、纤毛损伤及摆动功能低下、免疫屏障功能低下、平滑肌损伤等。西医治疗这方面的问题不如中医有优势,通过益气、活血、温阳、养阴等方法可以促进损伤气道的修复,有利于疾病向愈。
4、调整整体状态。有些患者便秘、汗多、睡眠不好,体质存在偏颇的,通过中药调理也有助于整体状况的改善,整体好了,局部也有助于改善。
5、祛邪:虽然祛邪的强效药物是阿奇霉素之类的抗生素,但也会有耐药的情况。中药扶正有利于祛邪,也有专门祛支原体的专方——抗支口服液。该方组成:炙麻黄、石膏、杏仁、黄芩、射干、鱼腥草、僵蚕、地龙、重楼、炙百部、浙贝母、炙桑白皮、虎杖、芦根、甘草等。
参考文献:
[1] Waites K B , Talkington D F . Mycoplasma pneumoniae and Its Role as a Human Pathogen[J]. Clinical Microbiology Reviews, 2004, 17(4):697-728.
[2]王有鹏,王富春.抗支口服液对小儿咳嗽变异性哮喘肺功能和血清中IgE的影响[J].中医儿科杂志,2010,6(6):19-21.
I 原创声明
本文为甘草学园论坛医生原创,未经作者授权,严禁转载;
授权后转载请注明:来源甘草学园公众号、作者姓名;
文中方药仅供参考,请在专业中医师指导下辨证用药,切勿擅自试药!
I 甘草医生声明
本文仅供学习用,版权归相关权利人所有,如存在不当使用的情况,请随时与我们联系。
我们尊重原创,若您转载本文,请注明:来源甘草学园公众号、作者姓名。
若因版权纠纷、擅自试药等引发问题,后果自负。