
随着人口老龄化及人们对生活质量的重视,骨质疏松症日渐成为困扰老年人的一个社会问题。老年性骨质疏松及其引起的骨折给医学及社会带来的难题也越来越受到重视。骨质疏松症的发病率已经跃居世界各种常见病的第7位。骨质疏松性骨折是骨质疏松症的严重后果,而骨质疏松椎体压缩性骨折(OVCF)又是其最常见的骨折。椎体压缩骨折可导致患者慢性背痛、失眠、活动减少、意志消沉、甚至生活难以自理。它严重危害人们的健康,被称为无声的流行病。我国目前的老年人口约1.3亿人,60岁以上的老人每年以3.2%的速度增长,老年性(超过60岁)骨质疏松症发病率,男性为60.72%,女性为90.84%。每年大约有700,000例与骨质疏松相关的椎体骨折。16%女性和5%男性会出现有症状的椎体骨折。
骨质疏松性椎体骨折是如何发生的呢?
正常人的椎体主要由小梁骨构成,它们纵横交错形成椎体的初级结构。当外力作用于脊柱时,产生压缩力通过椎间盘传导到椎体终板,由小梁骨中心向四周扩散,在椎体内部形成应力,一旦应力超过小梁骨能承受的强度,小梁骨的结构就会破坏,失去稳定性,局部的裂隙进一步发展就会发生椎体骨折。

骨质疏松性椎体骨折后会有哪些表现呢?
1、腰背痛,腰背部疼痛为OVCF最主要的临床表现,是患者就诊的主要原因。骨折后,大分患者腰背部出现急性疼痛,疼痛部位即伤椎处,翻身时疼痛明显加重,以至不能翻身,不敢下床。除此之外,还有部分患者除了表现骨折部位的局限性疼痛外,常表现为沿骨折部位神经走行的放射痛。腰背部压痛的同时伴有胸前、腹前区及髋关节,大腿等部分疼痛。

2、驼背畸形,由于患者早期未制动,常导致骨折椎体继续压缩变扁,骨折愈合差,发生进展性脊柱后凸畸形,即我们常说的驼背。

3、腰背部的慢性疼痛及身高下降,背部肌肉的痉挛和抽搐:部分患者由于骨折部位疼痛,患者长期保持疼痛最小的体位,背部肌肉长时间痉挛,翻身或屈伸疼痛加重时,可发生抽搐。大部分患者出现骨折部位棘旁疼痛和压痛,部分患者骨折部位疼痛、压痛不明显,表现为骨折部位以下棘旁疼痛及压痛,如胸腰段椎体压缩骨折,表现为下腰痛,患者由于腰背部疼痛,下腰段肌肉长时间痉挛,肌肉疲劳,引起远离骨折部位的疼痛及压痛等。

4、其他表现:如肺活量减少,呼吸功能障碍,腹部受压-食欲减退,腰椎前凸增大-椎管狭窄、腰椎滑脱等,健康状况恶化,失眠和抑郁症等等。
骨质疏松性椎体骨折后我们该做哪些检查呢?
体格检查
大多患者会出现明显胸背部或腰背部脊柱正中的压痛和叩击痛,同时注意是否伴有肋骨骨折。
影像学检查
影像学检查是诊断OVCF的主要手段。
(1)X线片:X线片作为一种传统的检查方法,可用于评估有症状的骨质疏松患者,骨折患者可表现为椎体变扁、楔形变、或椎弓根受损。

(2)MRI:可更准确地评估有无椎管压迫及骨折的新鲜程度,也是目前比较主要的检查。椎体内新鲜骨折所致的水肿表现为T2像和短T1反转恢复(STIR)序列信号增强及T1像信号减弱。一定要拍脂肪抑制像,以鉴别是否为新鲜骨折、肿瘤或是椎体内脂肪岛。

