
子宫腺肌病
子宫腺肌病(Adenomyosis)被称为“不死的癌症”,可导致严重出血、月经期间严重痛经和不孕,病情往往长达10余年,给女性健康及生活质量造成极大的威胁!

子宫腺肌症
临床上治疗手段较多,临床决策需结合患者的年龄、症状及生育要求进行个体化选择。

子宫腺肌病导致严重出血、月经期间严重痛经和不孕
保守治疗
子宫腺肌病的保守治疗手段主要为激素治疗:对于有明显痛经的患者可以用激素治疗,如左炔诺孕酮缓释的宫内节育器(商品名:曼月乐),芳香酶*制剂抑**和促性腺激素释放激素类似物(GnRH-a)等。曼月乐主要的不良反应有月经紊乱、盆腔感染、节育器脱落、子宫穿孔等。
用药原则:能局部用药(曼月乐)控制症状的,尽量不全身用药;能选择长效制剂(GnRH-a)的,尽可能不选择每天口服的方案;但如果局部长效方案行不通,那么口服药中就尽可能选择副反应最少的。

妇科手术治疗
妇科手术治疗可在开腹、腹腔镜下进行。根治手术即为子宫切除术,保守手术包括子宫腺肌病病灶(腺肌瘤)切除术。子宫切除术适用于患者无生育要求,且病变广泛,症状严重,保守治疗无效情况下。而且,为避免残留病灶以全子宫切除作为首选。

微创治疗
目前临床上常见的微创治疗方法有子宫动脉栓塞术(UAE)与海扶刀(HIFU)。适用于有生育要求或年轻的患者。因子子宫腺肌病往往病灶弥漫并且与子宫正常肌肉组织界限不清,因此选择何种治疗方式以减少出血、残留,并利于术后妊娠是一个富有挑战性的问题。
海扶刀
近年兴起的海扶刀(HIFU)是一种在超声引导下无创性局部热消融技术。新近文献报道证实其在子宫腺肌病治疗方面的安全性及疗效性,但仍需长期、大样本、前瞻性临床研究数据进一步验证。常见并发症主要为治疗下腹痛、皮肤烧伤、异常阴道流液、骶尾骨损伤、下肢放射痛等。

海扶刀适应证与禁忌证
HIFU主要限制在于对富血供肌瘤的疗效不佳、不良反应多,一次性消融体积有限,对于肌瘤位置要求高。
子宫动脉栓塞术
子宫动脉栓塞(UAE):一般以右侧股动脉或者左侧桡动脉(需Allen 试验阴性)作为穿刺点,将细小的导管分别送达两侧子宫动脉远端,经微导管注射非常微小的PVA颗粒或微球(300um)栓塞子宫腺肌症病灶,造成病变组织缺血坏死,进而异位子宫内膜坏死脱落,分泌前列腺素减少,缓解痛经,减少月经量,从而达到治疗目的。越来越多的文献数据支持UAE作为子宫切除术替代治疗方案。

子宫动脉栓塞示意图
UAE优点:对病灶的位置、范围无限制,局限弥漫型均适用。不开刀、创伤小、恢复快!最为主要的优点是能够保留子宫!

文献荟萃分析显示UAE术后长期、短期内对子宫腺肌病的相关临床症状缓解、子宫体积缩小均具有确切临床疗效,且具有较低的术后子宫切除率(1年内的子宫切除率为4%,1年后的子宫切除率为14.2%),而因栓塞后并发症需行子宫切除率<1%。

子宫腺肌病±子宫肌瘤的临床症状改善情况

术后不同时间段临床症状改善率对比

术后3-24个月的子宫体积改善情况
UAE术后反应
- 疼痛:为最常见的不良反应,几乎所有患者在治疗后会出现不同程度的下腹胀、坠痛,持续时间不等,短则2-3天,长则1-2周,一般给予有效镇痛处理后均可缓解。
- 发热:25%患者,尤其肌瘤较大的患者,栓塞后一周内可出现低热,体温在38°C左右。一般无需特殊处理,酌情预防抗感染处理,约持续1周后可自行消退。
- 下肢酸胀无力:60%患者栓塞后,感双下肢酸胀乏力,约持续3周左右后自然消失。
- 不规则阴道出血:少部分病人栓塞后可出现阴道少量不规则流血,同时还伴有内膜脱落,可能是栓塞后子宫血供不足以维持内膜生长有关。
- 提前绝经:出现的几率非常低,主要见于围绝经期女性患者(>45岁,绝经发生率为20%-40%),小于45岁患者绝经发生率为1-3%。

典型病例
中年女性,反复痛经、经期延长5年余。确诊为子宫腺肌症,经妇科保守治疗症状无改善,病情进行性加重。

术前MRI显示子宫明显增大

术前MRI显示子宫明显增大,病灶主要位于子宫后壁
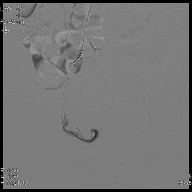
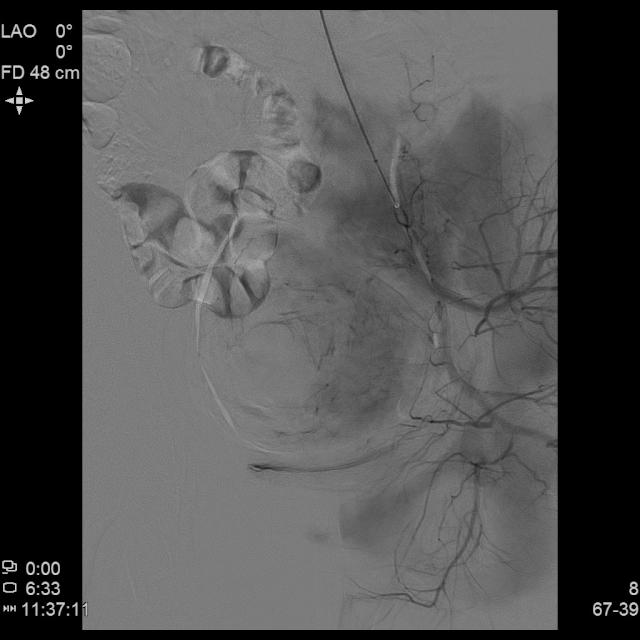
- 经桡动脉入路置入导管造影显示双侧子宫动脉明显增粗,染色丰富,子宫明显增大

- 进一步超选插管右侧子宫动脉造影确认位置

- 进一步超选插管左侧子宫动脉造影确认位置

- 术后桡动脉止血器压迫止血6~8小时,患者术后无需长时间卧床、下肢制动,舒适度大大提升,利于术后快速康复。

桡动脉压迫止血器
原装生活,做完整女人!

原装生活,做完整女人!