你听说过“镜面人”吗?
全内脏反位(total situs versus,TSI)俗称“镜面人”,是指全部内脏的位置呈180°反位,反位器官功能正常,属于一种少见先天性畸形,发病率为1:60000-1:80000。通俗点来说,患者的心、肝、脾、胆等器官的位置发生了左右对调,犹如镜中影像。

为镜面人进行手术治疗
对操作医生的经验和技术都有更高的要求

低概率事件却被她碰上了
63岁的罗姨就是“镜面人”,更让她郁闷的是,近日她左上腹部疼痛难忍,眼睛和身体都有变黄的迹象——医生诊断,罗姨患上了恶性胆道梗阻。
罗姨来到了广州医科大学附属第二医院,在专家门诊找到了我院肝胆外科杨学伟教授。考虑到病情较重,罗姨被收住入院。随即,肝胆外科主任薛平教授组织了全科病例讨论,专家们最终决定行ERCP治疗,放置金属支架解除胆道梗阻。
ERCP做得多了
为镜面人做ERCP却是第一次
ERCP(经内镜逆行性胰胆管造影)已经成为当今胰胆疾病重要的治疗手段,由于不用开刀、住院时间短深受患者欢迎。广州医科大学附属第二医院肝胆外科早于1996就开展了该技术,并逐步将ERCP从单纯的胆总管下段取石发展到今天的肝内外胆管造影,胆道结石取石,胆道肿瘤引流和ERCP下的各种腔内手术:腔内消融技术,支架置入技术等,现每年完成的ERCP数量400台以上,居全省之首,但全内脏反位恶性胆道梗阻在医院应用ERCP治疗尚属第一例。国内外文献报道非常少,仅为个案报道。
“平时技术再熟练,这种情况也有可能会犯错。”薛平教授说,医生的操作习惯和技巧、手术器材等,都是按正常人的内脏方向进行操作,现在所有的习惯都要反过来,增加了手术的难度,对操作医生的经验和技术都有更高的要求。

调整手术方式
成功为患者解除梗阻
手术由薛平教授、杨学伟教授和曹良启教授共同操作完成 。手术在全麻下进行,采用常规左侧俯卧位。
因患者特殊的解剖结构,给内镜下的治疗带来了意想不到的情况。内镜过贲门后见胃粘膜皱襞走行与平时所见相反,沿胃壁走形找到幽门,过幽门口后镜头向下、进境、右旋,到达十二指肠球部,根据肠道走形,向左侧弯曲,内镜向左轻旋、进入十二指肠降段,发现十二指肠乳头,拉直内镜,调整、固定位置和轴向。导丝配合切开刀沿乳头11 点钟方向插管,导丝进入管道,轻点造影剂证实为胰管。考虑全内脏反位,遂将导丝引导切开刀沿乳头1 点钟方向插管,顺利进入胆道,造影显示肝总管至胆总管上段梗阻,长约2cm,肝内外胆管扩张,直径约1.0cm。