(3)DXA检查:骨密度检测对于早期诊断骨质疏松,评估再发骨折风险及指导治疗有重要意义。目前采用双能X线吸收仪(DXA)测量腰椎和髋部的骨密度是诊断骨质疏松症公认的金标准。

骨质疏松性椎体骨折后我们该怎么治疗呢?
目前,OVCF的治疗方法包括保守疗法和手术疗法。手术疗法包括微创手术和开放手术。保守疗法包括卧床休息、药物镇痛、支具外固定等。但是保守治疗无法纠正脊柱畸形,且患者常存在较长时间的腰背痛。目前没有研究表明,保守治疗中各个方法的治疗时间与疗效的关系,如卧床时间与骨折愈合的关系等。无论哪一种治疗方法,都需要与抗骨质疏松治疗相结合,才能从根本上提高骨量及骨强度,减少再次骨折的发生率。
保守治疗
1.保守治疗的目的包括:缓解疼痛;早期活动;维持脊柱的矢状面和冠状面稳定;预防晚期的神经压迫。
2.应用镇痛剂及支具来控制患者的症状。可持续应用阿片类镇痛剂直至患者可以耐受负重。治疗骨质疏松用的降钙素鼻*剂喷**及双膦酸盐可有效缓解骨折相关的疼痛。
3.限制活动及卧床休息常可改善症状。
4.药物治疗。(1)抑制骨吸*药收**物:包括双磷酸盐类(阿仑膦酸钠,唑来膦酸钠等)、雌激素、鲑鱼降钙素等;(2)促进骨形成药物:甲状旁腺激素、他汀类药物、氟化物。骨形成促进剂特立帕肽,是目前美国食品药品管理局(FDA)批准的唯一甲状旁腺激素,在成骨和降低骨折风险方面疗效显著。他汀类药物对骨组织具有双向作用,既能促进骨形成,又能抑制骨吸收。(3)促进骨骼矿化类药物:包括钙剂、维生素D、锶盐等。
手术治疗
开放性手术:目前多用于伴有神经、脊髓受压及结构性失平衡的病例,但骨质疏松常易导致内固定失败。开放手术创伤大,患者多为老年人,术前需评估患者心肺功能及手术的耐受力,行骨密度检查评估患者骨质疏松严重程度,内固定植入时常需骨水泥强化。
微创手术:主要包括经皮椎体成形术(PVP)和经皮后凸成形术(PKP),已成为外科治疗OVCF金标准,具有以下明显优势:
*微创
*止痛效果好
*即可加固椎体,恢复椎体强度
*早期功能锻炼,恢复日常活动
*预防椎体进一步塌陷及后凸畸形
*改善患者的生存质量
*解决了老年人不能耐受大型手术、骨质疏松内固定不牢靠及多椎体骨折治疗困难的问题
后凸成形术是在经皮椎体成形术的基础上,先用特制的气囊将压缩椎体复位,然后在低压下注入骨水泥,相比PVP可以明显减少渗漏,具有增强稳定性、止疼、恢复身高的优点。

PKP手术示意图
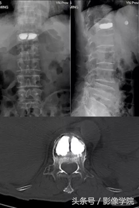
病例演示:老年女性患者,轻微外伤后出现胸背部疼痛不适

MRI提示胸12椎体新鲜骨质疏松性压缩骨折,诊断明确后局部麻醉下行经皮椎体后凸成形术(PKP)


术后即刻患者胸背部的疼痛明显缓解,床上可自由翻身,2小时后下地自由活动,疼痛明显减轻,术后3天患者即可出院。
来源丨谈骨论关 作者:丁金勇 刘杰
版权声明:本平台属公益学习平台,转载系出于传递更多学习信息之目的,且已标明作者和出处,如不希望被传播的老师可与我们联系删除。
你可能还想看:
13种神经系统典型影像征象解析
【图文详析】||支气管扩张的机制、影像特征和病因
千万别把它误诊为“强直”或“骨质增生”