肾、输尿管结石:大多数患者是因为突然间腰背部或者腹部疼痛就医时而被检查出来。
临床表现:腰腹部绞痛、血尿、恶心、呕吐、烦躁不安、腹胀等。急性肾绞痛常使患者疼痛难忍,有的病人肌注了杜冷丁也无效,本人认为分别肌注双氯灭痛、黄体 酮效果更佳。
一、常用的诊断方法:
(1)尿常规:尿液中红细胞、钙、草酸、尿酸排出量增加。
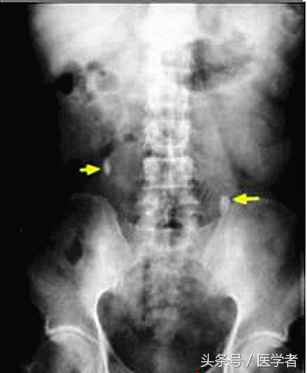
(2)尿路平片:即腹部平片,能发现90%以上的X线阳性结石。
(3)静脉尿路造影:可以评价肾结石所致的肾结构和功能的改变。
(4)逆行肾盂造影:主要是其他方法不能确定结石部位时采用。
(5)B超检查:可发现泌尿系平片不能显示的小结石和X线透光结石,其缺点是对输尿管的中下段结石显示不清。
诊断尿路结石首选的检查为腹部平片+静脉尿路造影。
二、治疗:目前常用的治疗方法大致有6种,包括:①药物治疗。②体外冲击波碎石。③经皮肾镜碎石取石。④输尿管镜取石术。⑤腹腔镜输尿管取石。⑥开放手术治疗。
(1)药物治疗:用于结石直径<0.6厘米、光滑、结石以下无尿路梗阻时。①中成药排石:金钱草颗粒、五淋化石丸、金甲排石胶囊等。②中药排石:以下提供两份处方仅供参考。处方1:海金砂 15 金钱草 30 穿破石 30 鸡内金 15 冬葵子 20 石苇 10 车前草 10 瞿麦 15 泽泻 10 牛七 10 穿山甲 10 处方2:乌药 15 茯苓 20 浮海石 20 鸡内金 15 木通 10 瞿麦 15 滑石 20 牛七 10 故纸 10 甘草 10 白芍 10 金沙牛 10 车前草 10 延胡索 10 金钱草 30
(2)体外冲击波碎石:是一种无痛、安全、有效的非侵入性治疗方法,适用于绝大多数肾、输尿管结石。①适应症:0.6厘米<结石直径<2.0厘米。②禁忌症:结石远端尿路梗阻、妊娠、出血性疾病、尚未控制的泌尿系感染、结石定位不清等,所以在适合碎石的情况下,如果合并有泌尿系感染,需要使用抗生素,待感染灶消除后方可碎石。③碎石效果:与结石部位、大小、性质是否嵌顿等因素有关,胱氨酸、草酸钙结石质硬,不易粉碎。
(3)结石直径>2.0厘米的均需要手术治疗,不做详细分析了。


注:抄袭者,必究!