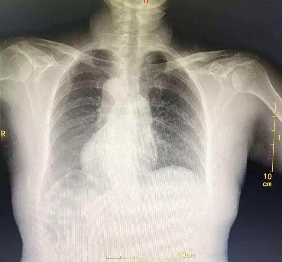
患者的影像结果显示,心脏位于右侧

CT提示:全内脏反位

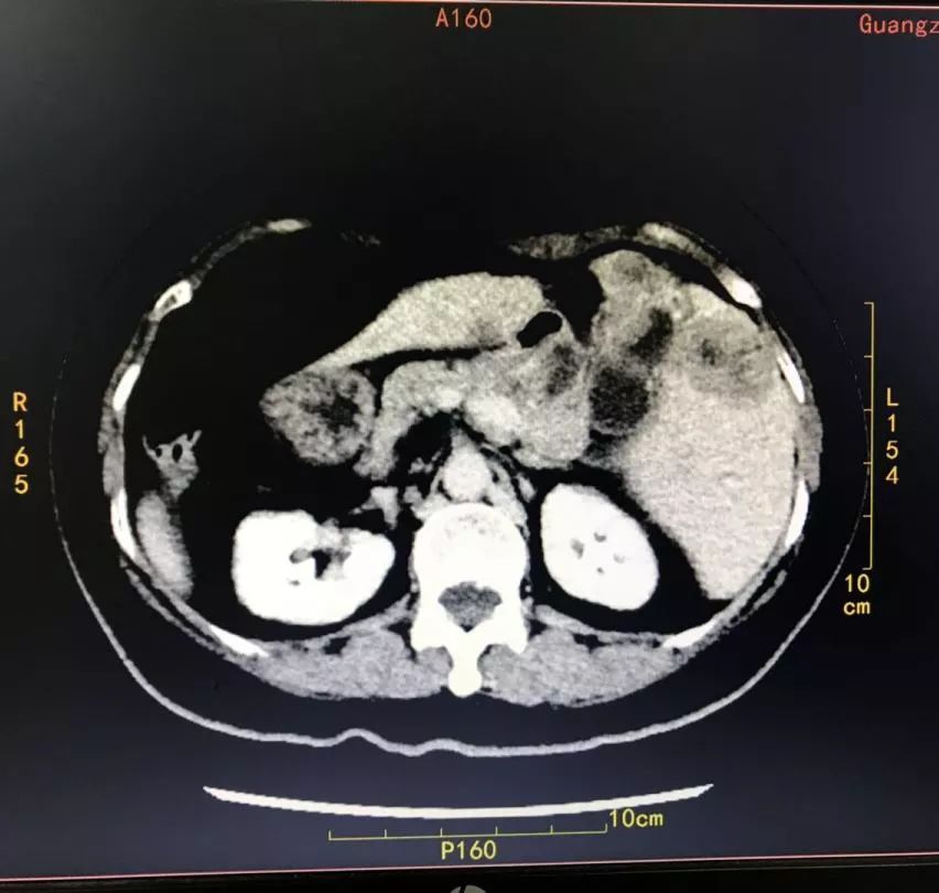
CT提示:胆囊癌伴肝内多发转移

造影示:胆总管上段梗阻
沿11点方向切开十二指肠乳头约0.3 cm,见墨绿色胆汁涌出。保留导丝,经导丝置入一8mm×60 mm无覆膜胆道金属支架,支架下端位于乳头开口下方1.0 cm处,支架上端过狭窄段约2cm,见有大量脓性胆汁涌出。内镜操作顺利,麻醉满意,未出现出血,穿孔、胰腺炎等并发症。

内镜示:肠内支架引流脓性胆汁

造影示:支架位置良好
术中进镜困难、插管方向及切开方向变化等等困难均被一一克服,看着棕黑色的胆汁顺利流入肠道,术中的担忧、紧张,均被成功冲散。患者术后退黄明显,术后第二天白细胞下降至正常水平,退烧,可以进流质饮食,手术效果非常明显,5天后即康复出院。
“镜面人” B超CT等 都能判断
医学上对“镜面人”现象的成因还没科学定论。“镜面人”虽然内脏错位,但生理功能与正常人一样,对生活没有太大影响。不过“镜面人”若未及早发现,就医时极易引发误诊,甚至因此延误救治。

临床上常规的B超、CT检查等都能帮助判断是否为“镜面人”,市民一定要重视体检,知晓自身健康状况。一旦发现自己为“镜面人”,应明确告知身边人,平日可随身携带情况说明的纸条或标签,以便意外突发时尽早让医生知道。
专家简介

薛平
肝胆外科教授,主任医师,硕士生导师
专长:肝胆外科疑难病的诊治,肝癌、胆管癌、胰腺癌、肝胆管结石等疾病的诊断与手术治疗,特别专长是擅长内镜ERCP微创技术在肝胆胰疾病中的应用及研究。
门诊时间:星期四上午,星期五下午

来源 | 肝胆外科
编辑|广医二院全媒体工作室
昌岗院区(本部):广州市海珠区昌岗东路250号
番禺院区:广州市番禺区亚运南路63号
西院区:广州市海珠区工业大道中广纸路21号
医院网址:www.gyey.com
觉得好看,请点这里