大河报·豫视频记者 林辉 通讯员 穆倩倩
68岁的王峰国(化名)人生中有一半的时间都深受胸闷的折磨,只是年轻气盛之时并未放在心上,更没有规范治疗,直到3年前感冒后胸闷症状明显加重,不能走路,稍微走走就闷地不行,至当地医院检查诊断为“慢阻肺,肺大泡”。
从那时起,王峰国就与医院结下了“不解之缘”,平均每年都会住院3次以上,但是每次住院只能减轻咳嗽咳痰的症状,胸闷症状逐年加重,渐渐地连路都走不成了,上个厕所都气喘吁吁的,只能每天躺在床上靠吸氧维持生命。
看着父亲痛苦的样子,王峰国的儿子焦虑不已。父亲为这个大家庭操劳了一辈子,到老了该享清福了,身体却不行了。他拿着父亲的片子走遍当地各大医院,医生均告诉他,他父亲的肺气肿太严重了,右肺已经完全变成一个巨大的肺大泡,填满了整个右侧胸腔,导致右肺没有一点呼吸功能,而且他左肺肺气肿也不轻,所以才会闷成这样,想要治好,除非做肺移植。
王峰国一家吓坏了,肺移植谈何容易,家里经济根本负担不起,经多方打听得知河南省胸科医院呼吸病医院治疗这个病专业,抱着最后一丝希望,他们找到了呼吸与危重症医学科二病区主任乔亚红。

无法行动的王峰国由救护车送至河南省胸科医院,住院后,乔亚红对王峰国的胸部CT进行三维重建,发现王峰国右肺除了有一巨型大泡,右肺底还有一点点的肺不张,应该是正常的肺组织被巨大的大泡压缩所致,如果把大泡去掉,这些肺组织便可复张恢复呼吸的功能,能大大提高他的肺功能,闷气也有望改善。
但是王峰国喘得特别厉害,生命体征不稳定,血氧饱和度只有90%左右,进行外科手术风险很大。
根据王峰国的身体状况,乔亚红决定为他行内科胸腔镜下肺大泡减容术——这种手术不用切除肺组织,只是进行大泡萎陷,也不用切除支气管和血管,手术时间短,术后并发症少,非常适合他。

内科胸腔镜下肺大泡减容术首先要确定肺大泡是否是游离状态,这是最关键的一步,如果是游离的,就可以行内科胸腔镜下肺大泡减容术了。

△王峰国的肺大泡处于游离状态
3月26日,乔亚红及其团队为其手术。
乔亚红首先通过胸腔镜向肺大泡内注入医用生物胶,这一步非常考验医者技术——通常十几秒内生物胶就会凝固,乔亚红必须在这短暂的时间内快速准确地将生物胶均匀涂抹至肺大泡内表面,使肺大泡内形成广泛粘连,并揉搓成团。待生物胶凝固后观察肺叶是否漏气,术后2~3天复查胸部CT,观察肺部是否复张即可。

目标大泡很顺利地做完了,但是乔亚红发现患者的右肺巨型大泡下还隐藏着很多大泡,真的是“按下葫芦浮起瓢”。没办法,只能一个一个做,前前后后做了有6个大泡。
“鼓肺!”
一声令下,麻醉师开始右肺通气,右肺底不张的肺组织一点点张开了,慢慢填充了整个胸腔,手术室及整个呼吸团队都非常开心。

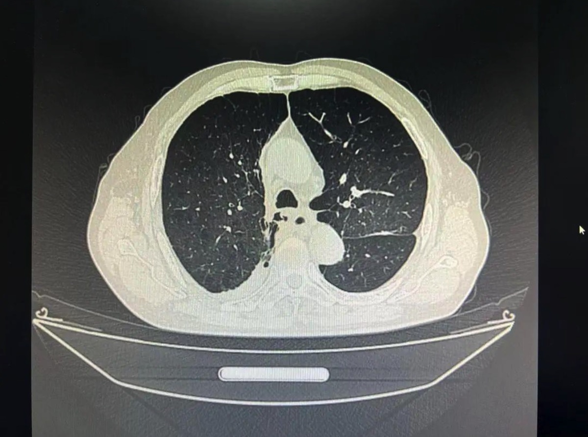
手术后的王峰国不闷气了,伴随多年的哮鸣音也消失了,术后复查胸部CT可见右肺复张,他自己也能下床走动,活动自如了,脸上露出了久违的笑容。

传统肺大泡治疗多为外科切除肺大泡所在肺叶、肺段,对于多发肺大泡,心肺功能差不能耐受全麻的患者,内科胸腔镜下肺大泡减容术就是更好的选择,除此之外,内科胸腔镜下肺大泡减容术手术时间短,可保留更多的肺组织,对血管损伤小,相较外科手术恢复更快,并发症少,生存质量更高。
此次内科胸腔镜下肺大泡减容术为河南省胸科医院开展的第一例,乔亚红以敏锐的观察和准确的判断为王峰国选择了最适合的治疗方法,在缺乏前人经验的基础上依靠纯熟的技术和深厚的经验完美完成手术,使患者重获新生。