牙周病是我国临床口腔科比较常见的一种疾病,也是导致成年人牙齿丧失的主要口腔疾病。
2005年全国口腔健康流行病学调查结果显示,我国成年人患有不同程度牙周疾病者占80~97%,35~44岁人群发病率为97.3%,65~74岁人群发病率为88.7%。世界范围内,中年以上人群牙周病发病率在8%~30%。

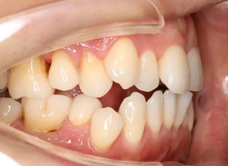
牙周病主要临床表现为牙龈炎症、出血、牙齿松动及移位、牙槽骨吸收、形成牙周袋及咀嚼无力等,发病原因主要是由于患者牙齿周围支持组织被破坏。
进而导致患者牙齿松动和(或)移位等现象,其中尤以前牙移位最为常见,牙间隙逐渐增大,若不及时治疗或治疗方式不当,病情进一步加重。
严重破坏牙齿周围支持组织,不能支持牙齿的稳定和正常附着,造成唇向散开、牙齿倾斜、扭转、畸形、伸长等改变,部分患者前牙脱落,严重时患者可出现嘴唇倾斜等面部畸形。

不仅对患者牙齿咀嚼功能和颜面美观造成影响,影响患者的心理健康,还会导致咬合创伤,加重牙周组织的进一步破坏,给患者带来极大的痛苦和心理阴影。
口腔卫生宣教
口腔不良卫生是诱发牙周病的主要因素之一,因此,口腔卫生宣教是预防牙周病发生的关键,通过口腔卫生宣教,减少牙周病发生、发展及牙周病复发。
一般基础治疗时,首先进行口腔卫生宣教,其也是在治疗牙周病之前必须对患者进行的牙齿健康教育,如果没有口腔卫生宣教,开展后续治疗结束后,患者牙齿表面很快出现新生牙石导致牙龈出血,增加感染机会。

口腔卫生宣教的目的主要为控制牙菌斑,让患者了解牙周病发生的原因、临床常见症状,同时还必须告诉患者牙菌斑的有效控制方法,如刷牙注意事项等。
正确使用牙刷和牙间隙刷是有效控制牙菌斑的方法,必须让患者掌握。
通过口腔卫生宣教,普及牙周保健常识,保持口腔卫生,防止或减少牙周病发生、发展及复发。
因此,口腔卫生宣教是牙周病基础治疗第一步,可以提高后续效果,在牙周病基础治疗时具有重要意义。

龈上洁治、龈下刮治
根据患者病情选择龈上洁治、龈下刮治、打磨牙齿根面、去除龋齿和不良修复体、牙周袋冲洗、修复牙周及牙髓病变组织等治疗,对患者口腔不良修复体和牙周病变组织进行一次全面的清除,修正患者牙周及根面。
龈上洁治是采用洁治器除去牙龈上牙结石、牙菌斑及牙齿表面沉积的色素,之后抛光牙面。
由于超声洁治后牙齿表面留有划痕和不易清除的细小色素等,因此,洁治后最好进行抛光,抛光后牙齿表面不易堆积牙菌斑和牙结石,还可以减少出血,牙齿更加美观。

龈下刮治是采用刮治器除去附着在牙周袋内牙根面的牙结石和牙菌斑。
按照治疗频次可以分为一次性刮治和分区段刮治,研究发现两种刮治频次的牙龈指数、菌斑指数、探诊深度、探诊出血及是否发生全身急性炎症反应等指标无明显差异,但是一次性刮治更有利于牙菌斑的控制,可以更好的消除治疗后短期不适。
张封媛等曾调查患者对一次性刮治和分区段刮治的满意度,调查结果显示采用一次性刮治患者在诊疗时间和治疗后舒适度方面满意度高于分区段刮治,治疗后复查率明显高于分区段刮治。

初步可以认为:一次性刮治时间较短、患者痛苦较少,操作简单,进行一次性刮治、后期多次复查是龈下刮治较好的选择,但是医生还是需要根据患者具体情况选择具体的治疗频次。
按照刮治方法可以分为手工刮治和超声刮治,手工刮治是采用手工方法通过刮治器除去牙周袋内牙根面的牙结石和牙菌斑,对技巧和技术要求比较高,超声刮治省时省力,带有冲洗作用,临床应用日益广泛,但是手感不如手工刮治,可能会造成喷雾污染。
周秋萍、筒永平等对两种刮治方法的牙龈出血指数、牙菌斑指数、牙周袋深度及牙周附着水平等方面进行对比,结果显示两种刮治方法的临床效果没有显著统计学差异(P>0.05),但是超声刮治操作时间明显缩短。

陈美华等报道在牙周袋深度相同的牙周病患者龈下刮治时,超声刮治效率优于手工龈下刮治,但是随着牙周袋深度的加大,超声刮治的效率下降更为明显。
对比超声刮治和手工刮治牙根面粗糙程度发现超声刮治牙根面更为光滑。
辅助药物治疗
必要时给予药物治疗,防止病情反复,严重时需要配合手术治疗。单纯性牙周基础形得不到有效治疗,但是在改善牙周健康指数、稳定牙周组织、控制牙周病的进一步发生、发展方面还是有不可否认的价值的。

