近日,一个风雨交加的夜晚,一名1岁5个月大的小男孩被送到了益阳市中心医院,一直哭闹不止。
小男孩母亲说,他从中午开始就这样了,其间还吐过两回,下午解了一次酱油样的大便,精神状态也慢慢地变差了。

(网络图,仅供参考)
小男孩在家吃了感冒药也不见好转,家人急急忙忙赶往镇里的卫生院就诊,在打了吊瓶后,病情还是没有得到任何缓解,反倒是哭闹更加频繁,爷爷奶奶都慌了,这才急忙将他送到益阳市中心医院就诊。
经过益阳市中心医院小儿外科医生仔细检查后发现,原来宝宝的病因是一段肠管套入另一段肠管里,玩起了“*猫猫躲**”的游戏,这种情况又叫“肠套叠”。

(网络图,仅供参考)
益阳市中心医院普外科二病区小儿外科的空气灌肠设备,就是专门用来对付这些“*猫猫躲**”的肠子。
在儿外及放射科医生的紧密配合下,把空气灌入结肠,在X光机监视下,那段“躲”起来的肠子立刻显出了原型,这样总共不到30分钟就把“*猫猫躲**”的肠子给“揪”了出来。结束了“*猫猫躲**”的游戏后,小男孩很快就恢复了健康。
什么是“肠套叠”?
肠套叠是指一段肠管及其相应的肠系膜套入邻近的肠腔内,导致肠内容物通过障碍而引起的急性肠梗阻,是婴幼儿期最常见的急腹症之一。
临床上常见的是急性肠套叠,慢性肠套叠一般为继发性。以4~10个月婴儿多见,2岁以后随年龄增长发病逐年减少。男女患病之比为2~3:1。
肠套叠一年四季均有发病,以春末夏初发病率最高,可能与上呼吸道感染及病毒感染有关。在我国发病率较高,占婴儿肠梗阻的首位。

(网络图,仅供参考)
“肠套叠”的临床表现
阵发性哭闹、呕吐、果酱样血便、腹部包块。全身状况依就诊早晚而异,早期除面色苍白、烦躁不安外,营养状况良好。
晚期患儿可有脱水、电解质紊乱、精神萎靡不振、嗜睡、反应迟钝等症状。发生肠坏死时,有腹膜炎表现,可出现中毒性休克等症状。
“肠叠套”的类型
根据套入部最近段和鞘部最远端肠段部位将肠套叠分为这几型:①小肠型(空空型、空回型和回回型);②回盲型; ③回结型; ④结肠型; ⑤复杂型(少见)。

(网络图,仅供参考)

(网络图,仅供参考)
“肠叠套”如何治疗?
治疗上,小儿急性肠套叠分非手术治疗和手术治疗两种。
非手术治疗包括X线下空气灌肠、钡灌肠复位和超声监视下水压灌肠复位,其中以空气灌肠复位临床施行时间最早、范围最广,广受患儿家属所接受。

(网络图,仅供参考)
空气灌肠复位法的适应证和禁忌证
(一)适应证
肠套叠在48小时内,全身情况良好,无明显脱水及电解质紊乱。无明显腹胀和腹膜炎表现者。
(二)禁忌证
1、病程已超过48小时(少数病例不到48小时),全身情况显著不良,如有严重脱水、精神萎靡、高热、休克等症状者。
2、腹部异常膨胀,腹部腹膜刺激征者,X线腹部平片可见小肠严重积气,并有多数张力性液平面者。
3、试用空气灌肠如逐步加压8.0,10.6,13.3kPa(60、80、100mmHg)而肠套叠阴影仍不移动、形态不变者,应放弃空气灌肠改用手术治疗。
4、多次复发套叠,高度疑有器质性病变者。
5、小肠型肠套叠。
6、3个月以下婴儿肠套叠。

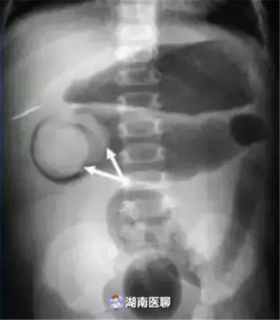
(空气灌肠中可见套叠肠管头部)

(套头达降结肠远端, 势必增加灌肠整复难度)
“肠叠套”完全复位的鉴定
1、拔出气囊肛管后,小儿排出大量臭气和一些紫红色黏液,并夹带大量黄色粪液。
2、患儿很快入睡,不再有阵发性哭闹及呕吐。
3、腹部平软,已触不到原有肿块。
4、碳剂试验:口服0.5~1 g活性炭,6~8小时后由肛门排出黑色炭末。
(编辑Anne)
湖南医聊特约作者:益阳市中心医院 夏威
湖南医聊每日分享健康科普资讯,欢迎关注点赞转发。