治愈是癌症患者最、最、最渴望的事情,然而现实残酷,以目前治疗手段只有一少部分患者存在治好可能,肺癌亦如此,绝大多数病人还是不能治好的。肺癌患者能活多久?这与许多因素都有着密切关系,具体情况不同生存时间存在差异,没有准确的时间点。

①目的
肺癌分为小细胞肺癌和非小细胞肺癌,小细胞肺癌生物学特性恶度大,除一些很早期的病人存在治愈的可能,大多病人会在很短时间内复发、转移。非小细胞肺癌占所有肺癌的85%左右,早期、Ⅰ期病人经过手术治疗后5年生存率达到80%左右,其中许多人是无病生存超过5年,这就有可能超过10年、20年……,治好也就有可能了,只是目前我们还无法准确预知哪些Ⅰ期患者可能治好。
肺癌进入中晚期治疗目的已不再是治愈、治好,一般情况下疾病会以不同的速度恶化,我们治疗的目的是延缓癌症发展的脚步,提高病人的生活质量,减少些症状、不适。换句话说肺癌中晚期一般是治不好的。
②生存时间
某女、肺腺癌,2009年、46岁时以咳嗽发现左肺下叶腺癌,胸水形成、无法手术。加入“吉非替尼”临床研究,1年后耐药,间断化疗多次,病情一直稳定。2016年底肺部肿瘤增大,基因检测后,T790M存在突变,9291(非正版)治疗两年,生活自理,还做了一段时间的保洁员。近日说话声音嘶哑,复查CT片左下肺肿瘤还很小、没有胸水,纵膈淋巴结肿大……,这例肺腺癌病人发现时即是晚期,一直不断治疗,目前生存时间快10年了。

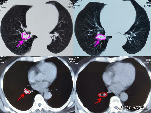
上图是某患者初诊肺癌时的胸部CT,肿瘤不大,如果此时手术,生存时间可能要好很多,很遗憾,采取了“中药化疗”,2018年11月胸闷气短,检查CT发现气管隆突处肿瘤堵塞主支气管,如下CT图。

这时如果给予介入支架等办法,病人有可能还会持续一些时日的,很遗憾病人在憋闷、痛苦中度过了最后半个月。
肺癌病人能活多久?与疾病的分期、组织分级以及病人的年龄、体力状态、合并症等等都有着密切关系,这些是客观因素,治疗是我们能改变生存时间的主观因素,科学抗癌,争取最长的生存时间。
肺癌近些年治疗进展很快,尤其肺腺癌治疗领域,靶向治疗已普及,免疫治疗也迅猛加入。如不幸罹患肺癌,不要悲观失望,客观、准确地评估病情,选择最适合的治疗方法,以期最好的效果。我是@刘永毅医生 ,感谢您的阅读!601