牙周基础治疗的目的是及最大可能消除牙周病致病因素,控制炎症,终止疾病的发生、进展。
牙周基础治疗时,根据患者病情发生、发展情况,适当时需要结合药物治疗,药物治疗是牙周病基础治疗的一种辅助手段,主要作用是杀灭或控制微生物的繁殖。
迅速消退炎症、控制感染、促进牙周组织愈合,根据患者自身情况及疾病的发展程度,药物治疗给药途径可以选择局部用药和全身用药两种方式。

局部用药可以采取含漱、涂布、冲洗等,如复方氯己定含漱液、复方茶多酚含漱液、复方土霉素甘油、四环素透明质酸凝胶等,这些药物给药后作用于牙周组织。
改善牙周微生态环境,主要作用一般是消除或杀灭致病菌,减少菌斑附着、消除炎症、促进牙周组织愈合、稳定牙周组织,局部用药用量一般较少,局部给药后牙周组织药物浓度较高,效果较明显。
然而,对于病情较重、患者体质较弱或伴有全身心脑血管、呼吸、循环系统疾病的牙周病患者或局部给药效果较差,容易造成全身感染时必须选用全身用药,全身用药药物主要包括抗厌氧菌药物如甲硝唑等。

如β内酰胺类,必要时联合用药,既可以增强治疗效果,有可以减缓耐药菌株的产生,但应注意交差过敏的发生。
此外,某些中药对牙周病也有一定的治疗效果,如知柏地黄丸、补肾固齿丸、中药五倍子及清热活血的中药复方制剂等,通过对全身身体机能的调节作用。
提高机体免疫力,改善牙齿局部微循环,促进炎症消退,进而改善牙周状况,有些方剂还可以提高成骨细胞活性,增加骨密度,促进齿骨再生,加快牙周组织的修复速度。

牙周病基础治疗时治疗牙周病的第一阶段,经过基础治疗后,患者牙周炎症消退、牙龈恢复正常色泽,牙周健康得到很大的恢复。
松牙固定术
牙周病发展到一定程度可以导致牙齿松动,牙齿松动后患者明显感觉口腔内不适、牙齿咀嚼功能下降,容易继发咬合创伤,对牙周组织修复不利,因此需要对松动的牙齿进行固定,提高患者牙齿咀嚼功能,并利于后期治疗。
轻度牙齿松动后进行单纯的牙周基础治疗就可以有效改善其松动度,而对于较为严重的牙齿松动,单纯的牙周基础治疗对其松动度的改善程度不明显。

牙周病基础治疗后对牙周组织的影响
单纯性牙周基础治疗后,可以减轻或者消除牙周局部炎症,恢复牙龈色质和口腔自洁功能,效果显著。
牙周健康指数(包括探诊深度、探诊出血位点百分比、临床附着丧失)等均有明显改善,可以有效的控制牙周疾病进一步发展。查阅相关文献发现,目前对于牙周基础治疗通常集中在基础研究,对治疗前后菌群分布变化、相关炎性因子及代谢物的研究较多。
治疗前后菌群分布变化:多数研究者认为牙龈下致病菌有多种,经过相应治疗后致病菌数量减少可以改变牙龈下组织微环境,患牙易感性降低。

一般常用的治疗手段为全身或局部应用抗生素,但是仅仅依靠抗生素的应用并不能彻底的消灭致病菌,所以还需要结合其他辅助手段进行治疗,治疗过程中保持口腔卫生也是治疗成败的关键。
研究表明经过牙周基础治疗后,患牙根面链球菌在1~2个月内无明显变化,3个月时数量明显降低。
有研究报道在进行牙周基础治疗后伴放线放线杆菌与治疗前无明显差异,福赛斯坦纳菌和牙龈卟啉单胞菌数量明显降低,牙周袋底球菌比例明显增加,螺旋体和杆菌数量明显降低。

以上研究说明牙周病经过基础治疗后,牙周袋及牙周组织局部致病细菌数量或比例降低,致病菌和非致病菌菌群重新分布,牙周炎症得以消除,牙周健康得以顺利恢复。
也告诉我们在牙周基础治疗期间,配合必要的药物辅助治疗对疾病的控制有一定疗效。牙周组织致病菌可以产生挥发性硫化物等毒性代谢产物,不但可以引起口臭,还会导致牙周组织的破坏。
有研究报道代谢产物挥发性硫化物水平高低与牙周炎症严重程度和牙槽骨破坏程度有密切联系。牙周病经过基础治疗后,检测到的挥发性硫化物水平明显低于治疗前,说明病情得到有效控制。

也有报道显示牙龈沟液内天冬氨酸转移酶含量也可以反映牙周病经过基础治疗后的临床效果。
结语
牙周病患者首先接受牙周基础治疗,也是对牙周病患者较为有效的治疗手段,期间辅助配合适当药物局部或全身治疗,可以修复牙周组织,牙周袋变浅,降低出血指数,明显改善牙周状态。
然而正畸联合治疗有利于牙菌斑控制和牙槽骨重建,可以恢复牙龈形态,恢复正常的覆牙合、覆盖关系,牙周袋变浅,改善牙周状况,使前牙排列整齐,有效矫正前牙移位现象,改善牙周病患者咀嚼功能和面部美观,操作简单、治疗时间短。