虽然口腔科越来越专业,技术也越来越普及,但大家对牙齿认识还是有许多误区,导致错过最佳就诊时机,今天美小奥就把这些常见的误区整理了一个合集,希望大家看到后能够及时引起重视,花小钱就把口腔疾病扼杀在摇篮里。
1 刷牙经常流血,一定是刷牙太大力了?
刷牙流血多数是因为牙龈炎(牙周炎)导致,但很多人误以为是因刷牙太大力损坏牙龈导致的流血,因此刷牙的时候有意识地避开牙龈,导致刷牙更加不到位,令牙龈周围的环境越来越糟糕,导致牙龈炎(牙周炎)继续恶化。

正确处理方式:去大医院的牙周科及时就诊,及时治疗,然后科学护理牙齿。牙科医生也会有经验的限制,一般大型三甲医院医生全科的时候接触的病例比较多,对情况的判断更加精准,尤其是牙周科,才是对症科室,牙周炎就不建议去小诊所看了,很多小诊所看都看不出牙周炎,自然就没有合理的治疗和建议了。
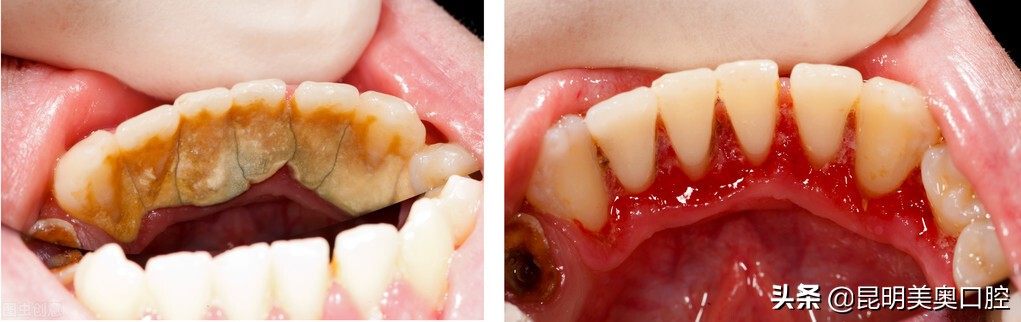
2 洗牙后牙缝增大及牙齿酸软,一定是洁牙时洗坏了我的牙?
有些人终于下定决心去洗掉了几十年的老结石,但洗完之后牙齿酸软、牙缝也变大,感觉自己完全是在花钱买罪受,认为是洁牙弄坏了牙齿,导致牙缝变大,决定以后再也不洁牙。

其实是没有洁牙前大量的牙结石在牙根附近堆积,当洁牙去掉牙结石后,牙根重新外露,所以就会有牙缝变大的错觉,同时伴有敏感情况,持续3-4天症状就会慢慢减轻。
但不去掉牙结石,会持续刺激牙龈,最终导致牙根暴露,牙齿松动、疼痛,甚至脱落。
正确处理方式:去专业的口腔医院进行洁牙,并在洁牙后给牙医检查一下口腔情况,确认一下是否有牙周炎和龋齿这些,如果有牙周炎及时进行龈下刮治,不然只清理牙体上的牙结石,会加重不适。
3 少了一颗大牙,还有剩下的,而且别人也看不到,不需要镶牙

缺少了一颗大牙,会影响咀嚼的效率,容易滋生细菌、增加蛀牙及牙周病风险,而且会导致邻牙倾斜生长或移动,对称牙伸长,以后想要镶牙,也失去了空间,所以牙齿缺失,尤其是后牙,要及时进行修复,至于是固定桥还是种植牙,根据自己的经济情况进行选择就好。
4 小朋友乳牙蛀牙,不用管,因为乳牙会替换?

有些人认为小朋友的牙齿会换,所以蛀牙不用管。但恒牙和乳牙的更替是一个漫长的过程,一直到12、13岁才能够完全完成这个过程,如果乳牙过早地脱落,可能会导致恒牙畸形,一个是对口腔健康不好,还会对孩子的颜值造成一定的影响,而且牙齿矫正费用不低,不如及时去补了蛀牙,几百就能把花更多钱的机会扼杀在摇篮里,何乐而不为呢?
5 孕妇牙齿出现问题,是宝宝吸收了身体的钙,导致的
很多人认为孕期容易坏牙和蛀牙,是因为宝宝吸收营养的原因,其实不是,孕期的急速分泌发生变换,内分泌紊乱会造成牙齿的问题,而且孕期饮食习惯发生改变,加上孕吐,多方面的因素导致了牙齿容易出现问题。

正确处理方式:在备孕的时候,就去做全面的口腔检查,清理好口腔,然后科学清理口腔,为安全度过孕期提前准备。
6 不能拍牙片,因为没有需要,而且还有辐射

通过牙片,能够清楚地看到肉眼看不到的口腔内部情况,不如蛀牙的范围、牙痛的原因以及其它治疗的基础条件是否吻合,在口腔检查的过程中,拍片是必须的。按照国际标准,每人每年可以接受200张口腔内科X光照相,所以牙科X光检查辐射是非常低的。
7 补了牙齿就放松警惕,以为不会再出问题了

补牙并不是永久有效的,正常的牙齿都会出现蛀牙的情况,更何况是已经蛀过的牙齿?所以补过的牙齿也是会出现继发龋的,所以一定要好好做好口腔卫生护理,补牙材料脱落后也要及时补上,避免继发龋的发生。
8 年纪大了,不能再进行牙齿矫正了

事实上,牙齿矫正没有年龄限制,只有牙周情况限制,目前临床上最高龄的牙齿矫正患者是71岁,数据可能还在持续更新,而针对成年人,现在有推出隐形矫正和舌侧定制矫正,都可以很好的做到隐形牙套的效果。
9 牙齿不好了,医生帮我把牙齿镶得好(全口假牙),我就可以吃香喝辣啃骨头了

全口假牙跟截肢患者戴的假肢一样,戴上还是会影响使用,不能奔跑跳跃,所以全口假牙也只能支持你吃一般的食物,不过目前全口种植牙还是效果不错,做了也可以吃饭香一些呢。但任何假牙都不能像真牙一样用起来好,这个是肯定的。
正确的处理方式:从年轻开始就要科学护理口腔卫生,减少牙齿脱落的风险。
牙齿最基本,也是最省钱的做法是从娃娃抓起,从6个月开始长乳牙开始就有一个良好的口腔卫生习惯,给我们牙齿好一些的呵护。