日常接诊中碰到了不少慢性肾病的患者,症状有轻有重,超声检查的声像图特点也是各有差别,今天就跟大家聊聊慢性肾病相关的话题。下面还是通过病例为大家解读。

先简单介绍一下该患者的病史,老年女性,本次入院是做治疗,进行透析,所以该患者的病情已经发展到了一个严重的阶段,尿毒症,这属于第5期了,最严重的一个阶段了,咱们先看这个病例,后面在具体说,上述超声报告描述可以得知双肾明显缩小,形态尚可,肾脏的皮髓质界限已经分不清楚了,变得模糊了,肾实质回声偏强,重要是的肾脏的血流已经明显变得稀疏了,血流减少了。咱们先看图片,一会再解释。

左肾大小为6.9*4.9cm,周围的皮质结构和中间的髓质结构已经分不清楚了。

稀疏的血流信号
可能这么看大家还是看不出来区别,因为没有对比,那下面再给大家分享几张正常成人的肾脏图片,区别立马就出来了。

左肾大小10.5*5.2cm,图中周围低回声的就是肾皮质结构,中间高回声的是髓质结构,分界非常清楚。

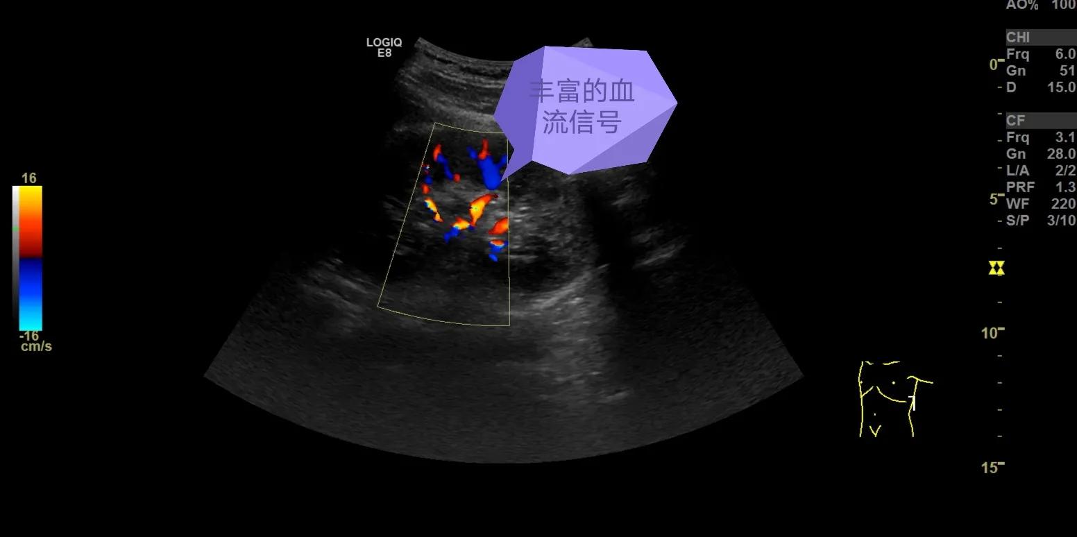
正常的肾脏血流非常丰富,呈树枝样分布。
通过上面四幅图大家就可以明显明显的看出差距了,从肾脏大小,到结构,到血流,一目了然。我们先来看看大小,正常肾脏长径9~12cm,宽径5~6cm,厚径4~5cm,本例患者肾脏长径才7cm左右,明显低于正常值,厚径还可以。肾脏是由肾皮质和肾髓质构成,正常情况下肾皮质为低回声,肾髓质为高回声,所以皮质和髓质分界非常清楚,慢性肾病的时候随着病情的严重程度不同,超声的表现也不同,本例患者已经到了尿毒症期,所以皮髓质界限已经模糊不清,另外正常情况下肾皮质的厚度为7~10mm,而本例患者通过图像我们可以发现肾皮质明显变薄,此外肾脏的血流也变得稀疏。

慢性肾病患者,肾实质结构已经分辨不清,皮质明显变薄,同时合并有多发的肾囊肿。
下面再给大家简单说一下什么是慢性肾病,就是临床中各种肾病,比如肾小球肾炎、肾盂肾炎、肾病综合征、狼疮性肾病等各种肾病迁延难愈,时间超过了3个月的时间,一直不好,同时患者的尿液和血液检查出现了指标的各种异常,肾脏的病理学或者是影像学检查发现了异常,肾小球有效滤过率指标率<60%,我们都可以统一的称为慢性肾病。临床上慢性肾病一共分为5期,主要是通过肾小球滤过率来进行分期,一期:肾小球滤过率>90ml/min,病人有血尿、蛋白尿的表现。二期:肾小球滤过率60~90ml/min,患者有肾病。三期:肾小球滤过率30~60ml/min,这种情况不管患者有没有肾病其他表现都属于3期。四期:肾小球滤过率<30ml/min,通常是15~30ml/min。五期:尿毒症,肾小球滤过率通常<15ml/min。
上述就是慢性肾病的一个临床分期,它是一个疾病不断进展的过程,其主要的病理生理改变就是肾小球硬化、肾小管萎缩、肾间质纤维化等。本期的解读就到这里,如果大家还有疑问的可以评论区留言,我会为大家一一解答,咱们下期再见。