“不作死”一般不会有牙髓炎
牙髓炎一般是由龋齿发展而来的。当牙齿龋坏后,长期不进行治疗处理,病菌感染到牙髓腔内的牙髓组织,导致牙髓渗出,于是牙髓炎这不就来了吗。

出现这几个症状,可能是牙髓发炎了
一般情况下,牙髓炎有急性和慢性之分,所表现的症状也存在一定区别:
- 急性牙髓炎,一般情况下会突然剧烈疼痛,尤其是晚上更容易出现;疼痛严重的还会导致患牙区侧头面部同时出现疼痛现象;对于温度、叩击等会出现刺激性疼痛。
- 慢性牙髓炎,一般情况下没有自发性疼痛,但是对冷热、食物嵌塞等情况会存在刺激疼痛感。

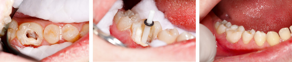
出现牙髓炎要如何治疗?
一般情况下,牙髓炎治疗,根据龋坏程度以及牙髓感染情况进行不同治疗。 如果能够保留牙髓和患牙,会进行盖髓术和牙髓切断术;如果牙髓感染严重,需要去除牙髓,进行根管治疗。
